التهاب الساقط المزمن
التِهاب السَّاقِط المُزمن[1] (بالإنجليزية: Chronic deciduitis) أَو التِهاب الخلايا البلازمية الساقِطي هوَ التِهاب مُزمن يَحدث أثناء الحمل وَيُؤثر على الأنسجة اللحمية لبطانة الرحم (الساقِط).
| التهاب السَّاقِط المُزمن | |
|---|---|
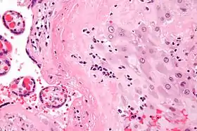
![]() صورة مجهرية لالتهاب الساقط المُزمن تَظهر فيها الخلايا البلازمية، الصبغة المُستعملة هي صبغة الهيماتوكسيلين والإيوسين صورة مجهرية لالتهاب الساقط المُزمن تَظهر فيها الخلايا البلازمية، الصبغة المُستعملة هي صبغة الهيماتوكسيلين والإيوسين | |
| معلومات عامة | |
| من أنواع | التهاب بطانة الرحم |
يَرتبط حدوث الالتهاب مَع الوِلادة المُبكرة،[2] وَيَعتمد تَشخيص الالتهاب بشكل أساسي على وجود الخلايا البلازمية.[3]
انظر أيضاً
المراجع
- "ترجمة و معنى كلمة chronic deciduitis في قاموس المعاني. قاموس عربي انجليزي مصطلحات صفحة 1". مؤرشف من الأصل في 02 يناير 2017. اطلع عليه بتاريخ 30 يوليو 2016. الوسيط
|CitationClass=تم تجاهله (مساعدة); تحقق من التاريخ في:|تاريخ أرشيف=(مساعدة) - Edmondson, N.; Bocking, A.; Machin, G.; Rizek, R.; Watson, C.; Keating, S. "The prevalence of chronic deciduitis in cases of preterm labor without clinical chorioamnionitis". Pediatr Dev Pathol. 12 (1): 16–21. doi:10.2350/07-04-0270.1. PMID 18171100. الوسيط
|CitationClass=تم تجاهله (مساعدة) - Khong, TY.; Bendon, RW.; Qureshi, F.; Redline, RW.; Gould, S.; Stallmach, T.; Lipsett, J.; Staples, A. (Mar 2000). "Chronic deciduitis in the placental basal plate: definition and interobserver reliability". Hum Pathol. 31 (3): 292–5. PMID 10746670. الوسيط
|CitationClass=تم تجاهله (مساعدة)
- بوابة طب
This article is issued from Wikipedia. The text is licensed under Creative Commons - Attribution - Sharealike. Additional terms may apply for the media files.
