احتباس البول
احتباس البول : أو الأسر البولي هو عدم القدرة على إفراغ البول من المثانة، وهو في أحيان كثيرة من أعراض تضخم البروستات الحميد. إمّا حادّ ناجم عن مرض البروستاتا أو لحصاة كلوية أو حالبية أو إحليلية أو لاضطرابات عصبية كشلل النخاع الثنائي أو الرّباعي أو كعاقبة لجراحة أسفل البطن، يتطلّب علاجا عَرَضيا عاجلا بقثطار بولي. أو مزمن متدرّج، ينتج عن عدم القدرة على إفراغ المثانة بشكل كامل ويتفاقم حجم المتبقّي بعد كلّ تبوّل، ويتفاقم الاحتباس بصمت مؤدّيا إلى ارتفاع ضغط البول في حويضة الكلية ثمّ إلى قصور الكلية، ينحصر السّبب في ورم البروستاتا الحميد أو خبيث يعالج جذريا بإزالته ويعالج الانحسار عَرَضيا بالقسطار حين يكبر حجم المتبقّي (يراقب تزايد المتبقّي دوريا بمقياس خاصّ).[1]
| احتباس البول | |
|---|---|
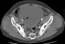
![]() أشعة مقطعية تظهر تضخم كبير في المثانة البولية بسبب احتباس البول. أشعة مقطعية تظهر تضخم كبير في المثانة البولية بسبب احتباس البول. | |
| معلومات عامة | |
| الاختصاص | طب الجهاز البولي |
| من أنواع | مرض بولي ، واضطرابات البول ، وعرض بولي |
| الإدارة | |
| أدوية | |
الأسباب
في المثانة البولية
- خلل التآزر في العضلة الناقصة المثانية
- المثانة العصبية (المرض المزيل للميالين، مرض باركنسون، متلازمة ذنب الفرس)
- مشكلة علاجية المنشأ، كندبة في عنق المثانة أثناء إزالة القسطرة البولية أو تنظير المثانة .
في البروستاتا
- ضخامة البروستاتا الحميدة
- الأورام الخبيثة في البروستاتا أو الحوض
- التهاب البروستاتا
الإحليل (في القضيب)
- صمام إحليلي خلقي
- الشبم (تضييق القلفة)
- الختان
- انسداد في الإحليل، و قد ينتج عن تضييق بسبب الأمراض المنقولة جنسياً أو ناتج عن إصابة، أو انتشار ورم خبيث، أو ترسب كريستالات النقرس الكاذبة
- الأمرض المنقولة جنسياً (السيلان يسبب ندبات عديدة في الإحليل فيصبح أشبه بالسبحة، أما الكلاميديا فتسبب ندبة واحدة)
أخرى
- متلازمة الحبل النطاقي
- أسباب نفسية (كمتلازمة المثانة الخجولة، الضغط العصبي و التبول الناتج عن الخوف) ففي الحالات الشديدة تؤدي إلى انحباس البول
- العقارات نفسانية التأثير خاصة المنبهة منها، كالأمفيتامين و الإكستاسي
- بعض الأدوية كمضادات الالتهاب اللا ستيرويدية ذات التأثير المضاد للكولين
- الحصوات و الأورام الثانوية
- المضادات المسكارينية كالأتروبين و السكوبولامين
الأعراض و العلامات
ضعف و تقطع في مرور البول، و إجهاد و شعور بعدم الإفراغ الكامل و تأخر مرور البول عند التبول، و قد يؤدي إلى سلس البول والبوال الليلي.
الاحتباس الحاد يؤدي إلى انقطاع البول تماماً، و هو حالة طارئة، تتمدد فيها المثانة و يزداد حجمها مسببة ألماً مستمراً أعلى العانة و قد تتمزق إذا لم يتم التدخل سريعاً، كما تتسبب زيادة الضغط في المثانة في منع البول من دخول الحالبين، و قد يحدث ارتجاع للبول من المثانة البولية إلى الحالبين ثم الكلى مسبباً موه الكلى، تقيح الكلى، فشل كلوي أو تعفن الدم؛ لذا ينبغي على المريض الذي يعاني من ألم في المثانة و احتباس البول التوجه سريعاً إلى قسم الطوارئ.[2]

التشخيص
تتبع انسياب البول[1] قد يظهر انسياب ضعيف أو متقطع (المعدل الطبيعي لانسياب البول 20-25 ملليلتر/ثانية على الأكثر)، و تظهر أشعة الموجات الصوتية انحباس كمية كبيرة من البول في المثانة بعد التبول (أكثر من 50 ملليلتر) الأمر الذي قد يسبب عدوى في الجهاز البولي، و قد تصل إلى 100 ملليلتر في الرجال أكثر من 60 عاماً بسبب ضعف انقباض العضلة الناقصة، و في الاحتباس المزمن تظهر الأشعة زيادة في سعة المثانة (السعة الطبيعية 400-600 ملليلتر).
قياس مستوى المستضد البروستاتي النوعي يساعد في تشخيص أو استبعاد سرطان البروستاتا، لكنه يزداد أيضاً في التهاب البروستاتا أو تضخمها الحميد، و تساعد عينة البروستاتا في التفرقة بينها.
كذلك ينبغي قياس مستوى الكرياتينين و اليوريا في استبعاد الضرر الحادث للكلى نتيجة لارتجاع البول، و عن طريق تنظير المثانة يتم تقييم مجرى البول.
و في حالات انحباس البول الناتج عن إصابة في الفقرات القطنية، يكون مصحوباً بألم و خدر في المنطقة السرجية و ضعف في العضلة العاصرة الشرجية و تغير في الأفعال المنعكسة الوترية العميقة، و يفيد التصوير بالرنين المغناطيسي في تشخيص متلازمة ذنب الفرس.
المضاعفات
العلاج
في حالات الانحباس الحاد يمكن اللجوء إلى القسطرة البولية أو الدعامة أو فغر المثانة أعلى العانة، أما في الحالات المزمنة كتضخم البروستاتا الحميد تستخدم بعض الأدوية أو يتم استئصال البروستاتا.
الأدوية
تامسولوسين الذي يسبب ارتخاء عضلات عنق المثانة فيناستيرايد أو دوتاستيرايد (5-alpha-reductase inhibitor) لتقليل تضخم البروستاتا، و هي فعالة في المراحل المبكرة فقط و لها أعراض جانبية بسيطة، و ترفع فرصة التبول الطبيعي بعد إزالة القسطرة.[4]
بعض الأدوية تقلل الرغبة الجنسية و تسبب دواراً و إجهاداً.
القسطرة البولية
يعالج الانحباس الحاد بقسطرة بولية، يمكن استخدام القسطرة المؤقتة[5] التي يتم تركيبها و إزالتها عدة مرات في اليوم، أو قسطرة فولي التي يتم تثبيتها في المثانة عن طريق بالون في نهايتها يتم نفخه.
الجراحة
حالات احتباس البول المزمن قد تحتاج التدخل الجراحي، كتضخم البروستاتا الحميد الذي يعالج باستئصالها عبر الإحليل[6]، و مضاعفاتها: عدوى في المثانة البولية، نزيف من البروستاتا، تكوين ندبة، عدم القدرة على التحكم في البول، و العنانة، و أغلب هذه المضاعفات قصيرة المدى، و يتماثل المريض للشفاء خلال 6-12 شهراً.[7]
وضعية الجلوس عند التبول
في تحليل تلوي عن تأثير وضعية الجلوس على الذكور الأصحاء و الذين يعانون من أعراض في الجهاز البولي، وجد أن كمية البول المتبقي في المثانة بعد التبول تقل، و معدل انسياب البول يزداد، و الوقت اللازم للتبول يقل كذلك عند استخدام المرضى لهذه الوضعية، أما لدى الأصحاء فلا يوجد تأثير.[8]
علم الأوبئة
احتباس البول حالة شائعة في الرجال كبار السن، و أكثر الأسباب شيوعاً تضخم البروستاتا الحميد، تبدأ الحالة حول سن ال50، و تظهر الأعراض بعد 10-15 عاماً، يحدث التضخم تدريجياً، يصاب 10% من الرجال في سن السبعين بتضخم البروستاتا، و 33% في العقد الثامن، و رغم أن التضخم نادراً ما يسبب انحباسا مفاجئا، إلا أنه يكون حاداً عند استخدام بعض الأدوية مثل: أدوية الضغط المرتفع، علاجات الباركنسون، مضادات الهستامين، و في حالات السكتة الدماغية و بعد التخدير النصفي أو تخدير العمود الفقري.
أما في الذكور متوسطي العمر فأكثر الأسباب شيوعاً هي عدوى البروستاتا (التهاب البروستاتا)، و هي مكتسبة أثناء الاتصال الجنسي و من أعراضها: ألم أسفل الظهر، إفرازات، ارتفاع بسيط في درجة الحرارة، عدم القدرة على التبول، و عدد مرضى التهاب التهاب البروستاتا غير معروف؛ لأن أغلبهم لا يلجأ للعلاج، و في الولايات المتحدة 1-3% من الذكور تحت سن ال40 يعانون من صعوبة في التبول بسبب التهاب البروستاتا الحاد، و كلاهما-التهاب البروستاتا و تضخمها- يصيبان الرجال على مستوى العالم من كافة الأعراق.[9]
و سرطانات الجهاز البولي، كسرطان المثانة و البروستاتا و الإحليل يمكن أن تسبب انسداداً في الجهاز البولي بشكل تدريجي مما يسبب احتباس البول مصحوباً بفقدان الوزن و بول دموي و ألم أسفل الظهر.
مراجع
- Urinary Retention | NIDDK نسخة محفوظة 04 يناير 2017 على موقع واي باك مشين.
- Urinary Retention - Urinary Retention Causes and Symptoms نسخة محفوظة 01 مارس 2016 على موقع واي باك مشين.
- General information on urinary retention 2010-02-10
- Zeif HJ, Subramonian K (2009). "Alpha blockers prior to removal of a catheter for acute urinary retention in adult men". Cochrane Database Syst Rev (4): CD006744. doi:10.1002/14651858.CD006744.pub2. ببمد 19821385.
- "Clean Intermittent Self-Catheterization"
- eMedicine Health. "Inability to urinate" 2010-02-10.
- National kidney and urologic diseases information clearinghouse. "Urinary retention overview" 2010-02-10.
- Phillips, Robert S.; de Jong, Ype; Pinckaers, Johannes Henricus Francisca Maria; ten Brinck, Robin Marco; Lycklama à Nijeholt, Augustinus Aizo Beent; Dekkers, Olaf Matthijs (2014). "Urinating Standing versus Sitting: Position Is of Influence in Men with Prostate Enlargement. A Systematic Review and Meta-Analysis". PLoS ONE 9 (7): e101320. doi:10.1371/journal.pone.0101320. PMC 4106761. ببمد 25051345.
- Urologic Emergencies Urology Channel portal. 2010-02-10
- بوابة طب
