اضطراب الشخصية الحدي
اضطراب الشخصيّة الحدّي [2][3] (ملاحظة 1) هو نوع من أنواع اضطراب الشخصيّة من المجموعة B، والذي من أبرز أعراضه وملامحه وجود اندفاعية مميّزة وعدم اتّزان في التعبير عن المشاعر وفي العلاقات مع الأشخاص وفي صورة الذات. إنّ هذا المرض مصنّف ضمن الدليل التشخيصي والإحصائي للاضطرابات النفسية.
| اضطراب الشخصيّة الحدّي | |
|---|---|
| معلومات عامة | |
| الاختصاص | الطب النفسي |
| من أنواع | اضطراب الشخصية |
| المظهر السريري | |
| الأعراض | الاضطراب العاطفي ، وإيذاء النفس ، واندفاعية ، وانزعاج ، وغضب |
| الإدارة | |
| أدوية | |
| حالات مشابهة | اضطراب الشخصية الاعتمادي ، واضطراب الكرب التالي للصدمة المعقد ، واضطراب الهوية التفارقي ، واضطراب ثنائي القطب ، واضطراب الشخصية التمثيلي [1] |
| اضطراب الشخصية |
|---|
![]() |
| الفئة أ (الغريبة) |
| الفئة ب (الدرامية) |
| الفئة ج (الخائفة) |
| غير محدد |
يكون هذا الاضطراب موجوداً في مراحل المراهقة، ويمكن أن يظهر عرضةً حسب الموقف.[4] من الأعراض الأخرى لهذا الاضطراب الخوف من الهجران والتهميش، وحدوث نوبات شديدة من الغضب والتهيّجيّة، الأمر الذي يكون من الصعب فهمه بالنسبة للآخرين.[4] غالباً ما يبدي الأشخاص المصابون باضطراب الشخصيّة الحدّي رأيهم في الأشخاص المحيطين بحالة إقصائية، إمّا بجعلهم مثاليّين أو أنهم غير متحلّين بالقيم، وذلك بشكل متفاوت بين التقدير العالي الإيجابي أو خيبة الأمل السلبية.[5] بالإضافة إلى ذلك، فإنّه من الممكن أن يصل الأمر إلى إيذاء النفس أو حتى الانتحار.[6]
بما أنّ هذا الاضطراب يتميّز بطول الأمد وبقابليته للانتشار وللتغلغل، فإنّه غالباً ما يوجد ممانعة من قبل المصابين بهذا الاضطراب لتشخيص النفسيّة، وخاصّة في المراحل الأولى من المراهقة أو البلوغ المبكر.[7] ومن الممكن أن تزداد أعراض هذا الاضطراب سوءاً في حال عدم حدوث علاج مبكّر لها.[8]
التاريخ

وُصفت معايشة أشخاص ذوي أنماط مزاج عنيفة ومتباينة منذ زمن الإغريق مروراً بالحضارات المختلفة، حتّى أتى الطبيب السويسري ثيوفيل بونيه Théophile Bonet سنة 1684 والذي أعاد استخدام كلمة ميلانخوليا، والذي هو التوصيف القديم للاكتئاب، وذلك بالمصطلح folie maniaco-mélancolique،[9] والذي وصف فيه ظاهرة المزاج غير المستقر، والذي ينحو منحىً غير قابل للتنبّؤ. ومع مرور الوقت، بدأ التمايز في توصيف الأمراض النفسيّة، فعلى سبيل المثال، في سنة 1884 استخدم الطبيب النفسي الأمريكي C. Hughes مصطلح الجنون الحدّي لتوصيف هذا الاضطراب.[10] في سنة 1921، حدّد إميل كريبيلن وجود شخصيّة قابلة للإثارة وهي مقاربة جداً لميّزات الشخصيّة التي تعاني من الاضطراب الحدّي.[11]
ورد أوّل استخدام واضح لمصطلح "الحدّي" في تقرير تحليل نفسي كتبه أدولف شتيرن Adolf Stern سنة 1938،[12] والذي وصف فيه مجموعة من المرضى يعانون ممّا ظنّ أنّه شكل خفيف من الفصام، وذلك على "الحد" بين العصاب والذهان.[13] شهدت ستينات وسبعينات القرن العشرين حدوث انزياح في التوجه في توصيف الحالة من كونها حالة فصام حدّي إلى كونها اضطراب حدّي في المزاج، وذلك على غرار الاضطراب ذو الاتجاهين ودَورَويّة المزاج والاكتئاب الجزئي، وقد بان هذا الأمر في الدليل التشخيصي والإحصائي للاضطرابات النفسيّة في نسخته الثانية سنة 1968، حيث جرى التأكيد على أهمية توصيف اضطرابات المزاج.
مع تطوّر كيفيّة وضع الشروط القياسيّة لتشخيص اضطراب الشخصيّة الحدّي،[14] وذلك من أجل تمييز هذا الاضطراب عن اضطرابات المزاج وعن اضطرابات المحور الأول الأخرى، أصبح تشخيص اضطراب الشخصيّة الحدّي يندرج تحت اضطراب الشخصيّة، وذلك في الإصدار الثالث من الدليل التشخيصي والإحصائي للاضطرابات النفسيّة DSM-III سنة 1980.[15] بذلك الأمر، جرى تمييز اضطراب الشخصيّة الحدّي عن اضطراب الشخصيّة الفصامي.[13] وفي الإصدار الرابع من الدليل التشخيصي والإحصائي للاضطرابات النفسية جرى تحديد الاسم باضطراب الشخصية الحدي،[11] على الرغم من مصطلح "الحدّي" وصفه البعض أنه غير مناسب لتوصيف الأعراض المميّزة لهذا الاضطراب.[16]
العلامات والأعراض
تتضمّن أعراض اضطراب الشخصيّة الحدّي:
- مشاعر خارجة عن السيطرة.
- علاقات غير متوازنة مع الأشخاص.
- قلق ينتاب الشخص بتخلّي الناس عنه وهجرانه.
- سلوك مؤذي للذات.
- اندفاعيّة.
- ويصاحب غالباً بالاكتئاب أو القلق أو الغضب.
ومن أكثر أعراض اضطراب الشخصيّة الحدّي تميّزاً هي الحساسيّة تجاه الرفض الاجتماعي، والأفكار والمخاوف أن يُلفظ ذاك الشخص من المجتمع.[17] ويمكن أن يتعدّى الأمر إلى حدوث اضطراب في مفهوم الهويّة والقيم الذاتيّة، بحيث يمكن أن ترد أفكار جنون الارتياب عندما يشعر بالتوتّر، بالإضافة إلى شعور بالتفارق.[17]
المشاعر
يشعر الأشخاص المصابون باضطراب الشخصية الحدّي بالمشاعر النفسيّة بشكل أسهل وأعمق ولمدة أطول من الآخرين.[18][19] يمكن للمشاعر أن تظهر على السطح بشكل متكرّر، وأن تستمرّ لفترة طويلة.[19] بالتالي، فإنّ المصابين بذلك الاضطراب يتطلّبون وقتاً أطول من الناس العاديّين كي يعودوا إلى حالة من التوازن العاطفي الطبيعي بعد خضوعهم لتجارب عاطفيّة شديدة التأثير.[20]
حسب الأخصائية في علم النفس مارشا لاينهان Marsha Linehan، فإنّ حساسية وشدّة ومدّة الإحساس بالمشاعر لدى الناس المصابين بالاضطراب يترك آثاراً إيجابيّة وسلبيّة في نفس الوقت،[20] فهم غالباً ما يكونون مثاليّين ومفعمين بالسعادة والحب في حالة المشاعر الإيجابيّة،[20] ولكنّهم بالمقابل يشعرون بطغيان المشاعر السلبيّة عند الأسى، فهم يشعرون بالفجع الشديد بدل الحزن، وبالخزي والإذلال بدل الحرج، وبالغضب بدل الانزعاج، وبالفزع بدل القلق.[20] غالباً ما يكون المصابون بهذا الاضطراب حساسين تجاه المشاعر المرافقة للرفض أو العزلة أو الفشل.[21] في حال عدم وجود بوادر للتأقلم، فإنّ محاولات هؤلاء الأشخاص للتحكّم أو الهرب من المشاعر السلبيّة قد تودي بهم في نهاية المطاف إلى إيذاء الذات أو الانتحار.[22] غالباً ما يكون الأشخاص المصابين باضطراب الشخصيّة الحدّي مدركين لشدة تأثير ردود أفعالهم على المشاعر السلبيّة، وبما أنهم لا يستطيعون التحكّم بها، فإنّهم يلجؤون إلى تعطيل تلك المشاعر بالكامل،[20] وهذا يمكن أن يكون مضرّاً بهؤلاء الأشخاص، حيث أنّ مهمّة المشاعر السلبيّة تنبيه البشر إلى وجود ظرف إشكالي، ويقودهم إلى مجابهته في الحالة الطبيعيّة.[20]
يكون الأشخاص المصابين باضطراب الشخصيّة الحدّي عُرضة بشكل خاص لحالة الانزعاج، أو للشعور بحالة من المعاناة الذهنيّة والعاطفيّة. قامت مجموعة بحث زاناريني Zanarini بتمييز أربعة أصناف من حالة الانزعاج، والتي تكون نمطيّة ومرافقة لمرضى اضطراب الشخصية الحدي؛ وهي: المشاعر الجامحة، التدمير أوالتدمير الذاتي، والشعور بالتجزئة أو بنقص الهوية، والشعور بالتضحية.[23] ضمن هذه التصنيفات، يترافق تشخيص الحالة بشكل كبير مع مزيج من ثلاث حالات محدّدة: وهي الشعور بالخيانة، والشعور بالأذى النفسي، والشعور بالوجود في حالة خارجة عن السيطرة.[23] بما أنّ هناك تنوّعاً كبيراً في أنماط حالات الانزعاج المصادفة لدى مرضى هذا الاضطراب، فإنّ مقدار المعاناة يعدّ مؤشّراً مهمّاً على وجود اضطراب الشخصيّة الحدّي.[23]
بالإضافة إلى المشاعر الجامحة، قد يعاني المصابون بهذا الاضطراب من التقلقل (أو عدم الثبات الانفعالي)، أو بتقلّب المشاعر؛ حيث أنّ مزاج الناس المصابين باضطراب الشخصيّة الحدّي يتأرجح في العادة بين الغضب والقلق، وأحياناً بين الاكتئاب والقلق.[24]
السلوك
يشيع السلوك الاندفاعي عند مرضى اضطراب الشخصيّة الحدّي، بما في ذلك تعاطي مواد الإدمان أو معاقرة الكحول أو اضطرابات الأكل أو التهوّر في القيادة أو تبذير النقود.[25] كما يمكن أن يصدر عن المصاب باضطراب الشخصيّة الحدّي سلوكاً اندفاعياً يتمثّل بهجر العمل أو العلاقات أو بالهرب.[26]
يتصرّف المصابون بهذا الاضطراب باندفاعيّة، لأنّها تمنحهم شعوراً بالارتياح الفوري من آلامهم الانفعاليّة،[26] وذلك دون التفكير بالعواقب على المدى الطويل، والتي ستزيد من معاناتهم بالشعور بالخزي والندم جرّاء تلك الأفعال.[26] يصبح الأمر في النهاية حلقة مفرغة تبدأ بشعور مرضى هذا الاضطراب بألم انفعالي، ينتج عنه سلوك اندفاعي للتخلّص من ذلك الألم، ثمّ الشعور بالندم على ذلك السلوك، ممّا ينجم عنه رغبة أقوى من ذي قبل بالتخلّص من ذلك الألم الانفعالي، وهكذا دواليك.[26] مع مرور الوقت، يصبح السلوك الاندفاعي ردّ فعل آلي تجاه الألم الانفعالي.[26]
إيذاء النفس والانتحار
يكون إيذاء النفس أو السلوك المؤدي للانتحار أحد شروط التشخيص الرئيسيّة لاضطراب الشخصيّة الحدّي في الدليل التشخيصي والإحصائي للاضطرابات النفسية DSM-IV-TR. يكون كل من إيذاء النفس والإقدام على الانتحار عبارة عن ردود أفعال للإحساس بمشاعر سلبيّة.[22] إنّ إدارة وعلاج هذا السلوك معقّد وليس بالأمر الهيّن.[27] تتراوح نسبة المخاطرة في الانتحار عند المصابين بهذا الاضطراب بين 3% إلى 10%،[17][28] وتشير دراسة إلى أنّ الانتحار تكون نسبته عند الرجال المصابين باضطراب الشخصيّة الحدّي حوالي الضعف مقارنةً مع النساء المصابات بذات الاضطراب.[29] وتشير دراسة أخرى إلى إمكانيّة وجود نسبة معتبرة من الرجال الذين أقدموا على الانتحار، ولديهم أعراض غير مشخّصة من اضطراب الشخصية الحدي.[30]
إنّ إيذاء النفس عند المصابين باضطراب الشخصيّة الحدّي أمر شائع، ويمكن أن يحدث مع أو بدون نيّة للانتحار،[31][32] حيث أنّ الأسباب المؤدية لإيذاء النفس تختلف عن الأسباب المؤدية لمحاولات الانتحار.[22] تتضمّن الأسباب المؤدية لإيذاء النفس دون الانتحار إظهار مشاعر الغضب، ومعاقبة النفس بالألم الجسدي لمحاولة حيودها عن الألم الانفعالي أو الظروف الصعبة.[22] بالمقابل، فإنّ محاولات الانتحار تعكس غالباً إيماناً بأنّ الآخرين سيكونون بحال أفضل بعد الانتحار.[22] وجدت دراسة أن الانتهاك الجنسي يمكن أن يكون عاملاً مؤثّراً ومؤدياً للانتحار عند المراهقين الذين لديهم ميل لاضطراب الشخصيّة الحدّي.[33]
العلاقات مع الأشخاص

يمكن للأشخاص المصابين باضطراب الشخصيّة الحدّي أن يكونوا حسّاسين جدّاً لكيفية تعامل الآخرين معهم، حيث يشعرون بفرحة غامرة وبامتنان عند فهم التعبيرات اللطيفة من الأشخاص المحيطين، في حين أنّهم يشعرون بحزن شديد أو بغضب عند فهم تعابير الانتقاد أو الإيذاء.[34] إنّ مشاعر المصابين بأعراض اضطراب الشخصيّة الحدّي تجاه الآخرين يمكن أن تنزاح من الإيجابيّة إلى السلبيّة بعد حدوث أمر ما مخيّب لأمل المريض، أو عند فهم قضيّة ما على أنّها تهديد بفقدان شخص ما، أو عند إحساسهم بأنّهم قد سقطوا من عين من يقدّرون. تتضمّن هذه الظاهرة، والتي تدعى أحياناً باسم الانفصام أو أسلوب التفكير أبيض-أسود،[35] حدوث انزياح في التوجّه من جعل الآخرين مثاليّين (مشاعر الإعجاب والود تجاههم) إلى جعلهم خالين من القيم (مشاعر الغضب أو الكره). بالتشارك مع معكّرات مزاج أخرى، يمكن لهذا التأرجح في المشاعر أن يحدث في علاقات المصابين بهذا الاضطراب مع ذويهم وعائلاتهم وأصدقائهم وزملائهم في العمل.[36][37]
على الرغم من الرغبة الداخليّة للمصابين بهذه الحالة في إنشاء علاقات حميمة، إلا أنّهم يخشون في المقابل من التعلّق بشخص في العلاقة معه، ويقومون بعلاقات عابرة مع الأشخاص،[38] وغالباً ما يظهرون العالم الخارجي على أنه مليء بالشرّ والحقد.[34] يرافق اضطراب الشخصيّة الحدّي وجود مستويات متزايدة من الكروب المزمنة والخلافات في العلاقات الرومانسيّة، كما يكون هناك عدم رضى من شريك تلك العلاقة.
إنّ وجود التلاعب للحصول على الرعاية من الآخرين هو خاصية مميّزة لاضطراب الشخصيّة الحدّي.[39][40] على الرغم من أنّ مفهوم التلاعب ينبغي أن لا يعطى أكبر من حجمه عند تشخيص المرض، لأنّ ذلك قد يودي إلى سوء فهم للحالة، خاصّة للمعالجين ضمن نظام الرعاية الصحيّة.[41]
الشعور بالذات
يعاني المصابون باضطراب الشخصيّة الحدّي من مشاكل في تكوين صورة واضحة عن شخصيتهم وهويّتهم، فهم يميلون على وجه الخصوص إلى مواجهة مشاكل مع أنفسهم لمعرفة ما الشيء الذي يقيّمونه أو الذي يؤمنون به أو يفضلونه أو يستمتعون به،[42] كما يكونون غير واثقين من أهدافهم بعيدة الأمد، وذلك فيما يتعلّق بالعلاقات والعمل. هذه الصعوبة التي تواجه هؤلاء المرضى بمعرفة ذواتهم وقيمتهم يمكن أن تسبب لهم شعوراً بالفراغ أو الضياع.[42]
المعارف
بسبب المشاعر الجامحة التي تنتاب مرضى اضطراب الشخصيّة الحدّي فإنّه يكون من الصعب عليهم أن يحافظوا على تركيز انتباههم.[42] بالإضافة إلى ذلك، فإنّ المصابين بهذا الاضطراب يميلون إلى التفارق، والذي يمكن أن يفهم بكونه حالة متطرّفة للخروج من الصورة الضيّقة إلى الصورة الشاملة.[42] يمكن للتفارق أيضاً أن يحدث كردّ فعل على تجربة حدث مؤلم (أو المرور بتجربة أمر ما يمكن أن يولّد ذكرى حدث مؤلم)، بحيث أنّ الذهن يصرف انتباهه تلقائياً عن ذلك الحدث، كوسيلة دفاع من أجل تجنّب الوقوع في الإحساس بمشاعر جامحة، وبالتالي من الاندفاعات السلوكيّة التي تولّدها مثل تلك المشاعر.[42] على الرغم من أنّ عادة الذهن القيام بحجب المشاعر شديدة الألم يمكن له أن يزوّد بشعور مؤقّت بالراحة، إلاّ أنّه في الوقت نفسه يمكن أن يكون لذلك أثر جانبي بحجب أو كسر حد تجارب المشاعر العاديّة، ممّا يقلّل من إمكانيّة وصول مرضى تلك الحالة إلى المعلومات المحتواة في هذه المشاعر، والتي تفيد في توجيه صناعة القرار في الحياة اليوميّة.[42] في بعض الأحيان يكون من الممكن لشخص آخر أن يستنبط متى يكون الأشخاص المصابون باضطراب الشخصيّة الحدّي في حالة تفارق، وذلك لأن تعابير وجوههم وأصواتهم يمكن لها أن تصبح حينها بدون حيويّة أو خالية من التعبير؛ لكن في حالات أخرى، يكون من الصعب التعرّف على دخولهم حالة التفارق تلك.[42]
الأسباب

كما هو الحال في العديد من الاضطرابات النفسيّة فإنّ أسباب اضطراب الشخصيّة الحدي معقّدة، ولا يوجد اتّفاق كلّي عليها.[43] تشير الدلائل إلى وجود اشتراك بين اضطراب الشخصيّة الحدّي (BPD) واضطراب الكرب التالي للصدمة (PTSD) إلى حدّ ما.[44] يجمع معظم الباحثين على أنّ وجود صدمة نفسية في تاريخ طفولة المصاب يمكن أن يكون عاملاً مساهماً في ذلك،[45] وذلك دون إغفال التحقيق في الأسباب الأخرى مثل وجود حالات تشوّه في وظائف الدماغ المعرفيّة وانتقال الاضطراب وراثيّاً في الجينات، ومن تأثير عوامل عصبيّة حيويّة، ومن تأثيرات البيئة المحيطة.[43][46] تتضمّن العوامل الاجتماعيّة كيفيّة تصرّف الشخص في مراحل نموّه الأولى مع عائلته وأصدقائه ومع الأطفال الآخرين.[47] أمّا العوامل النفسيّة فتشمل الشخصيّة الفرديّة والمزاج وتأثير البيئة المحيطة في ذلك، بالإضافة إلى كيفيّة تعلّم مهارات التأقلم مع الكروب.[47] بالتالي فإنّ هناك عوامل متعدّدة تؤدّي إلى حدوث اضطراب الشخصيّة الحديّ، يمكن أن تأتي مجتمعة أو منفردة.
أسباب وراثيّة
إن وروثية اضطراب الشخصيّة الحدّي تقدّر بحوالي 65%.[48] هذا يعني، أنّ 65 بالمئة من التغيّر الإحصائي في المسؤولية، المتضمّنة حدوث اضطراب الشخصيّة الحدّي في العيّنة الإحصائيّة، يمكن أن تفسّر نتيجة اختلافات وراثيّة. يمكن للدراسات التوأميّة أن تفرط في تقدير أثر المورّثات على التنوّع والاختلاف في اضطرابات الشخصيّة، وذلك إلى العوامل المعقّدة نتيجة وجود بيئة عائلية مشتركة.[49] على الرغم من ذلك، فإنّ الدراسات العائليّة على التوائم والأخوة تشير إلى حدوث وروثية جزئيّة بشأن العدوان الاندفاعي، ولكنّ دراسات أخرى على المورّثات المتعلقّة بالناقل العصبي سيروتونين تشير إلى وجود تأثيرات طفيفة على السلوك.[50] خلصت دراسة أجريت على مجموعة من التوائم في هولندا وعلى والديهم إلى وجود صلة ما بين المادة الوراثيّة على الصبغي رقم 9 وملامح اضطراب الشخصيّة الحدّي،[51] وأن 42% من التغيرات في ملامح هذا الاضطراب يمكن عزوها إلى تأثيرات وراثيّة، و58% يمكن عزوها إلى تأثيرات بيئيّة.[51]
تشوّهات دماغيّة
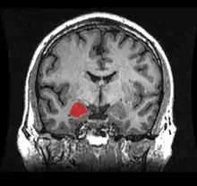
أظهرت دراسات التصوير العصبي لمرضى اضطراب الشخصيّة الحدّي وجود انحسارات في مناطق في الدماغ المسؤولة عن الضبط والتحكم بردود الأفعال تجاه الكرب والعواطف، والتي تكون في منطقة الحصين والقشرة الجبهيّة الحجاجيّة واللوزة الدماغيّة بالإضافة إلى مناطق أخرى.[52] في عدد محدود من الدراسات جرى استخدام تقنيّة مطيافيّة الرنين المغناطيسي النووي من أجل دراسة التغيّرات في تراكيز المستقلبات العصبيّة في مناطق محدّدة في الدماغ لدى المصابين باضطراب الشخصيّة الحدّي، وخاصّة مركّبات مثل ن-أسيتيل الأسباراتات، والكرياتين، والمركّبات المتعلّقة بالغلوتامات والمركّبات الحاوية على الكولين.[52]
- الحصين
يكون الحصين ذو حجم أصغر عند الناس المصابين باضطراب الشخصيّة الحدّي مقارنة مع الأشخاص الذين لديهم اضطراب الكرب التالي للصدمة؛ ولكن بالمقابل، فإنّ مرضى BPD على العكس من PTSD تكون لديهم اللوزة الدماغية لديهم أيضاً ذات حجم أصغر.[53]
- اللوزة الدماغية

تكون اللوزة الدماغيّة عند المصابين باضطراب الشخصيّة الحدّي صغيرة وذات فعاليّة أكبر.[53] كما وجدت ظاهرة صغر حجم اللوزة الدماغية عند الأشخاص الذين لديهم اضطراب وسواسي قهري.[54] في دراسة أخرى، أظهرت الأبحاث وجود نشاط قوي غير طبيعي في اللوزة اليسرى عند المصابين باضطراب الشخصيّة الحدّي عندما يمرّون بتجربة تؤدي إلى إظهار مشاعر سلبيّة.[55] بما أنّ للوزات الدماغيّة دوراً في العديد من المشاعر (من ضمنها السلبيّة)، فإنّ النشاط غير الطبيعي يمكن أن يفسّر مدى قوة واستمرارية الشعور بالخوف والغضب والخزي عند المصابين باضطراب الشخصيّة الحدّي، بالإضافة إلى حساسيّتهم العالية لإظهار تلك المشاعر عند آخرين.[53]
- القشرة أمام الجبهية
إنّ القشرة أمام الجبهيّة تميل لأن تكون أقلّ فاعليّة عند المصابين باضطراب الشخصيّة الحدّي، خاصّة عند استرجاع ذكريات الهجران.[56] تحدث ظاهرة عدم الفعاليّة النسبيّة هذه في القشرة الحزاميّة الأماميّة اليمينيّة (في باحات برودمان 24 و 32).[56] بما أن للقشرة أمام الجبهيّة دوراً في ضبط الهيجان العاطفي، فإنّ عدم فعاليّتها النسبيّة يمكن أن يشرح الصعوبات التي يعانيها المصابون باضطراب الشخصيّة الحدّي في ضبط مشاعرهم وردود أفعالهم تجاه الكروب.[57]
- المحور الوطائي-النخامي-الكظري
يقوم المحور الوطائي-النخامي-الكظري (HPA axis) بتنظيم الكورتيزول، والذي ينتج كردّ فعل لوجود الكرب. لوحظ ارتفاع إنتاج الكورتيزول عند المصابين باضطراب الشخصيّة الحدّي، ممّا يعني نشاطاً في محور HPA عند هؤلاء الأفراد.[58] هذا الأمر يسبّب لهم معايشة رد فعل حيوي أكبر، بالتالي يفسّر تعرّضهم بشكل أكبر إلى التهيّجيّة.[59] إنّ زيادة نسبة الكورتيزول مرتبط أيضاً بارتفاع نسبة خطورة حدوث سلوك انتحاري.[60]
عوامل حيويّة عصبيّة
- الإستروجين
وجد أن اختلافات فردية في دورات الإستروجين يمكن أن ترتبط بإظهار أعراض اضطراب الشخصيّة الحدّي عند النسوة المصابات في هذا المرض.[61] أظهرت دراسة سنة 2003 أنّ أعراض اضطراب الشخصيّة الحدّي عند النساء يمكن لها أن ترتبط بتغيّرات في مستويات الإستروجين في الدورة الشهرية، وهو أثر بقي مهمّاً عند التحقّق من النتائج عند وجود زيادة في الوجدان السلبي.[62]
تجارب سيّئة في مرحلة الطفولة

هناك ارتباط وثيق بين حدوث تجارب سيّئة في مرحلة الطفولة، وخاصّة إن كان هناك تحرّش جنسي، مع تطوّر أعراض اضطراب الشخصيّة الحدّي.[45][63][64][65][66] صرّح العديد من الأفراد المصابين باضطراب الشخصيّة الحدّي بأنّهم كان لديهم تاريخ سيّء أثناء طفولتهم من حيث الانتهاك والإهمال،[67] كما بيّن بعضهم أنّهم تعرّضوا لسفاح القربى وفقدان للرعاية أثناء مرحلة الطفولة المبكّرة.[68] كما أظهرت دراسات على المصابين باضطراب الشخصيّة الحدّي أنّ والديهم، من كلا الجنسين، كانا قد انسحبا عاطفياً من حياة الطفل، وأنّه قد تمّ معاملتهم بشكل متفاوت ومتضارب.[68] على العموم، فإنّه على الأغلب أنّ الأطفال الذين يعانون من معاملة سيّئة في مرحلة مبكّرة من الطفولة، وكانت لديهم صعوبة في التعلّق، فإنّهم على الأغلب ستتطوّر لديهم أعراض اضطراب الشخصيّة الحدّي.[69]
عوامل أخرى مساعدة
إنّ شدّة وتفاعل العواطف والمشاعر السلبيّة عند الأشخاص وميلهم للشعور بالمشاعر السلبيّة يمكن أن يؤدي مستقبلاً إلى ظهور أعراض اضطراب الشخصيّة الحدّي بشكل أكبر من تأثير الانتهاك الجنسي عند الأطفال.[70] إنّ العوامل المذكورة من التشوّهات الدماغيّة أعلاه، وحقيقة أنّ بعض المصابين باضطراب الشخصيّة الحدّي لم تكن لديهم تجارب سيّئة أثناء الطفولة، تشير إلى أنّ اضطراب الشخصيّة الحدّي مختلف تماماً عن اضطراب الكرب التالي للصدمة، والذي غالباً ما يكون مرافقاً له.[71]
- الوظائف التنفيذيّة
في حين أن حساسية الرفض الاجتماعي تكون مترافقة مع أعراض أقوى من اضطراب الشخصيّة الحدّي، فإن الوظائف التنفيذيّة يبدو أنها تقوم بدور وسيط في العلاقة بين حساسيّة الرفض الاجتماعي وأعراض اضطراب الشخصيّة الحدّي.[72] أي أنّ زمرة من العمليات المعرفيّة، والتي تتضمّن التخطيط وذاكرة العمل والانتباه وحلّ المشاكل، يمكن أن تكون الآلية التي من خلالها أن يؤثّر الرفض الاجنماعي على أعراض اضطراب الشخصيّة الحدّي. أظهرت دراسة أجريت سنة 2008 أنّ العلاقة بين حساسيّة الرفض الاجتماعي لشخص وأعراض هذا الاضطراب تكون أقوى عندما تكون الوظائف التنفيذيّة أكثر انخفاضاً، بالمقابل تكون تلك العلاقة أضعف عندما تكون الوظائف التنفيذية أكثر ارتفاعاً.[72] ممّا يدلّ على أنّ الوظائف التنفيذيّة المرتفعة يمكن أن تساعد في حماية الأشخاص الذين لديهم حساسيّة رفض عالية من أعراض اضطراب الشخصيّة الحدّي.[72] كما وجدت دراسة أخرى أنّ المشاكل في الذاكرة العمليّة يمكن أن تساهم في حدوث اندفاعيّة أكبر عند الأشخاص المصابين باضطراب الشخصيّة الحدّي.[73]
- البيئة العائليّة
إن البيئة العائليّة تقوم بدور وساطة في مدى تأثير الانتهاك الجنسي للأطفال على تطور أعراض اضطراب الشخصيّة الحدّي. إنّ البيئة العائليّة غير المستقرّة تهيّئ لتطوّر هذا الاضطراب، في حين أنّ البيئة العائليّة المستقرّة تكون فيها مخاطر حدوث ذلك الأمر أقلّ، لأنّ البيئة المستقرّة تحجب تطوّر أعراض الاضطراب.[74]
- التعقيد الذاتي
إنّ أثر دور التعقيد الذاتي من حيث صورة الذات المهتزّة وغير المستقرّة يعتمد عند المصابين باضطراب الشخصيّة الحدّي على السؤال فيما إن كان الأفراد ينظرون إلى أنفسهم على ضوء الميّزات أو الخصائص التي يتمنّون أن تكون لديهم، أو على ضوء الميّزات أو الخصائص التي ينبغي أن تكون لديهم.[75]
- قمع التفكير
أظهرت دراسة أجريت سنة 2005 أنّ قمع التفكير يقوم بدور وسيط في العلاقة بين المشاعر السيّئة وبين أعراض اضطراب الشخصيّة الحدّي،[70] وبشكل خاص العلاقة بين البيئة غير المساعدة على التفكير وأعراض اضطراب الشخصيّة الحدّي.[76]
التشخيص

يجب أن يعتمد تشخيص اضطراب الشخصيّة الحدّي على فحص نفسي من قبل أخصائي مؤهّل. من أحسن الطرق التي يعتمدها الأخصائي في التشخيص هي بتقديم شروط حدوث الاضطراب للمرضى وسؤالهم إن كانوا يشعرون أن تلك الخصائص تصف حالتهم بدقة.[17] إنّ عملية تضمين المصابين باضطراب الشخصيّة الحدّي بشكل فعّال في تحديد تشخيص حالتهم يمكن أن يساعدهم في أن يكونوا أكثر رغبة في تقبل ذلك الأمر.[17] على الرغم من أن بعض الأخصائيّين يفضّلون أن لا يخبروا مرضاهم المصابين بذلك الاضطراب بنتيجة التشخيص، وذلك من باب الحرص والقلق من قضية الوصمة المتعلّقة بهذه الحالة، أو لأن اضطراب الشخصيّة الحدّي كان يعتبر غير قابل للشفاء. في النهاية فإنّه عادةً ما يكون أمراً مساعداً للمصابين بهذا الاضطراب أن يعرفوا تشخيص حالتهم، حيث أنّ ذلك يساعدهم في معرفة أنّ آخرين قد عانوا مشاكل مشابهة وأنّهم قد شفوا من ذلك، ممّا يساعد على حدوث جلسات معالجة فعّآلة.[17]
على العموم، فإنّ التقييم النفسي يتضمّن سؤال المريض عن مدى وشدّة الأعراض، بالإضافة إلى أسئلة أخرى عن مدى تأثير الأعراض على نوعيّة حياة المريض. من الأمور التي ينبغي الانتباه لها بشكل خاص هي الحالات التي يرد فيها ذكر تبنّي أفكار انتحارية، أو الإشارة إلى تجارب في إيذاء النفس، أو التفكير في إيذاء الآخرين.[77] يكون التشخيص معتمداً على تقرير المريض عن حالته النفسيّة وعن الأعراض المصاحبة، وعلى ملاحظات المعالج النفسي الخاصة.[77] يمكن أن تجرى فحوص إضافيّة تتضمّن فحوصات جسمانية ومخبريّة، من أجل معرفة مسبّبات إضافيّة ممكنة للأعراض، وذلك بفحص الغدة الدرقيّة، أو معرفة إن كان المريض من المدمنين.[77]
الدليل التشخيصي والإحصائي للاضطرابات النفسيّة
إن الدليل التشخيصي والإحصائي للاضطرابات النفسيّة في طبعته الخامسة (DSM-5) كان قد أزال النظام متعدّد المحاور، ممّا يعني، أنّ كل الاضطرابات، بما فيها اضطرابات الشخصيّة، هي موجودة في القسم الثاني (Section II) من الدليل.
وفق الدليل، فإنّه على شخص ما أن يحقّق 5 من 9 شروط كي يشخّص باضطراب الشخصيّة الحدّي،[78] وهي: -(1) علاقات شخصية متقلّبة وانفعالية -(2) الاندفاع والتهوّر في السلوك -(3) عدم الاستقرار الوجداني -(4) الغضب -(5) سلوك انتحاري أو تشويه بالذات -(6) اضطراب الهويّة -(7) الشعور بالفراغ -(8) الخوف من تخلّي أو هجرة الآخرين -(9) هفوات في تفحّص الحقيقة.[79]
يعرّف الدليل التشخيصي والإحصائي للاضطرابات النفسيّة في طبعته الخامسة (DSM-5) الميّزات الرئيسية لاضطراب الشخصيّة الحدّي على أنّها نموذج متخلّل ومنتشر من عدم الاستقرار في العلاقات مع الأشخاص وفي صورة الذات وفي الوجدان، بالإضافة إلى وجود سلوك اندفاعي مميّز.[78] بالإضافة إلى ذلك، فإنّ DSM-5 يقدّم طرحاً بديلاً للشروط التشخيصيّة لاضطراب الشخصيّة الحدّي في القسم الثالث (section III)، والتي تعتمد على الأبحاث في السمات المرضيّة، والتي تتضمّن تحديد أربع سمات لا تكيّفيّة على الأقل من أصل سبعة.[80]
التصنيف الدولي للأمراض
عرّفت المراجعة العاشرة للتصنيف الدولي للأمراض (ICD-10) الصادر عن منظّمة الصحّة العالميّة اضطراباً، والذي هو من حيث المبدأ مشابه لاضطراب الشخصيّة الحدّي، وأعطته الرمز F60.3 وأسمته اضطراب الشخصيّة غير المستقرّة عاطفياً.[81] يوجد نمطين فرعيّين من ذلك الاضطراب وهما:
- النمط الاندفاعي F60.30
كي يشخّص أحدٌ ما أنّه من النمط الاندفاعي، عليه أن يحقّق ثلاثة شروط على الأقل، واحد منها يجب أن يكون الشرط 2، وهي كما يلي:
- ميل واضح لأن يتصرّف بشكل غير متوقّع وبدون تفكير متعقّل بالنتائج.
- ميل واضح لأن يقوم بسلوك مشاكس، وأن تكون لديه نزاعات مع الآخرين، خاصّة عندما تُعارض أو تُنتقد الأفعال الاندفاعية.
- وجود حالة من التقلقل وعدم الحصانة من حدوث نوبات من الغضب أو العنف، مع عدم المقدرة على التحكّم في الانفجارات السلوكيّة الناتجة.
- صعوبة في المداومة على أداء أيّ فعل لا يحصل في نهايته على نتيجة فوريّة.
- مزاج غير مستقر ومتقلّب (اندفاعي ومتلوّن).
- النمط الحدّي F60.31
كي يشخّص أحدٌ ما أنّه من النمط الحدّي، عليه أن تتوافر فيه ثلاثة أعراض على الأقل من المذكورة في النمط الاندفاعي F60.30، بالإضافة إلى تحقيق اثنين على الأقل من الشروط التالية:
- وجود شك واضطرابات في صورة الذات، وفي الأهداف وفي الرغبات الداخليّة.
- حالة من التقلقل وعدم الحصانة من الانخراط في علاقات شديدة وغير مستقرّة، والتي تؤدّي غالباً إلى أزمة عاطفيّة.
- محاولات حثيثة من أجل تجنّب الهجران.
- تهديدات أو أفعال متكرّرة بإيذاء النفس.
- أحاسيس مزمنة بالفراغ الذاتي.
- إظهار سلوك اندفاعي مثل التهوّر في القيادة أو الإدمان.[82]
كما تصف المراجعة العاشرة للتصنيف الدولي للأمراض (ICD-10) بعض الشروط العامة التي تعرّف وجود اضطراب في الشخصيّة.
أنماط فرعية حسب تصنيف ميلون
قام عالم النفس ثيودور ميلون Theodore Millon باقتراح أربعة أنماط من اضطراب الشخصيّة الحدّي، بحيث أنّه عند تشخيص أحد ما أنّ لديه اضطراب الشخصيّة الحدّي فمن الممكن أن يكون لديه واحدة أو أكثر، أو قد لا يكون لديه صفات من الأمور التالية:[83]
| نمط فرعي | الصفات |
|---|---|
| القانط (بما في ذلك صفات الاجتنابي) | مطواع، خاضع، وفي، متواضع؛ سريع التأثر مع شعور دائم بالخطر؛ يائس، محبط، عاجز. |
| النزق (بما في ذلك صفات السلبي العدواني) | سلبي عدواني، عجول، ضَجِر، عنيد، متحدّي، متجهّم، متشائم، ممتعض؛ سهل الاستخفاف والخذلان به. |
| الاندفاعي (بما في ذلك صفات التمثيلي أو المعادي للمجتمع ) | متلوّن، سطحي، طائش، قابل للتشتت، محموم، إغوائي؛ يخشى الخسارة، سهل الإثارة والاكتئاب والتهيّج، يمكن أن تكون لديه قابلية الانتحار. |
| المدمّر لذاته (بما في ذلك صفات الاكتئابي) | منطوٍ داخلياً، غاضب بشكل لائم للذات؛ ملتزم، مزاجي |
أفراد العائلة
يكون الناس المصابون باضطراب الشخصيّة الحدّي عرضةً للشعور بالغضب تجاه أفراد عائلتهم والانسلاخ منهم؛ بالمقابل ومن جهتهم، فإنّ أفراد العائلة يشعرون بالغضب والعجز حيال تصرفات أقاربهم المصابين باضطراب الشخصيّة الحدّي.[17]
أظهرت دراسة سنة 2003 أن تجارب أفراد العائلة من تحمّل العبء والشعور بالضائقة الانفعاليّة والعداء تجاه الأشخاص المصابين باضطراب الشخصيّة الحدّي كانت بالفعل أسوأ بعد معرفتهم لمعلومات أكثر عن هذا الاضطراب.[84] هذه الكشوفات يمكن أن تشير إلى ضرورة التحقّق من نوعيّة ودقّة المعلومات التي يستحصل عليها من أفراد العائلة.[84] عادةً ما يكون الآباء والأمّهات الذين لهم مرضى بالغين مصابين باضطراب الشخصيّة الحدّي إما مشتركين بحدّ زائد عن حدّه أو دون الحدّ من حيث العلاقات والتفاعلات الأسريّة المتبادلة مع أبنائهم.[85]
المراهقة
تظهر علائم وأعراض اضطراب الشخصيّة الحدّي نمطياً خلال مرحلة المراهقة والبلوغ المبكّر، على الرغم من أن بعض الأعراض الموحية بهذا الاضطراب يمكن أن تلاحظ عند الأطفال.[86] إنّ الأعراض عند المراهقين التي يمكن أن تشير إلى احتماليّة تطوّر اضطراب الشخصيّة الحدّي عند البلوغ تتضمّن المشاكل فيما يخص الصورة الجسمانية، والحساسية المفرطة للرفض، والمشاكل السلوكيّة، وإيذاء النفس غير الانتحاري، ومحاولات إيجاد علاقات حصريّة، بالإضافة إلى الخجل الشديد.[17] هذه الأعراض عند المراهقين تعطي مؤشّرات مرتفعة لإمكانيّة تطوّر اضطراب الشخصيّة الحدّي في المستقبل،[87] كما أنّه يمكن غالباً أن تتطوّر أشكال أخرى من الإعاقات الاجتماعيّة طويلة الأمد.[17]
لا ينصح للأخصائيّين النفسيّين أن يشخّصوا أعراض اضطراب الشخصيّة الحدّي لأحدٍ ما قبل سن الثامنة عشر، وذلك بسبب الاختلاجات العاطفيّة التي تصيب المراهقين، ولكنّ مراقبة الحالة مهم، وذلك من أجل وضع خطة علاج فعّآلة.[87] على العموم، وجدت دراسة أنّ المراهقين الذين تظهر لديهم علائم اضطراب الشخصيّة الحدّي ينقسمون إلى مجموعتين، الأولى ممن يبقى لديهم الاضطراب ثابتاً ولا يتغيّر مع مرور الوقت، والمجموعة الثانية ممّن يمرّون به ثم يتخلّصون منه.[88]
التشخيص التفريقي والمراضة المشتركة
إنّ حالات المراضة المشتركة (الاشتراك في الحالة المرضية) الدائمة أمر شائع في اضطراب الشخصيّة الحدّي. مقارنةً مع الأفراد الآخرين المشخّصين باضطرابات شخصيّة أخرى غير هذا الاضطراب، فإنّ الناس المصابين باضطراب الشخصيّة الحدّي يظهرون معدّلاً مرتفعاً من التشارك في شروط تلك الاضطرابات الأخرى.[89] مثل:
- اضطرابات المزاج بما في ذلك الاضطراب الاكتئابي الرئيسي والاضطراب ذو الاتجاهين.
- اضطرابات القلق بما فيها اضطراب الهلع واضطراب القلق الاجتماعي واضطراب الكرب التالي للصدمة.
- اضطرابات الشخصية الأخرى.
- معاقرة المواد.
- اضطرابات الأكل، بما فيها القهم العصبي والنهام العصبي.
- اضطراب نقص الانتباه مع فرط النشاط.
- اضطرابات جسديّة الشكل.
- اضطرابات تفارقيّة.
إدارة العلاج
إنّ العلاج النفسي هو العلاج الرئيسي لاضطراب الشخصيّة الحدّي.[90] ينبغي للعلاج أن ينبني على الحاجات الفرديّة للأشخاص، أكثر من مجرد التشخيص العام للاضطراب. إنّ الأدوية مفيدة لعلاج الاضطرابات ذات المراضة المشتركة، مثل الاكتئاب والقلق.[91] وجد أن الاستشفاء قصير الأمد ليس أكثر فعاليّة بالمقارنة مع الرعاية الاجتماعيّة طويلة الأمد التي تشمل المنع طويل الأمد من السلوك الانتحاري.[92]
العلاج النفسي

إنّ العلاج النفسي طويل الأمد هو حالياً العلاج الأمثل لاضطراب الشخصيّة الحدّي.[93] هناك ستّة أنواع علاج متوفّرة لاضطراب الشخصيّة الحدّي وهي:
- علاج نفسي تفكيكي ديناميكي DDP.[94]
- المعالجة المعتمدة على التعقّل MBT
- علاج نفسي مركّز على التحويل TFP
- علاج سلوكي جدلي DBT
- إدارة العلاج النفسي العامّة
- علاج مركّز على التخطيط.[17]
في حين أنّ العلاج السلوكي الجدلي DBT هو الأكثر دراسة بين أساليب العلاج المذكورة، فإن البحث التجريبي ودراسات الحالة أظهرت أنّ كل تلك الأساليب العلاجية فعّآلة في علاج اضطراب الشخصيّة الحدّي، باستثناء العلاج المركّز على التخطيط.[17] على كلّ حال، فإنّ العلاج طويل الأمد من أيّ نوع، حتى لو كان العلاج المركز على التخطيط من ضمنه، هو أفضل من دون علاج، خاصّة عند تقليل الدافع إلى إيذاء النفس.[93]
إنّ العلاج النفسي المعتمد على التعقّل والتحويل يرتكز على مبادئ الديناميكيّة النفسيّة، في حين أنّ العلاج السلوكي الجدلي يعتمد على مبادئ السلوك المعرفي وعلى الوعي.[93] تجمع إدارة العلاج النفسي العامّة المبادئ الأساسيّة لأساليب العلاج التفصيليّة، وتعدّ أنها سهلة التعلّم ولا تتطلّب الجهد الكبير.[17] أظهرت دراسة لعيّنات عشوائيّة من التجارب أنّ العلاج باستخدام أسلوبي DBT و MBT هو الأكثر نجاعة، وأنّهما يشتركان في العديد من الأمور المتشابهة.[95][96] بيّنت دراسة أخرى أنّ أسلوب العلاج DDP يمكن أن يكون أكثر فاعلية من DBT.[97] يهتمّ الباحثون في إيجاد وتطوير صيغة مختصرة من أساليب العلاج المذكورة، وذلك من أجل زيادة اليسر والتقليل من الأعباء المادية على المرضى، ولتخفيف عبء توفير الموارد على مزوّدي العلاج.[93][96]
من وجهة نظر ديناميكيّة نفسيّة، فإنّ المشكلة الخاصّة التي تواجه العلاج النفسي هو الإسقاط النفسي، حيث يتطلّب الأمر من المعالج النفسي أن يكون مرناً في التفكّر في الصفات السلبيّة لدى المريض أكثر من التفسير السريع للإسقاط.[98] يشير بعض الباحثين إلى أنّ استخدام وسائل تأمّل مثل الوعي التام يمكن أن يجلب تغيّرات بنيويّة مرغوبة في العقل فيما يتعلّق باضطراب الشخصيّة الحدّي،[99][100][101] كما يمكن لجلسات التأمّل الواعي التام أن تخفّف من أعراض مميّزة لاضطراب الشخصيّة الحدّي.[101][102]
الأدوية
أظهر منشور مراجعة علمي في سنة 2010 من مؤسسة كوكرين أنّه لا يوجد دواء أظهر نجاعة في علاج الأعراض الرئيسيّة لاضطراب الشخصيّة الحدّي من حيث الشعور المزمن بحالة الفراغ واضطراب الشخصيّة والهجران، ولكن على الرغم من ذلك، فقد وجد المؤلّفون لذلك المنشور أنّ لبعض الأدوية تأثيراً على أعراض منفصلة مترافقة مع هذا الاضطراب، أو أعراض المراضات المشتركة.[103]
من بين المضادات النمطيّة للذهان التي دُرست فيما يتعلق باضطراب الشخصيّة الحدّي وجد أن هالوبيريدول يخفّف من الغضب، في حين أن فلوبينتكسول يمكن أن يخفّف احتماليّة حدوث حالة انتحار. أمّا من بين المضادات غير النمطيّة للذهان فإن أريبيبرازول يمكن أن يخفّف من المشاكل مع الأشخاص المحيطين، كما أنّه يمكن أن يحدّ من الاندفاعيّة ومن الغضب ومن الأعراض الزَّوَرانيّة الذهانيّة، الاكتئاب، والقلق والاضطرابات النفسيّة العامّة.[104] يمكن لعقار أولانزابين أن يخفّف من شعور عدم الاستقرار والغضب، في حين أن زيبراسيدون كان تأثيره غير مهم.[103]
من بين مثبّتات المزاج التي تمت دراستها وجد أن لاموتريجين يمكن أن يخفف من الاندفاعيّة والغضب، وأنّ توبيرامات يمكن له أن يقلّل من المشاكل في العلاقات مع الأشخاص ومن الاندفاعيّة والقلق والغضب والاضطرابات النفسيّة العامّة، في حين وجد أنّ تأثير كاربامازيبين غير مهم. أمّا من بين مضادات الاكتئاب فقد وجد أن أميتربتيلين يمكن له أن يخفّف من الاكتئاب، في حين أنّ كل من ميانسيرين وفلوكسيتين وفلوفوكسامين وفينيلزين سلفات لم تظهر أي تأثيرات مهمّة.[103]
أوصى المعهد الوطني للصحة وتفوّق الرعاية (NICE) سنة 2009 فيما يخصّ معالجة اضطراب الشخصيّة الحدّي من خلال الأدوية بالتالي: ( إنّ العلاج الدوائي لا ينبغي أن يستخدم بشكل خاص ومحدّد من أجل علاج اضطراب الشخصيّة الحدّي، أو أي من أعراض فرديّة أو أي سلوك مترافق مع هذا الاضطراب).[105] على الرغم من ذلك، فإنّ المعالجة بالأدوية والعقاقير يمكن أن تستخدم من أجل المعالجة الكلّية لحالات المراضة المشتركة، ولكن ينصح بالتخفيف وإيقاف أي علاج دوائي غير ضروري.[105]
تقييم الخدمات
هناك فرق كبير بين عدد الأشخاص الذين يمكن أن يستفيدوا من العلاج وعدد أولئك الذين عولجوا. إنّ هذه الظاهرة التي تدعى باسم "فجوة العلاج" هي علاقة تشمل إعراض المصابين بالاضطراب عن الخضوع للعلاج، وعدم التشخيص الكافي للاضطراب من مسؤولي الصحة، بالإضافة إلى قلّة العدد والإمكانيات المحدودة من أساليب العلاج المتطورة والحديثة.[106] على الرغم من ذلك، فإنّ نسبة الأفراد المصابين باضطراب الشخصيّة الحدّي الموجودين في مراكز الاستشفاء النفسيّة تبلغ حوالي 20% من المراجعين حسب إحدى الدراسات.[107] إنّ أغلب الأشخاص المصابين باضطراب الشخصيّة الحدّي الخاضعين للعلاج يستمرّون في علاجهم بزيارة العيادات الخارجيّة بشكل مستمرّ ولعدّة سنوات، وذلك بالمقارنة مع عدد الأشخاص الذين يعالجون بأسلوب العيادات الداخليّة، والذين يتناقص عددهم مع مرور الوقت.[108]
على العموم، هناك تفاوت في خبرة الخدمات المقدّمة لعلاج اضطراب الشخصيّة الحدّي.[109] إنّ تقييم خطر الانتحار أمر يمثّل تحدّياً للمعالجين، حيث أنّ المرضى أنفسهم يقلّلون من خطورة السلوك المودي لإيذاء النفس، الأمر الذي يدفهم لاحقاً مع مرور الزمن وعند حدوث أزمات إلى محاولات متكرّرة للانتحار.[110] خاصّةً أنّ اضطراب الشخصيّة الحدّي هو أكثر اضطراب للشخصيّة يترافق مع حدوث حالات انتحار.[111]
المآل
تُظهر توقّعات سير المرض بالنسبة لاضطراب الشخصيّة الحدّي أنّه مع العلاج فإنّ غالبية المصابين بهذا الاضطراب يمكن لهم أن يجدوا الراحة من الأعراض الضائقة، وأن يجدوا الهدأة، والتي يمكن أن تعرف هنا في هذه الحالة على أنها الراحة المستمرّة من أعراض هذا الاضطراب لمدّة سنتين على الأقل.[15][112] أظهرت دراسة طوليّة [112] قامت بتتبّع أعراض الناس المصابين باضطراب الشخصيّة الحدّي أنّ 34.5% من حالات الهدأة تمّ إنجازها خلال سنتين من بداية الدراسة. في غضون أربع سنوات فإن 49.4% قد وجدوا الهدأة، في حين أنّه في غضون ست سنوات فإنّ 68.6% قد وجدوا الهدأة. عند انتهاء الدراسة، فإنّ 73.5% من المشاركين فيها كانوا قد وجدوا الهدأة. بالإضافة إلى ذلك، فإنّه من بين الناس الذين حققوا شفاءً من الأعراض، هناك 5.9% فقط عايشوا نكسات من جديد.[112] وجدت دراسة متأخّرة أنّه بعد مرور عشر سنوات منذ بداية الاستشفاء، فإنّ 86% من المرضى عايشوا حالة شفاء مستمرّة من الأعراض دون نكسات.[113]
بالتالي، فإنّه على العكس من المفهوم الشائع بين الناس، فإنّ الشفاء من اضطراب الشخصيّة الحدّي ليس ممكناً فقط، بل شائع الحدوث، حتّى في الحالات ذات الأعراض المستعصية.[112] ولكن تجدر الإشارة إلى أنّ تلك النسبة المرتفعة من حالات الشفاء من الأعراض الضائقة جرى ملاحظتها على أشخاص كانوا قد تلقّوا العلاج.[112]
إنّ شخصيّة المريض يمكن لها أن تلعب دوراً مهماً خلال عملية العلاج، مما يقود إلى نتائج سريريّة أفضل، حيث أنّ الأشخاص الذين لديهم سمة أكبر من الوفاق والخاضعين لنمط العلاج السلوكي الجدلي (DBT) أظهروا نتائج إيجابيّة أكثر من الأشخاص الذين لديهم سمة وفاق ضعيفة، أو ممّن لم يعالجوا بأسلوب DBT. هذا الترابط وجد كنتيجة للاحتكاك المباشر بين المعالج والمريض؛ أي أنّ المرضى ذوي الوفاق المرتفع كانوا متعاونين بشكل أكبر مع معالجيهم، مّما أدى بدوره إلى نتائج سريريّة أفضل.[114]
بالإضافة إلى الشفاء من الأعراض الضائقة المزعجة لاضطراب الشخصيّة الحدّي، فإنّ المصابين بهذا الاضطراب الذين يخضعون للعلاج يمكن لهم أن يحقّقوا مستويات مرتفعة من الوظائف النفسية الاجتماعيّة مرّة أخرى. أظهرت دراسة طوليّة تتبّعت المقدرات في مجال العلاقات الاجتماعيّة وذلك للمصابين بأعراض هذه الحالة، أنّه بعد ست سنوات من بداية تشخيص الاضطراب فإنّ هناك 56% منهم أظهروا علاقات جيّدة في محيط المجتمع والعمل، مقابل نسبة 26% من المشاركين، وذلك عند سؤالهم حين التشخيص بالاضطراب لأوّل مرّة.[115]
معدل الانتشار
قُدّر معدّل انتشار اضطراب الشخصيّة الحدّي بشكل أوّلي بأنّه حوالي 1 إلى 2 % من تعداد السكّان العام،[15][116] وأنّه يحدث أكثر بثلاث مرّات عند النساء من الرجال.[117][118][119] بالمقابل، فإنّ دراسة معدّل الانتشار العمرية لاضطراب الشخصيّة الحدّي، والتي أجريت سنة 2008 أظهرت أنّ 5.9% من تعداد السكان العام مصابون بهذا الاضطراب، وأنّ النسبة بين الرجال والنساء متقاربة (5.6 % رجال و 6.2% نساء).[120] إنّ الفرق بين معدّلات الإصابة عند الرجال والنساء في تلك الدراسة لم يكن لها أي دلالة إحصائيّة (اعتداد).[120]
يقدّر بأنّ حوالي 20 % من حالات الاستشفاء النفسيّة في المصحّات هي من اضطراب الشخصيّة الحدّي،[121] وأنّها 10% في الحالات بالنسبة للمرضى الخارجيّين.[6] في نسبة أخرى مقاربة، وجد أن المصابين بهذا الاضطراب يشغلون 25% من أسرّة ردهات الأمراض النفسيّة، وما لا يقلّ عن 15% من مراجعات العيادة الخارجية لقسم الأمراض النفسيّة.[79]
أمور خلافيّة
مصداقيّة وصلاحية الشهادة أمام المحكمة
إن مصداقيّة الأشخاص المصابين باضطراب الشخصيّة الحدّي كان موضع تساؤل وبحث في الولايات المتحدّة الأمريكيّة منذ ستّينات القرن العشرين على الأقل.[122] هناك شكوك أنّ خاصيّتان متوفّرتان عند هؤلاء الأشخاص تزيدان من أهمّية الأمر وهي حدوث حالة التفارق وإمكانيّة حدوث كذب أثناء أداء الشهادة.
هناك عدم توافق بين الباحثين فيما إن كان التفارق، وهو حدوث حالة انفصال عن المشاعر والشروط الفيزيائيّة المحيطة، يمكن له أن يؤثّر في قدرة المصابين باضطراب الشخصيّة الحدّي على تذكّر وقائع حدثت في الماضي بتفاصيلها. بيّنت دراسة أجريت سنة 1999 وجود ضعف في خاصية التحديد في ذاكرة السيرة الذاتيّة عند مرضى هذا الاضطراب، وهذا كان متوافقاً مع حدوث حالات تفارق.[123] ولكن في دراسة أوسع أجريت سنة 2010 وجد أنّ الأشخاص الذين لديهم أعراض اضطراب الشخصيّة الحدّي بدون اضطراب اكتئابي، لديهم ذاكرة جيدة للسيرة الذاتية بشكل أكبر من الأشخاص الذين ليس لديهم أعراض BPD ولكن مع وجود اكتئاب لديهم؛ بالتالي فإنّ وجود حالة من الاكتئاب عند هؤلاء الأشخاص كان السبب الرئيسي لعدم القدرة على تذكّر وقائع من الماضي بتفاصيلها، ممّا يعني أن ضعف ذاكرة السيرة الذاتيّة ليس أمراً مقترناً مع التفارق أو أعراض هذا الاضطراب الأخرى.[124]
من جهة أخرى، فإنّ بعض الباحثين في مجال علم النفس يدّعون أنّ مرضى اضطراب الشخصيّة الحدّي قد يستخدمون الكذب في بعض الأحيان،[125] بالمقابل، فإنّ باحثين آخرين أقرّوا أنّ هناك حالات نادرة من الكذب عند مرضى BPD.[125] في النهاية، فإنّ الكذب ليس من السمات المميّزة لاضطراب الشخصيّة الحدّي، حيث أنّ الاعتقاد أنّ المريض يكذب، يمكن له أن يؤثّر على نوعيّة الرعاية الصحّية التي يتلقّونها من النظام الصحّي والتشريعي.[126]
الفوارق بين الجنسين
تشير بعض الدراسات إلى أنّ النسبة العظمى من الأشخاص الذين لديهم أعراض اضطراب الشخصيّة الحدّي ويتلقّون العلاج في العيادات هنّ من النساء.[127] يعود هذا الأمر إلى أنّ النساء لديهن قابليّة أكبر للخضوع لعلاج اضطراب الشخصيّة الحدّي، حيث أنّ الرجال بالمقابل يميلون بشكل أكبر إلى الخضوع لعلاج أعراض BPD مثل العلاج من معاقرة المواد، بالإضافة إلى أنّ الرجال يمكن أن يقدموا على الانتحار بشكل أكبر من النساء قبل حدوث عملية تشخيص للمرض.[29]
التلاعب النفسي
حسب النسخة الرابعة من الدليل التشخيصي والإحصائي للاضطرابات النفسيّة DSM-IV-TR، يعدّ سلوك التلاعب النفسي للحصول على الرعاية أحد المميّزات لاضطراب الشخصيّة الحدّي.[128] بالمقابل، أشارت أخصائية الطب النفسي مارشا لاينهان Marsha Linehan إلى أنّ هذا السلوك من الأشخاص المصابين باضطراب الشخصيّة الحدّي، والذين يريدون أن يوصلوا ألمهم الشديد، أو الذين وصولوا إلى مرحلة إيذاء النفس أو الانتحار، نابع من رغبتهم في التأثير على سلوك الآخرين.[129] من جهة أخرى، بما أنّ مرضى هذا الاضطراب تعوزهم المقدرة على الإدارة الناجحة للمشاعر المؤلمة وللتحدّيات الشخصيّة، بالتالي فإنّ تعبيرهم المتكرّر للألم الشديد ولإيذاء الذات والسلوك الانتحاري يمكن أن يكون محاولة منهم لضبط المزاج، أو محاولة اتخاذ آليّة هرب من المواقف التي لا يتحمّلونها.[129]
الوصمة الاجتماعيّة

تتضمّن خصائص اضطراب الشخصيّة الحدّي وجود عدم استقرار عاطفي، وعلاقات مضطربة مع الأشخاص المحيطين، ممّا يدفعهم إلى البحث عن علاقات حميمة وإلى الخوف من الرفض الاجتماعي. بالمقابل، فإنّ الوسط المحيط يمكن له أن يستخدم مصطلحات يعتبرها المصابون باضطراب الشخصيّة الحدّي ازدرائيّة، مثل القول عند وصف أحدهم أنه "عَسِر" و"مقاوم للعلاج" و"متلاعب" و"متطلب" و"باحث عن استرعاء الانتباه". إنّ استعمال مثل هذه الألفاظ يمكن أن يكون لها التأثير السلبي الكبير على علاج هؤلاء المرضى، ممّا قد يدفعهم بالنهاية إلى سلوك التدمير الذاتي، المتمثّل بإيذاء الذات أو الانتحار.[130]
- العنف الجسدي
تتضمّن الوصمة الاجتماعيّة التي تسم مرضى اضطراب الشخصيّة الحدّي وجود اعتقاد بين الناس المحيطين لهم أنّ هؤلاء المصابين بذلك الاضطراب لديهم قابلية للقيام بأعمال عنيفة تجاه الآخرين،[131] وهذا الأمر شائع تصويره في الأفلام والإعلام المرئي على أنّه ذلك، على الرغم من أنّ غالبية الباحثين يتّفقون على أنّ مرضى هذا الاضطراب لا يقومون غالباً بإيذاء الآخرين جسدياً.[131] صحيح أنّهم قد تنتابهم مشاعر غضب شديدة، ولكنّهم يعكسون ذاك الغضب داخليّاً تجاه أنفسهم،[131] وذلك على العكس من المصابين باضطراب الشخصيّة المعادية للمجتمع ASPD، والذين يميلون إلى التنفيس عن مشاعر غضبهم بإيذاء المحيطين حولهم.[131] بالإضافة إلى ذلك، فإنّ الكثير من البالغين المصابين باضطراب الشخصيّة الحدّي، والذين كانوا قد عانوا من انتهاكات جنسيّة في طفولتهم، يرفضون مطلقاً التعبير عن الغضب من خلال إيذاء الآخرين.[131]
- أسلوب تقديم الرعاية الصحيّة
من أجل علاجهم، يشكّل المصابون باضطراب الشخصيّة الحدّي تحدّياً كبيراً للمعالجين النفسيين، وذلك بالمقارنة مع المجموعات الأخرى من المصابين باضطراب الشخصيّة، حيث يتطلّب ذلك الأمر الكثير من الحكمة والمهارة وتدريب للكوادر من الأطباء النفسيّين والمعالجين والممرّضين.[132] تقرّ غالبيّة الطقم العامل في العلاج بوجود صعوبات في التعامل مع المصابين باضطراب الشخصيّة الحدّي، مقارنةً مع المجموعات الأخرى من زائري العيادات للعلاج.[133] ممّا أدّى في النهاية إلى تكثيف الجهود الداعمة لتحسين أسلوب تعامل المعالجين مع المصابين باضطراب الشخصيّة الحدّي.[134][135]
بما أنّ التشخيص بوجود اضطراب الشخصيّة الحدّي يسم المريض بالوصمة الاجتماعيّة، فإنّ وجود ردود أفعال سلبيّة من المعالجين، يمكن أن يزيد من سوء حالة المريض، وخاصّة ممّن عانى من انتهاك جنسي عند طفولته.[136] حسب نظرية التحليل النفسي، فإنّ قيام طاقم العلاج بالتعبير بشكل أو بآخر عن إظهار الوصمة لدى مرضى اضطراب الشخصية الحدي، هو نتيجة لحدوث انتقال مقابل. هذا الأمر يؤدّي إلى حدوث شرخ في التشاعر (تبادل المشاعر) بين المعالج والمريض،[13] ممّا قد يؤدي في نهاية المطاف إلى ردود أفعال علاجيّة غير مرغوبة، بما في ذلك الاستخدام غير الضروري للأدوية، واستخدام طرق محدودة للعلاج.[137] في حالات أخرى، يؤدّي استخدام توصيف اضطراب الشخصيّة الحدّي إلى الحدّ من الحصول على الرعاية الصحّيّة الكافية لهذا الاضطراب بسبب تلك الوصمة الاجتماعيّة.[138]
الاصطلاح
هناك فئة من المعالجين تصف أن استخدام توصيف اضطراب الشخصيّة الحدّي هو أمر يسبب إشكاليات، ومن الأفضل تجنّب استخدام هذا المصطلح، أو حتّى تغيير الاسم. على الرغم من أنّ البعض لا توجد عندهم مشكلة في ذلك، إلا أن البعض الآخر يشير إلى ضرورة استبداله،[139] وذلك أمر يعود إلى الوصمة الاجتماعيّة حسب نظرية الوصم، ممّا قد يؤدّي إلى إعاقة العلاج.[140]
هناك مجموعة من الاقتراحات قدّمت بخصوص هذا الصدد، إلاّ أنّ الإصدار الخامس من الدليل التشخيصي والإحصائي للاضطرابات النفسية (DSM-5) سنة 2013 أبقى على اسم الاضطراب كما هو.
المجتمع والثقافة
هناك العديد من الأعمال الفنيّة التي صوّرت شخصياتها على أنّها مصابة باضطراب الشخصيّة الحدّي أو لها سمات مقاربة له، وذلك على صعيد الأفلام أو المسلسلات أو الروايات.
- الأفلام
- العب بأسلوب غامض من أجلي Play Misty for Me، وهو فيلم إثارة نفسيّة، إنتاج سنة 1971 ومن إخراج وبطولة كلينت إيستوود.[141] على الرغم من أنّ الشخصيّة كانت عنيفة تجاه الآخرين أكثر من تجاه نفسها، وهذا أمر غير مميّز لاضطراب الشخصيّة الحدّي.[142]
- فتاة، قوطعت (فيلم) Girl, Interrupted وهو فيلم دراما مستند على رواية بنفس الاسم.
- المسلسلات
- آل سوبرانو The Sopranos.
- ويل وغريس Will & Grace
- الروايات
- مذكرات فتاة قوطعت Girl, Interrupted للكاتبة سوزانا كايسن، وهي مذكّرات تصف فيها كاتبتها علاجها من اضطراب الشخصيّة الحدّي في مستشفى الأمراض النفسية.
- أخرجوني من هنا: قصة علاجي من اضطراب الشخصية الحدي Get Me Out of Here: My Recovery from Borderline Personality Disorder للكاتبة رايتشل ريلاند Rachel Reiland
- أغنيات الجزر الثلاث Songs of Three Islands للكاتبة ميليسنت مونكس Millicent Monks
- التوعية
في سنة 2008 أقرّ مجلس النواب الأمريكي بجعل شهر أيار/مايو من كل عام في الولايات المتّحدة الأمريكيّة شهراً تقام فيه حملات للتوعية فيما يخص اضطراب الشخصيّة الحدّي.
هوامش
- ملاحظة 1: يرمز له اختصاراً BPD من Borderline personality disorder)، كما يدعى هذا الاضطرابات أيضاً اضطراب الشخصيّة غير المستقرّة عاطفياً أو اضطراب الشدّة العاطفيّة أو النمط الحدّي حسب المراجعة العاشرة للتصنيف الدولي للأمراض (ICD-10)، (أو بالاسم الشائع اضطراب الشخصيّة الحدّية)،[117]
مراجع
- ت.د.أ.10: http://apps.who.int/classifications/icd10/browse/2016/en#/F60.3
- ترجمة Borderline Personality Disorder حسب معجم مصطلحات الطب النفسي، مركز تعريب العلوم الصحية نسخة محفوظة 20 نوفمبر 2017 على موقع واي باك مشين.
- "اضطراب الشخصية الحدي". موسوعة الملك عبد الله بن عبد العزيز للمحتوى الصحي. 6 مارس 2012. مؤرشف من الأصل في 4 مارس 2016. الوسيط
|CitationClass=تم تجاهله (مساعدة) "نسخة مؤرشفة". Archived from the original on 9 أبريل 2018. اطلع عليه بتاريخ 22 أبريل 2020. الوسيط|CitationClass=تم تجاهله (مساعدة)صيانة CS1: BOT: original-url status unknown (link) - American Psychiatric Association (2013). Diagnostic and Statistical Manual of Mental Disorders (الطبعة 5th). American Psychiatric Publishing. ISBN 978-0-89042-555-8. الوسيط
|CitationClass=تم تجاهله (مساعدة)CS1 maint: ref=harv (link) "نسخة مؤرشفة". Archived from the original on 9 أبريل 2018. اطلع عليه بتاريخ 22 أبريل 2020. الوسيط|CitationClass=تم تجاهله (مساعدة)صيانة CS1: BOT: original-url status unknown (link) - Linehan, Marsha (1993). Cognitive-behavioral treatment of borderline personality disorder. New York: Guilford Press. ISBN 0-89862-183-6. الوسيط
|CitationClass=تم تجاهله (مساعدة)CS1 maint: ref=harv (link) "نسخة مؤرشفة". Archived from the original on 9 أبريل 2018. اطلع عليه بتاريخ 22 أبريل 2020. الوسيط|CitationClass=تم تجاهله (مساعدة)صيانة CS1: BOT: original-url status unknown (link) - "BPD Fact Sheet". National Educational Alliance for Borderline Personality Disorder. 2013. مؤرشف من الأصل في 18 يناير 2014. الوسيط
|CitationClass=تم تجاهله (مساعدة) "نسخة مؤرشفة". Archived from the original on 9 أبريل 2018. اطلع عليه بتاريخ 22 أبريل 2020. الوسيط|CitationClass=تم تجاهله (مساعدة)صيانة CS1: BOT: original-url status unknown (link) - American Psychiatric Association (2013). Diagnostic and Statistical Manual of Mental Disorders (الطبعة 5th). American Psychiatric Publishing. صفحات 646–9. ISBN 978-0-89042-555-8. الوسيط
|CitationClass=تم تجاهله (مساعدة)CS1 maint: ref=harv (link) "نسخة مؤرشفة". Archived from the original on 9 أبريل 2018. اطلع عليه بتاريخ 22 أبريل 2020. الوسيط|CitationClass=تم تجاهله (مساعدة)صيانة CS1: BOT: original-url status unknown (link) - Linehan, Marsha M.; Comtois, Katherine Anne; Murray, Angela M.; Brown, Milton Z.; Gallop, Robert J.; Heard, Heidi L.; Korslund, Kathryn E.; Tutek, Darren A.; et al. (2006). "Two-Year Randomized Controlled Trial and Follow-up of Dialectical Behavior Therapy vs Therapy by Experts for Suicidal Behaviors and Borderline Personality Disorder". Archives of General Psychiatry. 63 (7): 757–66. doi:10.1001/archpsyc.63.7.757. PMID 16818865. مؤرشف من الأصل في 9 أبريل 2018. اطلع عليه بتاريخ 22 أبريل 2020. الوسيط
|CitationClass=تم تجاهله (مساعدة)CS1 maint: ref=harv (link) - Millon, Theodore; Grossman, Seth; Meagher, Sarah E. (2004). Masters of the mind: exploring the story of mental illness from ancient times to the new millennium. John Wiley & Sons. صفحات 172. ISBN 978-0-471-46985-8. الوسيط
|CitationClass=تم تجاهله (مساعدة)CS1 maint: ref=harv (link) "نسخة مؤرشفة". Archived from the original on 9 أبريل 2018. اطلع عليه بتاريخ 22 أبريل 2020. الوسيط|CitationClass=تم تجاهله (مساعدة)صيانة CS1: BOT: original-url status unknown (link) - C. Hughes (1884). "Borderline psychiatric records – prodronal symptoms of physical impairments". Alienists & Neurology. 5: 85–90. الوسيط
|CitationClass=تم تجاهله (مساعدة) - Millon, Theodore (1996). Disorders of Personality: DSM-IV-TM and Beyond. New York: John Wiley & Sons. صفحات 645–690. ISBN 0-471-01186-X. الوسيط
|CitationClass=تم تجاهله (مساعدة)CS1 maint: ref=harv (link) - Stern, Adolf (1938). "Psychoanalytic investigation of and therapy in the borderline group of neuroses". Psychoanalytic Quarterly. 7: 467–489. الوسيط
|CitationClass=تم تجاهله (مساعدة) - Aronson TA (August 1985). "Historical perspectives on the borderline concept: a review and critique". Psychiatry. 48 (3): 209–22. PMID 3898174. الوسيط
|CitationClass=تم تجاهله (مساعدة) - Gunderson JG, Kolb JE, Austin V (July 1981). "The diagnostic interview for borderline patients". Am J Psychiatry. 138 (7): 896–903. doi:10.1176/ajp.138.7.896. PMID 7258348. مؤرشف من الأصل في 22 أبريل 2020. الوسيط
|CitationClass=تم تجاهله (مساعدة)صيانة CS1: أسماء متعددة: قائمة المؤلفون (link) - Oldham, John M. (July 2004). "Borderline Personality Disorder: An Overview". Psychiatric Times. مؤرشف من الأصل في 26 سبتمبر 2018. الوسيط
|CitationClass=تم تجاهله (مساعدة) - Stone MH (2005). "Borderline Personality Disorder: History of the Concept". In Zanarini MC (المحرر). Borderline personality disorder. Boca Raton, FL: Taylor & Francis. صفحات 1–18. ISBN 0-8247-2928-5. الوسيط
|CitationClass=تم تجاهله (مساعدة) - Gunderson, John G. (26 May 2011). "Borderline Personality Disorder". The New England Journal of Medicine. 364 (21): 2037–2042. doi:10.1056/NEJMcp1007358. PMID 21612472. الوسيط
|CitationClass=تم تجاهله (مساعدة) - Linehan, Marsha (1993). Cognitive-behavioral treatment of borderline personality disorder. New York: Guilford Press. صفحات 43. ISBN 0-89862-183-6. الوسيط
|CitationClass=تم تجاهله (مساعدة)CS1 maint: ref=harv (link) - Manning, Shari (2011). Loving Someone with Borderline Personality Disorder. The Guilford Press. صفحة 36. ISBN 978-1-59385-607-6. الوسيط
|CitationClass=تم تجاهله (مساعدة)CS1 maint: ref=harv (link) - Linehan, Marsha (1993). Cognitive-behavioral treatment of borderline personality disorder. New York: Guilford Press. صفحات 45. ISBN 0-89862-183-6. الوسيط
|CitationClass=تم تجاهله (مساعدة)CS1 maint: ref=harv (link) - Stiglmayr CE, Grathwol T, Linehan MM, Ihorst G, Fahrenberg J, Bohus M (May 2005). "Aversive tension in patients with borderline personality disorder: a computer-based controlled field study". Acta Psychiatr Scand. 111 (5): 372–9. doi:10.1111/j.1600-0447.2004.00466.x. PMID 15819731. الوسيط
|CitationClass=تم تجاهله (مساعدة)صيانة CS1: أسماء متعددة: قائمة المؤلفون (link) - Brown MZ, Comtois KA, Linehan MM (February 2002). "Reasons for suicide attempts and nonsuicidal self-injury in women with borderline personality disorder". J Abnorm Psychol. 111 (1): 198–202. doi:10.1037/0021-843X.111.1.198. PMID 11866174. الوسيط
|CitationClass=تم تجاهله (مساعدة)صيانة CS1: أسماء متعددة: قائمة المؤلفون (link) - Zanarini MC, Frankenburg FR, DeLuca CJ, Hennen J, Khera GS, Gunderson JG (1998). "The pain of being borderline: dysphoric states specific to borderline personality disorder". Harv Rev Psychiatry. 6 (4): 201–7. doi:10.3109/10673229809000330. PMID 10370445. الوسيط
|CitationClass=تم تجاهله (مساعدة)صيانة CS1: أسماء متعددة: قائمة المؤلفون (link) - Koenigsberg HW, Harvey PD, Mitropoulou V; et al. (May 2002). "Characterizing affective instability in borderline personality disorder". Am J Psychiatry. 159 (5): 784–8. doi:10.1176/appi.ajp.159.5.784. PMID 11986132. الوسيط
|CitationClass=تم تجاهله (مساعدة); Explicit use of et al. in:|مؤلف=(مساعدة)صيانة CS1: أسماء متعددة: قائمة المؤلفون (link) - National Education Alliance for Borderline Personality Disorder. "A BPD Brief" (PDF). صفحة 4. مؤرشف من الأصل (PDF) في 5 مارس 2016. اطلع عليه بتاريخ 2013. الوسيط
|CitationClass=تم تجاهله (مساعدة); تحقق من التاريخ في:|تاريخ الوصول=(مساعدة) - Manning, Shari (2011). Loving Someone with Borderline Personality Disorder. The Guilford Press. صفحة 18. ISBN 978-1-59385-607-6. الوسيط
|CitationClass=تم تجاهله (مساعدة)CS1 maint: ref=harv (link) - Hawton K, Townsend E, Arensman E; et al. (2000). Hawton, Keith KE (المحرر). "Psychosocial versus pharmacological treatments for deliberate self harm". Cochrane Database of Systematic Reviews (2): CD001764. doi:10.1002/14651858.CD001764. PMID 10796818. مؤرشف من الأصل في 21 أغسطس 2011. الوسيط
|CitationClass=تم تجاهله (مساعدة); Explicit use of et al. in:|مؤلف=(مساعدة)صيانة CS1: أسماء متعددة: قائمة المؤلفون (link) - Gunderson, John G.; Links, Paul S. (2008). Borderline Personality Disorder: A Clinical Guide (الطبعة 2nd). American Psychiatric Publishing, Inc. صفحة 9. ISBN 978-1585623358. الوسيط
|CitationClass=تم تجاهله (مساعدة) - Kreisman J, Strauss H (2004). Sometimes I Act Crazy. Living With Borderline Personality Disorder. Wiley & Sons. صفحة 206. الوسيط
|CitationClass=تم تجاهله (مساعدة) - Paris J (2008). Treatment of Borderline Personality Disorder. A Guide to Evidence-Based Practice. The Guilford Press. صفحات 21–22. الوسيط
|CitationClass=تم تجاهله (مساعدة) - Soloff P.H., Lis J.A., Kelly T.; et al. (1994). "Self-mutilation and suicidal behavior in borderline personality disorder". Journal of Personality Disorders. 8 (4): 257–67. doi:10.1521/pedi.1994.8.4.257. الوسيط
|CitationClass=تم تجاهله (مساعدة); Explicit use of et al. in:|مؤلف=(مساعدة)صيانة CS1: أسماء متعددة: قائمة المؤلفون (link) - Gardner D.L., Cowdry R.W. (1985). "Suicidal and parasuicidal behavior in borderline personality disorder". Psychiatric Clinics of North America. 8 (2): 389–403. PMID 3895199. الوسيط
|CitationClass=تم تجاهله (مساعدة) - Horesh N, Sever J, Apter A (Jul–August 2003). "A comparison of life events between suicidal adolescents with major depression and borderline personality disorder". Compr Psychiatry. 44 (4): 277–83. doi:10.1016/S0010-440X(03)00091-9. PMID 12923705. الوسيط
|CitationClass=تم تجاهله (مساعدة); تحقق من التاريخ في:|تاريخ=(مساعدة)صيانة CS1: أسماء متعددة: قائمة المؤلفون (link) - Arntz A (September 2005). "Introduction to special issue: cognition and emotion in borderline personality disorder". Behav Ther Exp Psychiatry. 36 (3): 167–72. doi:10.1016/j.jbtep.2005.06.001. PMID 16018875. الوسيط
|CitationClass=تم تجاهله (مساعدة) - "اضطراب الشخصية الحدية". الباحثون السوريون. 13-12-2014. مؤرشف من الأصل في 18 أغسطس 2018. الوسيط
|CitationClass=تم تجاهله (مساعدة); تحقق من التاريخ في:|تاريخ=(مساعدة) - Robinson, David J. (2005). Disordered Personalities. Rapid Psychler Press. صفحات 255–310. ISBN 1-894328-09-4. الوسيط
|CitationClass=تم تجاهله (مساعدة) - اضطراب الشخصية الحدية من موقع النفسي نسخة محفوظة 18 فبراير 2015 على موقع واي باك مشين. [وصلة مكسورة]
- Levy KN, Meehan KB, Weber M, Reynoso J, Clarkin JF (2005). "Attachment and borderline personality disorder: implications for psychotherapy". Psychopathology. 38 (2): 64–74. doi:10.1159/000084813. PMID 15802944. الوسيط
|CitationClass=تم تجاهله (مساعدة)صيانة CS1: أسماء متعددة: قائمة المؤلفون (link) - Zanarini MC, Frankenburg FR, Reich DB, Silk KR, Hudson JI, McSweeney LB (June 2007). "The subsyndromal phenomenology of borderline personality disorder: a 10-year follow-up study". Am J Psychiatry. 164 (6): 929–35. doi:10.1176/appi.ajp.164.6.929. PMID 17541053. الوسيط
|CitationClass=تم تجاهله (مساعدة)صيانة CS1: أسماء متعددة: قائمة المؤلفون (link) - "Borderline Personality Disorder DSM-IV Criteria". BPD Today. مؤرشف من الأصل في 18 فبراير 2015. اطلع عليه بتاريخ 21 سبتمبر 2007. الوسيط
|CitationClass=تم تجاهله (مساعدة) - Potter NN (April 2006). "What is manipulative behavior, anyway?". J. Pers. Disord. 20 (2): 139–56, discussion 181–5. doi:10.1521/pedi.2006.20.2.139. PMID 16643118. الوسيط
|CitationClass=تم تجاهله (مساعدة) - Manning, Shari (2011). Loving Someone with Borderline Personality Disorder. The Guilford Press. صفحات 23–24. ISBN 978-1-59385-607-6. الوسيط
|CitationClass=تم تجاهله (مساعدة)CS1 maint: ref=harv (link) - "Borderline personality disorder". Mayo Clinic. مؤرشف من الأصل في 30 أبريل 2008. اطلع عليه بتاريخ 15 مايو 2008. الوسيط
|CitationClass=تم تجاهله (مساعدة) - Gunderson, JG; Sabo, AN (1993). "The phenomenological and conceptual interface between borderline personality disorder and PTSD". Am J Psychiatry. 150 (1): 19–27. PMID 8417576. مؤرشف من الأصل في 13 ديسمبر 2018. الوسيط
|CitationClass=تم تجاهله (مساعدة) - Kluft, Richard P. (1990). Incest-Related Syndromes of Adult Psychopathology. American Psychiatric Pub, Inc. صفحات 83, 89. ISBN 0-88048-160-9. الوسيط
|CitationClass=تم تجاهله (مساعدة) - Zanarini, MC; Frankenburg, FR (1997). "Pathways to the development of borderline personality disorder". J. Pers. Disord. 11 (1): 93–104. doi:10.1521/pedi.1997.11.1.93. PMID 9113824. الوسيط
|CitationClass=تم تجاهله (مساعدة) - Grohol, John M. (30 Jan 2013). "Borderline Personality Disorder". psychcentral.com. مؤرشف من الأصل في 17 مايو 2015. الوسيط
|CitationClass=تم تجاهله (مساعدة) - Torgersen, S; Lygren, S; Oien, PA (2000). "A twin study of personality disorders". Compr Psychiatry. 41 (6): 416–25. doi:10.1053/comp.2000.16560. PMID 11086146. الوسيط
|CitationClass=تم تجاهله (مساعدة) - Torgersen, S (March 2000). "Genetics of patients with borderline personality disorder". Psychiatr. Clin. North Am. 23 (1): 1–9. doi:10.1016/S0193-953X(05)70139-8. PMID 10729927. الوسيط
|CitationClass=تم تجاهله (مساعدة) - Goodman, M; New, A; Siever, L (December 2004). "Trauma, genes, and the neurobiology of personality disorders". Annals of the New York Academy of Sciences. 1032: 104–16. Bibcode:2004NYASA1032..104G. doi:10.1196/annals.1314.008. PMID 15677398. الوسيط
|CitationClass=تم تجاهله (مساعدة) - "Possible Genetic Causes Of Borderline Personality Disorder Identified". sciencedaily.com. 20 Dec 2008. مؤرشف من الأصل في 4 أكتوبر 2018. الوسيط
|CitationClass=تم تجاهله (مساعدة) - O'Neil, Aisling; Thomas Frodl (January 18, 2012). "Brain structure and function in borderline personality disorder" تحقق من قيمة
|مسار=(مساعدة). Brain Structure and Function. doi:10.1007/s00429-012-0379-4. اطلع عليه بتاريخ May 6, 2014. الوسيط|CitationClass=تم تجاهله (مساعدة)[وصلة مكسورة] - Chapman, Alexander L.; Gratz, Kim L. (2007). The Borderline Personality Disorder Survival Guide: Everything You Need to Know About Living with BPD. Oakland, CA: New Harbinger Publications. صفحة 47. ISBN 978-1-57224-507-5. الوسيط
|CitationClass=تم تجاهله (مساعدة)CS1 maint: ref=harv (link) - Szeszko PR, Robinson D, Alvir JM; et al. (October 1999). "Orbital frontal and amygdala volume reductions in obsessive-compulsive disorder". Arch. Gen. Psychiatry. 56 (10): 913–9. doi:10.1001/archpsyc.56.10.913. PMID 10530633. الوسيط
|CitationClass=تم تجاهله (مساعدة); Explicit use of et al. in:|مؤلف=(مساعدة)صيانة CS1: أسماء متعددة: قائمة المؤلفون (link) - Herpertz SC, Dietrich TM, Wenning B; et al. (August 2001). "Evidence of abnormal amygdala functioning in borderline personality disorder: a functional MRI study". Biol. Psychiatry. 50 (4): 292–8. doi:10.1016/S0006-3223(01)01075-7. PMID 11522264. الوسيط
|CitationClass=تم تجاهله (مساعدة); Explicit use of et al. in:|مؤلف=(مساعدة)صيانة CS1: أسماء متعددة: قائمة المؤلفون (link) - Schmahl CG, Elzinga BM, Vermetten E, Sanislow C, McGlashan TH, Bremner JD (July 2003). "Neural correlates of memories of abandonment in women with and without borderline personality disorder". Biol. Psychiatry. 54 (2): 142–51. doi:10.1016/S0006-3223(02)01720-1. PMID 12873804. الوسيط
|CitationClass=تم تجاهله (مساعدة)صيانة CS1: أسماء متعددة: قائمة المؤلفون (link) - Chapman, Alexander L.; Gratz, Kim L. (2007). The Borderline Personality Disorder Survival Guide: Everything You Need to Know About Living with BPD. Oakland, CA: New Harbinger Publications. صفحة 50. ISBN 978-1-57224-507-5. الوسيط
|CitationClass=تم تجاهله (مساعدة)CS1 maint: ref=harv (link) - Grossman R, Yehuda R, Siever L; Yehuda; Siever (June 1997). "The dexamethasone suppression test and glucocorticoid receptors in borderline personality disorder". Annals of the New York Academy of Sciences. 821: 459–64. Bibcode:1997NYASA.821..459G. doi:10.1111/j.1749-6632.1997.tb48305.x. PMID 9238229. الوسيط
|CitationClass=تم تجاهله (مساعدة)صيانة CS1: أسماء متعددة: قائمة المؤلفون (link) - Chapman, Alexander L.; Gratz, Kim L. (2007). The Borderline Personality Disorder Survival Guide: Everything You Need to Know About Living with BPD. Oakland, CA: New Harbinger Publications. صفحة 49. ISBN 978-1-57224-507-5. الوسيط
|CitationClass=تم تجاهله (مساعدة)CS1 maint: ref=harv (link) - van Heeringen K, Audenaert K, Van de Wiele L, Verstraete A (November 2000). "Cortisol in violent suicidal behaviour: association with personality and monoaminergic activity". J Affect Disord. 60 (3): 181–9. doi:10.1016/S0165-0327(99)00180-9. PMID 11074106. الوسيط
|CitationClass=تم تجاهله (مساعدة)صيانة CS1: أسماء متعددة: قائمة المؤلفون (link) - DeSoto, M. Catherine (2007). "Borderline Personality Disorder, Gender and Serotonin: Does Estrogen Play a Role?". In Czerbska, Martina T. (المحرر). Psychoneuroendocrinology Research Trends. Nova Science Publishers. صفحات 149–60. ISBN 978-1-60021-665-7. الوسيط
|CitationClass=تم تجاهله (مساعدة) - DeSoto MC, Geary DC, Hoard MK, Sheldon MS, Cooper L (August 2003). "Estrogen fluctuations, oral contraceptives and borderline personality". Psychoneuroendocrinology. 28 (6): 751–66. doi:10.1016/S0306-4530(02)00068-9. PMID 12812862. الوسيط
|CitationClass=تم تجاهله (مساعدة)صيانة CS1: أسماء متعددة: قائمة المؤلفون (link) - Zanarini MC, Gunderson JG, Marino MF, Schwartz EO, Frankenburg FR (Jan–February 1989). "Childhood experiences of borderline patients". Comprehensive Psychiatry. 30 (1): 18–25. doi:10.1016/0010-440X(89)90114-4. PMID 2924564. الوسيط
|CitationClass=تم تجاهله (مساعدة); تحقق من التاريخ في:|تاريخ=(مساعدة)صيانة CS1: أسماء متعددة: قائمة المؤلفون (link) - Brown GR, Anderson B (January 1991). "Psychiatric morbidity in adult inpatients with childhood histories of sexual and physical abuse". Am J Psychiatry. 148 (1): 55–61. PMID 1984707. مؤرشف من الأصل في 22 أبريل 2020. الوسيط
|CitationClass=تم تجاهله (مساعدة) - Herman, Judith Lewis; Judith Herman MD (1992). Trauma and recovery. New York: BasicBooks. ISBN 0-465-08730-2. الوسيط
|CitationClass=تم تجاهله (مساعدة)صيانة CS1: أسماء متعددة: قائمة المؤلفون (link) - Quadrio, C (December 2005). "Axis One/Axis Two: A disordered borderline". Australian and New Zealand Journal of Psychiatry. 39: A107. doi:10.1111/j.1440-1614.2005.01674_39_s1.x. مؤرشف من الأصل في 22 أبريل 2020. الوسيط
|CitationClass=تم تجاهله (مساعدة) - Zanarini M.C., Frankenburg F.R. (1997). "Pathways to the development of borderline personality disorder". Journal of Personality Disorders. 11 (1): 93–104. doi:10.1521/pedi.1997.11.1.93. PMID 9113824. الوسيط
|CitationClass=تم تجاهله (مساعدة) - Zanarini MC, Frankenburg FR, Reich DB; et al. (2000). "Biparental failure in the childhood experiences of borderline patients". J Personal Disord. 14 (3): 264–73. doi:10.1521/pedi.2000.14.3.264. PMID 11019749. الوسيط
|CitationClass=تم تجاهله (مساعدة); Explicit use of et al. in:|مؤلف=(مساعدة)صيانة CS1: أسماء متعددة: قائمة المؤلفون (link) - Dozier, Mary; Stovall-McClough, K. Chase; Albus, Kathleen E. (1999). "Attachment and psychopathology in adulthood". In Cassidy, Jude; Shaver, Phillip R. (المحررون). Handbook of attachment. New York: Guilford Press. صفحات 497–519. الوسيط
|CitationClass=تم تجاهله (مساعدة) - Rosenthal, MZ; Cheavens, JS; Lejuez, CW; Lynch, TR (September 2005). "Thought suppression mediates the relationship between negative affect and borderline personality disorder symptoms". Behav Res Ther. 43 (9): 1173–85. doi:10.1016/j.brat.2004.08.006. PMID 16005704. الوسيط
|CitationClass=تم تجاهله (مساعدة) - Chapman, Alexander L.; Gratz, Kim L. (2007). The Borderline Personality Disorder Survival Guide: Everything You Need to Know About Living with BPD. Oakland, CA: New Harbinger Publications. صفحة 52. ISBN 978-1-57224-507-5. الوسيط
|CitationClass=تم تجاهله (مساعدة)CS1 maint: ref=harv (link) - Ayduk O, Zayas V, Downey G, Cole AB, Shoda Y, Mischel W (February 2008). "Rejection Sensitivity and Executive Control: Joint predictors of Borderline Personality features". J Res Pers. 42 (1): 151–168. doi:10.1016/j.jrp.2007.04.002. PMC 2390893. PMID 18496604. الوسيط
|CitationClass=تم تجاهله (مساعدة)صيانة CS1: أسماء متعددة: قائمة المؤلفون (link) - Lazzaretti, Matteo; Morandotti, Niccolò; Sala, Michela; Isola, Miriam; Frangou, Sophia; De Vidovich, Giulia; Marraffini, Elisa; Gambini, Francesca; et al. (2012). "Impaired working memory and normal sustained attention in borderline personality disorder". Acta Neuropsychiatrica. 24 (6): 349–55. doi:10.1111/j.1601-5215.2011.00630.x. الوسيط
|CitationClass=تم تجاهله (مساعدة) - Bradley R, Jenei J, Westen D (January 2005). "Etiology of borderline personality disorder: disentangling the contributions of intercorrelated antedents". J. Nerv. Ment. Dis. 193 (1): 24–31. doi:10.1097/01.nmd.0000149215.88020.7c. PMID 15674131. الوسيط
|CitationClass=تم تجاهله (مساعدة)صيانة CS1: أسماء متعددة: قائمة المؤلفون (link) - Parker, AG; Boldero, JM; Bell, RC (September 2006). "Borderline personality disorder features: the role of self-discrepancies and self-complexity". Psychol Psychother. 79 (Pt 3): 309–21. doi:10.1348/147608305X70072. PMID 16945194. الوسيط
|CitationClass=تم تجاهله (مساعدة) - Sauer, SE; Baer, Ruth A.; Baer, RA (February 2009). "Relationships between thought suppression and symptoms of borderline personality disorder". J. Pers. Disord. 23 (1): 48–61. doi:10.1521/pedi.2009.23.1.48. PMID 19267661. الوسيط
|CitationClass=تم تجاهله (مساعدة) - "Personality Disorders: Tests and Diagnosis". Mayo Clinic. مؤرشف من الأصل في 10 نوفمبر 2013. اطلع عليه بتاريخ 13 يونيو 2013. الوسيط
|CitationClass=تم تجاهله (مساعدة) - American Psychiatric Association (2013). Diagnostic and Statistical Manual of Mental Disorders (الطبعة 5th). American Psychiatric Publishing. صفحات 663–8. ISBN 978-0-89042-555-8. الوسيط
|CitationClass=تم تجاهله (مساعدة)CS1 maint: ref=harv (link) - اضطراب الشخصية الحدية.... بين النظرية والممارسة - مجانين، الشبكة العربية للصحة النفسية الاجتماعية. نسخة محفوظة 08 مارس 2018 على موقع واي باك مشين.
- American Psychiatric Association (2013). Diagnostic and Statistical Manual of Mental Disorders (الطبعة 5th). American Psychiatric Publishing. صفحات 766–7. ISBN 978-0-89042-555-8. الوسيط
|CitationClass=تم تجاهله (مساعدة)CS1 maint: ref=harv (link) - ICD-10 Version:2015 نسخة محفوظة 29 نوفمبر 2017 على موقع واي باك مشين.
- Carlson, Neil R.; Heth, C. Donald (2010). Psychology: The Science of Behavior. Pearson Canada. صفحة 570. الوسيط
|CitationClass=تم تجاهله (مساعدة) - Millon, Theodore (2004). Personality Disorders in Modern Life. Hoboken, New Jersey: John Wiley & Sons. صفحة 4. ISBN 0-471-23734-5. الوسيط
|CitationClass=تم تجاهله (مساعدة) - Hoffman PD, Buteau E, Hooley JM, Fruzzetti AE, Bruce ML (2003). "Family members' knowledge about borderline personality disorder: correspondence with their levels of depression, burden, distress, and expressed emotion". Fam Process. 42 (4): 469–78. doi:10.1111/j.1545-5300.2003.00469.x. PMID 14979218. الوسيط
|CitationClass=تم تجاهله (مساعدة)صيانة CS1: أسماء متعددة: قائمة المؤلفون (link) - Allen DM, Farmer RG (1996). "Family relationships of adults with borderline personality disorder". Compr Psychiatry. 37 (1): 43–51. doi:10.1016/S0010-440X(96)90050-4. PMID 8770526. الوسيط
|CitationClass=تم تجاهله (مساعدة) - Linehan, Marsha (1993). Cognitive-behavioral treatment of borderline personality disorder. New York: Guilford Press. صفحة 49. ISBN 0-89862-183-6. الوسيط
|CitationClass=تم تجاهله (مساعدة)CS1 maint: ref=harv (link) - Netherton, S.D.; Holmes, D.; Walker, C.E. (1999). Child and Adolescent Psychological Disorders: Comprehensive Textbook. New York, NY: Oxford University Press. الوسيط
|CitationClass=تم تجاهله (مساعدة) - Miller AL, Muehlenkamp JJ, Jacobson CM (July 2008). "Fact or fiction: diagnosing borderline personality disorder in adolescents". Clin Psychol Rev. 28 (6): 969–81. doi:10.1016/j.cpr.2008.02.004. PMID 18358579. الوسيط
|CitationClass=تم تجاهله (مساعدة)صيانة CS1: أسماء متعددة: قائمة المؤلفون (link) - Zanarini MC, Frankenburg FR, Dubo ED; et al. (December 1998). "Axis I comorbidity of borderline personality disorder". Am J Psychiatry. 155 (12): 1733–9. PMID 9842784. مؤرشف من الأصل في 16 ديسمبر 2019. الوسيط
|CitationClass=تم تجاهله (مساعدة); Explicit use of et al. in:|مؤلف=(مساعدة)صيانة CS1: أسماء متعددة: قائمة المؤلفون (link) - Leichsenring F, Leibing E, Kruse J, New AS, Leweke F (January 2011). "Borderline personality disorder". Lancet. 377 (9759): 74–84. doi:10.1016/S0140-6736(10)61422-5. PMID 21195251. الوسيط
|CitationClass=تم تجاهله (مساعدة)صيانة CS1: أسماء متعددة: قائمة المؤلفون (link) - "CG78 Borderline personality disorder (BPD): NICE guideline". Nice.org.uk. 28 January 2009. مؤرشف من الأصل في 3 فبراير 2014. اطلع عليه بتاريخ 12 أغسطس 2009. الوسيط
|CitationClass=تم تجاهله (مساعدة) - Paris J (June 2004). "Is hospitalization useful for suicidal patients with borderline personality disorder?". J. Pers. Disord. 18 (3): 240–7. doi:10.1521/pedi.18.3.240.35443. PMID 15237044. الوسيط
|CitationClass=تم تجاهله (مساعدة) - Zanarini MC (November 2009). "Psychotherapy of borderline personality disorder". Acta Psychiatr Scand. 120 (5): 373–7. doi:10.1111/j.1600-0447.2009.01448.x. PMID 19807718. الوسيط
|CitationClass=تم تجاهله (مساعدة) - Gabbard, G.O. (2014). Psychodynamic psychiatry in clinical practice. 5th Edition. American Psychiatric Publishing: Washington, D.C., pp. 445-448.
- Linehan MM, Comtois KA, Murray AM; et al. (July 2006). "Two-year randomized controlled trial and follow-up of dialectical behavior therapy vs therapy by experts for suicidal behaviors and borderline personality disorder". Arch. Gen. Psychiatry. 63 (7): 757–66. doi:10.1001/archpsyc.63.7.757. PMID 16818865. الوسيط
|CitationClass=تم تجاهله (مساعدة); Explicit use of et al. in:|مؤلف=(مساعدة)صيانة CS1: أسماء متعددة: قائمة المؤلفون (link) - Paris J (February 2010). "Effectiveness of different psychotherapy approaches in the treatment of borderline personality disorder". Curr Psychiatry Rep. 12 (1): 56–60. doi:10.1007/s11920-009-0083-0. PMID 20425311. الوسيط
|CitationClass=تم تجاهله (مساعدة) - Sachdeva, S., Goldman, G., Mustata, G., Deranja, E., & Gregory, R. J. (2013). Naturalistic outcomes of evidence-based therapies for borderline personality disorder at a university clinic: A quasi-randomized trial. Journal of the American Psychoanalytic Association, 61, 578-584.
- Blechner, Mark J. (July 1994). "Projective identification, countertransference, and the 'maybe-me'". Contemporary Psychoanalysis. 30 (3): 619–30. مؤرشف من الأصل في 13 ديسمبر 2018. الوسيط
|CitationClass=تم تجاهله (مساعدة) - >Tang YY, Posner MI (Jan 2013). "Special issue on mindfulness neuroscience". Social Cognitive & Affective Neuroscience. 8 (1): 1–3. doi:10.1093/scan/nss104. الوسيط
|CitationClass=تم تجاهله (مساعدة) - Posner MI, Tang YY, Lynch G (2014). "Mechanisms of white matter change induced by meditation training". Frontiers in Psychology. 5 (1220): 297–302. doi:10.3389/fpsyg.2014.01220. الوسيط
|CitationClass=تم تجاهله (مساعدة)صيانة CS1: أسماء متعددة: قائمة المؤلفون (link) - Chafos VH, Economou P (July 2014). "Beyond Borderline Personality Disorder: The Mindful Brain". Social Work. 59 (4): 297–302. doi:10.1093/sw/swu030. الوسيط
|CitationClass=تم تجاهله (مساعدة) - Sachse S, Keville S, Feigenbaum J (Jun 2011). "A feasibility study of mindfulness-based cognitive therapy for individuals with borderline personality disorder". Psychology and Psychotherapy. 84 (2): 184–200. doi:10.1348/147608310X516387. الوسيط
|CitationClass=تم تجاهله (مساعدة)صيانة CS1: أسماء متعددة: قائمة المؤلفون (link) - Binks CA, Fenton M, McCarthy L, Lee T, Adams CE, Duggan C (2006). Binks, Claire (المحرر). "Pharmacological interventions for people with borderline personality disorder". Cochrane Database of Systematic Reviews (1): CD005653. doi:10.1002/14651858.CD005653. PMID 16437535. الوسيط
|CitationClass=تم تجاهله (مساعدة)صيانة CS1: أسماء متعددة: قائمة المؤلفون (link) - "Aripiprazole in the treatment of patients with borderline personality disorder: a double-blind, placebo-controlled study". مؤرشف من الأصل في 16 مايو 2019. اطلع عليه بتاريخ 10 أكتوبر 2014. الوسيط
|CitationClass=تم تجاهله (مساعدة) - "The UK National Institute for Health and Clinical Excellence (NICE) 2009 clinical guideline for the treatment and management of BPD" (PDF). مؤرشف من الأصل (PDF) في 11 مارس 2013. اطلع عليه بتاريخ 06 سبتمبر 2011. الوسيط
|CitationClass=تم تجاهله (مساعدة) - Johnson, R. Skip (26 July 2014). "Treatment of Borderline Personality Disorder". BPDFamily.com. مؤرشف من الأصل في 29 مايو 2019. اطلع عليه بتاريخ 05 أغسطس 2014. الوسيط
|CitationClass=تم تجاهله (مساعدة) - Zanarini MC, Frankenburg FR, Khera GS, Bleichmar J (2001). "Treatment histories of borderline inpatients". Compr Psychiatry. 42 (2): 144–50. doi:10.1053/comp.2001.19749. PMID 11244151. الوسيط
|CitationClass=تم تجاهله (مساعدة)صيانة CS1: أسماء متعددة: قائمة المؤلفون (link) - Zanarini MC, Frankenburg FR, Hennen J, Silk KR (January 2004). "Mental health service utilization by borderline personality disorder patients and Axis II comparison subjects followed prospectively for 6 years". J Clin Psychiatry. 65 (1): 28–36. doi:10.4088/JCP.v65n0105. PMID 14744165. الوسيط
|CitationClass=تم تجاهله (مساعدة)صيانة CS1: أسماء متعددة: قائمة المؤلفون (link) - Fallon P (August 2003). "Travelling through the system: the lived experience of people with borderline personality disorder in contact with psychiatric services". J Psychiatr Ment Health Nurs. 10 (4): 393–401. doi:10.1046/j.1365-2850.2003.00617.x. PMID 12887630. الوسيط
|CitationClass=تم تجاهله (مساعدة) - Links, Paul S.; Bergmans, Yvonne; Warwar, Serine H. (July 1, 2004). "Assessing Suicide Risk in Patients With Borderline Personality Disorder". Psychiatric Times. مؤرشف من الأصل في 12 يونيو 2018. الوسيط
|CitationClass=تم تجاهله (مساعدة) - Lieb K, Zanarini MC, Schmahl C, Linehan MM, Bohus M (2004). "Borderline personality disorder". Lancet. 364 (9432): 453–61. doi:10.1016/S0140-6736(04)16770-6. PMID 15288745. الوسيط
|CitationClass=تم تجاهله (مساعدة)صيانة CS1: أسماء متعددة: قائمة المؤلفون (link) - Zanarini MC, Frankenburg FR, Hennen J, Silk KR (February 2003). "The longitudinal course of borderline psychopathology: 6-year prospective follow-up of the phenomenology of borderline personality disorder". Am J Psychiatry. 160 (2): 274–83. doi:10.1176/appi.ajp.160.2.274. PMID 12562573. الوسيط
|CitationClass=تم تجاهله (مساعدة)صيانة CS1: أسماء متعددة: قائمة المؤلفون (link) - Zanarini MC, Frankenburg FR, Reich DB, Fitzmaurice G (June 2010). "Time to attainment of recovery from borderline personality disorder and stability of recovery: A 10-year prospective follow-up study". Am J Psychiatry. 167 (6): 663–7. doi:10.1176/appi.ajp.2009.09081130. PMC 3203735. PMID 20395399. ضع ملخصا – McLean Hospital (April 15, 2010). الوسيط
|CitationClass=تم تجاهله (مساعدة)صيانة CS1: أسماء متعددة: قائمة المؤلفون (link) - Hirsh JB, Quilty LC, Bagby RM, McMain SF (August 2012). "The relationship between agreeableness and the development of the working alliance in patients with borderline personality disorder". J. Pers. Disord. 26 (4): 616–27. doi:10.1521/pedi.2012.26.4.616. PMID 22867511. الوسيط
|CitationClass=تم تجاهله (مساعدة)صيانة CS1: أسماء متعددة: قائمة المؤلفون (link) - Zanarini MC, Frankenburg FR, Hennen J, Reich DB, Silk KR (February 2005). "Psychosocial functioning of borderline patients and axis II comparison subjects followed prospectively for six years". J. Pers. Disord. 19 (1): 19–29. doi:10.1521/pedi.19.1.19.62178. PMID 15899718. الوسيط
|CitationClass=تم تجاهله (مساعدة)صيانة CS1: أسماء متعددة: قائمة المؤلفون (link) - Swartz, Marvin; Blazer, Dan; George, Linda; Winfield, Idee (1990). "Estimating the Prevalence of Borderline Personality Disorder in the Community". Journal of Personality Disorders. 4 (3): 257. doi:10.1521/pedi.1990.4.3.257. الوسيط
|CitationClass=تم تجاهله (مساعدة) - اضطراب الشخصية الحدية في موقع نفساني دوت كوم نسخة محفوظة 12 مايو 2017 على موقع واي باك مشين.
- Skodol AE, Bender DS (2003). "Why are women diagnosed borderline more than men?". Psychiatr Q. 74 (4): 349–60. doi:10.1023/A:1026087410516. PMID 14686459. الوسيط
|CitationClass=تم تجاهله (مساعدة) - Korzekwa MI, Dell PF, Links PS, Thabane L, Webb SP (2008). "Estimating the prevalence of borderline personality disorder in psychiatric outpatients using a two-phase procedure". Compr Psychiatry. 49 (4): 380–6. doi:10.1016/j.comppsych.2008.01.007. PMID 18555059. الوسيط
|CitationClass=تم تجاهله (مساعدة)صيانة CS1: أسماء متعددة: قائمة المؤلفون (link) - Grant BF, Chou SP, Goldstein RB; et al. (April 2008). "Prevalence, correlates, disability, and comorbidity of DSM-IV borderline personality disorder: results from the Wave 2 National Epidemiologic Survey on Alcohol and Related Conditions". J Clin Psychiatry. 69 (4): 533–45. doi:10.4088/JCP.v69n0404. PMC 2676679. PMID 18426259. الوسيط
|CitationClass=تم تجاهله (مساعدة); Explicit use of et al. in:|مؤلف=(مساعدة)صيانة CS1: أسماء متعددة: قائمة المؤلفون (link) - "أصحاب الشخصية الحدية يعانون من تذبذب مزاجي واندفاعية تقود إلى الانتحار وسلوكيات خطيرة!!". صحيفة الرياض الإلكترونية. 6 أكتوبر 2006م. مؤرشف من الأصل في 23 سبتمبر 2017. الوسيط
|CitationClass=تم تجاهله (مساعدة) - Kluft, Richard; Goodwin, Jean (1985). Childhood Antecedents of Multiple Personality Disorder: Credibility Problems in Multiple Personality Disorder Patients and Abused Children. American Psychiatric Publishing, Inc. صفحة 2. الوسيط
|CitationClass=تم تجاهله (مساعدة) - Startup, M. (November 1999). "Autobiographical memory and dissociation in borderline personality disorder". Psychological Medicine. 29 (6): 1397–1404. doi:10.1017/S0033291799001208. PMID 10616945. مؤرشف من الأصل في 20 أغسطس 2016. الوسيط
|CitationClass=تم تجاهله (مساعدة) - Kremers IP, Spinhoven P, Van der Does AJ (March 2004). "Autobiographical memory in depressed and non-depressed patients with borderline personality disorder". Br J Clin Psychol. 43 (Pt 1): 17–29. doi:10.1348/014466504772812940. PMID 15005904. الوسيط
|CitationClass=تم تجاهله (مساعدة)صيانة CS1: أسماء متعددة: قائمة المؤلفون (link) - Linehan, Marsha (1993). Cognitive-behavioral treatment of borderline personality disorder. New York: Guilford Press. صفحات 17. ISBN 0-89862-183-6. الوسيط
|CitationClass=تم تجاهله (مساعدة)CS1 maint: ref=harv (link) - Kluft, Richard; Goodwin, Jean (1985). Childhood Antecedents of Multiple Personality Disorder: Credibility Problems in Multiple Personality Disorder Patients and Abused Children. American Psychiatric Publishing, Inc. صفحة 3. الوسيط
|CitationClass=تم تجاهله (مساعدة) - Paris J (2008). Treatment of Borderline Personality Disorder. A Guide to Evidence-Based Practice. The Guilford Press. صفحة 21. الوسيط
|CitationClass=تم تجاهله (مساعدة) - American Psychiatric Association (2000). Diagnostic and Statistical Manual of Mental Disorders (الطبعة 4th). American Psychiatric Association. ISBN 978-0-89042-025-6. الوسيط
|CitationClass=تم تجاهله (مساعدة)CS1 maint: ref=harv (link) - Linehan, Marsha (1993). Cognitive-behavioral treatment of borderline personality disorder. New York: Guilford Press. صفحات 14-15. ISBN 0-89862-183-6. الوسيط
|CitationClass=تم تجاهله (مساعدة)CS1 maint: ref=harv (link) - Aviram RB, Brodsky BS, Stanley B (2006). "Borderline personality disorder, stigma, and treatment implications". Harv Rev Psychiatry. 14 (5): 249–56. doi:10.1080/10673220600975121. PMID 16990170. الوسيط
|CitationClass=تم تجاهله (مساعدة)صيانة CS1: أسماء متعددة: قائمة المؤلفون (link) - Chapman, Alexander L.; Gratz, Kim L. (2007). The Borderline Personality Disorder Survival Guide: Everything You Need to Know About Living with BPD. Oakland, CA: New Harbinger Publications. صفحات 31–32. ISBN 978-1-57224-507-5. الوسيط
|CitationClass=تم تجاهله (مساعدة)CS1 maint: ref=harv (link) - Hinshelwood RD (March 1999). "The difficult patient. The role of 'scientific psychiatry' in understanding patients with chronic schizophrenia or severe personality disorder". Br J Psychiatry. 174 (3): 187–90. doi:10.1192/bjp.174.3.187. PMID 10448440. الوسيط
|CitationClass=تم تجاهله (مساعدة) - Cleary M, Siegfried N, Walter G (September 2002). "Experience, knowledge and attitudes of mental health staff regarding clients with a borderline personality disorder". Int J Ment Health Nurs. 11 (3): 186–91. doi:10.1046/j.1440-0979.2002.00246.x. PMID 12510596. الوسيط
|CitationClass=تم تجاهله (مساعدة)صيانة CS1: أسماء متعددة: قائمة المؤلفون (link) - Deans C, Meocevic E (2006). "Attitudes of registered psychiatric nurses towards patients diagnosed with borderline personality disorder". Contemp Nurse. 21 (1): 43–9. doi:10.5172/conu.2006.21.1.43. PMID 16594881. الوسيط
|CitationClass=تم تجاهله (مساعدة) - Krawitz R (July 2004). "Borderline personality disorder: attitudinal change following training". Aust N Z J Psychiatry. 38 (7): 554–9. doi:10.1111/j.1440-1614.2004.01409.x. PMID 15255829. الوسيط
|CitationClass=تم تجاهله (مساعدة) - Nehls N (1998). "Borderline personality disorder: gender stereotypes, stigma, and limited system of care". Issues Ment Health Nurs. 19 (2): 97–112. doi:10.1080/016128498249105. PMID 9601307. الوسيط
|CitationClass=تم تجاهله (مساعدة) - Vaillant GE (1992). "The beginning of wisdom is never calling a patient a borderline; or, the clinical management of immature defenses in the treatment of individuals with personality disorders". J Psychother Pract Res. 1 (2): 117–34. PMC 3330289. PMID 22700090. الوسيط
|CitationClass=تم تجاهله (مساعدة) - Nehls N (August 1999). "Borderline personality disorder: the voice of patients". Res Nurs Health. 22 (4): 285–93. doi:10.1002/(SICI)1098-240X(199908)22:4<285::AID-NUR3>3.0.CO;2-R. PMID 10435546. الوسيط
|CitationClass=تم تجاهله (مساعدة) - Bogod, Elizabeth. "Borderline Personality Disorder Label Creates Stigma". مؤرشف من الأصل في 2 مايو 2015. اطلع عليه بتاريخ 2013. الوسيط
|CitationClass=تم تجاهله (مساعدة); تحقق من التاريخ في:|تاريخ الوصول=(مساعدة) - "Understanding Borderline Personality Disorder". Treatment and Research Advancements Association for Personality Disorder. 2004. مؤرشف من الأصل في 26 يونيو 2015. الوسيط
|CitationClass=تم تجاهله (مساعدة) - Robinson, David J. (2003). Reel Psychiatry: Movie Portrayals of Psychiatric Conditions. Port Huron, Michigan: Rapid Psychler Press. صفحة 234. ISBN 1-894328-07-8. الوسيط
|CitationClass=تم تجاهله (مساعدة) - Wedding D, Boyd MA, Niemiec RM (2005). Movies and Mental Illness: Using Films to Understand Psychopathology. Cambridge, MA: Hogrefe. صفحة 59. ISBN 0-88937-292-6. الوسيط
|CitationClass=تم تجاهله (مساعدة)صيانة CS1: أسماء متعددة: قائمة المؤلفون (link)
كتب
- Bateman, A. W. y Fonagy, P.: Mentalization-based treatment of BPD, Journal of Personality Disorders, febrero 2004 18 (1): 36-51.
- Clarkin, J. F.; Marziali, E. y Munroe-Blum, H.: Borderline Personality Disorder: Clinical and Empirical Perspectives. Guilford press, 1992 "MARZIALI"+"T+he+Etiology+of+Borderline+Personality+Disorder:+..."+&ots=i1e-dJqHtm&sig=MEb6vlGtA_jMXOBIRZqpccvunY0#PPR12,M1 على جوجل كتب ISBN 0-89862-262-X
- Fonagy, P.; Bateman, A. W.: (abril 2006). Mechanisms of change in mentalization-based treatment of BPD. J. Clin Psychol, abril 2006, 62 (4): 411-30.
- Horowitz, M. J.: Psychotherapy for Borderline Personality: Focusing on Object Relations, The American Journal of Psychiatry, mayo 2006, 163 (5): 944-5.
- Linehan, M. M.; Tutek, D. A.; Heard, H.L. y otros: Interpersonal Outcome of Cognitive Behavioral Treatment for Chronically Suicidal Borderline Patients. The American Journal of Psychiatry, diciembre 1994 151 (12): 1771.
- Mahari, A. J.: The legacy of abandonment in borderline personality disorder, Phoenix Rising Publications[وصلة مكسورة], junio 2006 ISBN 1-4276-1453-9
- Reynolds, S.; Lindenboim, N.; Comtois, K. A., y otros: Risky Assessments: Participant Suicidality and Distress Associated with Research Assessments in a Treatment Study of Suicidal BehavioR. Suicide & Life - Threatening Behavior, junio 2005 36 (1): 19.
- Twemlow, S.; Fonagy, P.; Sacco, F.: A developmental approach to mentalizing communities: I. A model for social changE. Bulletin of the Menninger Clinic, 2005 69 (4): 265.
- Vinocur, D.: Mental representations, interpersonal functioning and childhood trauma in personality disorders. Long Island University: The Brooklyn Center, 2005 AAT 3195364.
- Zeigler-Hill, V.; y Abraham, P.: Borderline personality features: Instability of self-esteem and affec. Journal of Social & Clinical Psychology, junio 2006 25 (6): 668-687.
- بوابة علم النفس
- بوابة طب
