التهاب الزغابات مجهول السبب
التهاب الزُغابات مجهول السَبب (بالإنجليزية: Villitis of unknown etiology) وَيُدعى اختصاراً VUE، وهوَ التهاب مَجهول السَبب يَحدُث في الزغابات المشيمية، وَيرتبط هذا الالتهاب مَع الإجهاض التلقائي للجنين وَوزن ولادة الجنين[1] وَيتكرر في حالات الحَمل اللاحقة.[2]
| التهاب الزُغابات مجهول السَبب | |
|---|---|
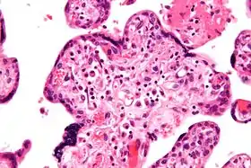
![]() صورة مجهرية لالتهاب الزُغابات مجهول السَبب، الصبغة المُستعملة هي صبغة الهيماتوكسيلين والإيوسين صورة مجهرية لالتهاب الزُغابات مجهول السَبب، الصبغة المُستعملة هي صبغة الهيماتوكسيلين والإيوسين | |
| معلومات عامة | |
| من أنواع | زغابات مشيمية |
علم أمراض الانسجة
حَسب علم أمراض الانسجة فَإنَّ التهاب الزُغابات مجهول السَبب يتميز بارتشاح لمفاوي مجهول السَبب، وَيتميز بعدم تواجد الخلايا البلازمية، حيثُ أنَّ وجود الخلايا البلازمية أثناء الالتهاب يُدل على أنَّ سَبب الالتهاب هوَ العدوى، مِثل العدوى بالفيروس مضخم الخلايا.
انظر أيضاً
صُور إضافية
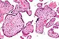
التهاب الزغابات مجهول السبب (تكبير مُتوسط)
التهاب الزغابات مجهول السبب (تكبير مُرتفع)
المراجع
- Redline, RW. (Oct 2007). "Villitis of unknown etiology: noninfectious chronic villitis in the placenta". Hum Pathol. 38 (10): 1439–46. doi:10.1016/j.humpath.2007.05.025. PMID 17889674. الوسيط
|CitationClass=تم تجاهله (مساعدة) - Feeley L, Mooney EE (2010). "Villitis of unknown aetiology: correlation of recurrence with clinical outcome". J Obstet Gynaecol. 30 (5): 476–9. doi:10.3109/01443611003802339. PMID 20604650. الوسيط
|CitationClass=تم تجاهله (مساعدة)
- بوابة طب
This article is issued from Wikipedia. The text is licensed under Creative Commons - Attribution - Sharealike. Additional terms may apply for the media files.
