التهاب بطانة الرحم
التهاب بطانة الرحم هو التهابٌ في البطانة الداخلية للرحم (بطانة الرحم).[6] تحدثُ عددٌ من الأعراض وتتضمن حمًى وألمًا بطنيًا سفليًا ونزيفًا أو إفرازًا مهبليًا غيرُ طبيعي.[3][4] يُعتبر السبب الأكثر شيوعًا لحمى النفاس.[3][7] كما يُعتبر جزءًا من أمراض التهاب الحوض.[8]
| التهاب بطانة الرحم | |
|---|---|
| Endometritis | |
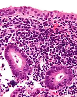
![]() صورةٌ مجهرية تُظهر التهابًا حادًا في بطانة الرحم مع خلايًا بلازمية مُميزة للحالة، كما تُوجد خلايًا مُتعادلة مُبعثرة. الصُورة مصبوغة بصبغة الهيماتوكسيلين واليوزين (H&E). صورةٌ مجهرية تُظهر التهابًا حادًا في بطانة الرحم مع خلايًا بلازمية مُميزة للحالة، كما تُوجد خلايًا مُتعادلة مُبعثرة. الصُورة مصبوغة بصبغة الهيماتوكسيلين واليوزين (H&E). | |
| تسميات أخرى | التهاب بطانة الرحم بعد الولادة، التهاب بطانة وعضلة الرحم |
| معلومات عامة | |
| الاختصاص | طب النساء، طب التوليد |
| الأنواع | حاد أو مزمن[1] |
| الأسباب | |
| الأسباب | عداوى[1] |
| عوامل الخطر | الإجهاض، الحيض، الولادة، تركيب لولب رحمي، التشطيف[1][2] |
| المظهر السريري | |
| الأعراض | حمى وألم بطني سفلي ونزيف أو إفراز مهبلي غير طبيعي.[3] |
| الإدارة | |
| العلاج | مضادات حيوية[3] |
| المآل | جيدًا مع العلاج[4] |
| الوبائيات | |
| انتشار المرض | 2% (بعد الولادة المهبلية)، 10% بعد الولادة القيصرية المُقررة)[5] |
| التاريخ | |
| وصفها المصدر | قاموس موسوعة سطح المكتب |
يُوجد نوعان من التهاب بطانة الرحم، حادٌ ومزمنٌ.[1] يحدثُ النوع الحاد عادةً بسبب عدوًى تمرُ عبر عنق الرحم نتيجةً للإجهاض أو خلال الحيض أو بعد الولادة، أو نتيجةً للتشطيف أو تركيب لولبٍ رحمي.[1][2] يُوجد عددٌ من عوامل خطر حدوث التهاب بطانة الرَّحم بعد الولادة، وتتضمن الولادة القيصرية وتمزق الأغشية المطول.[3] أما النوع المُزمن، فيحدثُ عادةً بعد انقطاع الحيض.[1] يُمكن تأكيد حدوث التهاب بطانة الرحم عبر أخذ خزعةٍ بطانية رحمية،[2] كما قد يكون التصوير بالأمواج فوق الصوتية مفيدًا لتأكيد عدم وجود أنسجةٍ متبقية في الرحم.[4]
يكون العلاج عادةً باستعمال مضاداتٍ حيوية.[3] تتضمن توصيات علاج التهاب بطانة الرحم بعد الولادة استعمال الكليندامايسين مع الجنتاميسين.[9] كما يُوصى أيضًا بفحص وعلاج الأشخاص المُعرضين لخطر حدوث مرض السيلان وداء المتدثرات.[10] قد يُعالج النوع المُزمن من المرض باستعمال الدوكسيسايكلين.[10] عادةً ما يكون مآلُ المرض جيدًا مع العلاج.[4]
يحدثُ التهاب بطانة الرحم بمعدل 2% بعد الولادة المهبلية، و10% بعد الولادة القيصرية المُجدولة، و30% مع تمزق الأغشية قبل الولادة القيصرية، وهذا حال عدم أخذ المضادات الحيوية الوقائية.[5] يُستعمل أحيانًا مُصطلح "التهاب بطانة وعضلة الرحم" إذا كان هُناك التهابٌ في بطانة وعضلة الرحم.[11] يُعتبر التهاب بطانة الرحم شائعًا في بعض الحيوانات مثل البقرة.[12]
الأعراض
تحدثُ عددٌ من الأعراض وتتضمن حمًى وألمًا بطنيًا سفليًا ونزيفًا أو إفرازًا مهبليًا غيرُ طبيعي.[3][4]
الأنواع
التهاب بطانة الرحم الحاد
يحدثُ التهاب بطانة الرحم الحاد عادةً بسبب عدوًى، ويُعتقد أنَّ المُسببات المعزولة غالبًا تكون بسبب عمليات الإجهاض المُعرضة للخطر، والولادة، والأجهزة الطبية، وبقاء أجزاء صغيرة من المشيمة.[13] لا تُوجد أدلةٌ كافية حول فائدة استخدام المُضادات الحيوية الوقائية في منع التهاب بطانة الرحم بعد الإزالة اليدوية للمشيمة في الولادة المهبلية.[14] عند إجراء فحصٍ نسيجي، فإنه عادةً ما تكون نسيج بطانة الرحم مرتشحًا بالخلايا المُتعادلة. عادةً ما تتضمن أعراض النوع الحاد حمًى مرتفعة وإفرازاتٍ مهبلية قيحية. يكون الحيض غزيرًا بعد التهاب بطانة الرحم الحاد، وإذا كانت الحالة بسيطة فإنها تُشفى خلال أسبوعين من استعمال المضادات الحيوية الكليندامايسين والجنتاميسين وريديًا.
يرتبطُ النوع الحاد في بعض السكان مع المفطورة التناسلية ومرض التهاب الحوض.[15][16]
التهاب بطانة الرحم المزمن
يتميزُ النوع المزمن بوجود خلايًا بلازمية في اللُحمة. قد تُوجد أيضًا خلايًا لمفية وخلايًا حمضية وجريبات لفمية، ولكن في حال عدم وجود الخلايا البلازمية، فإنها تعتبر غير كافيةٍ للتشخيص نسيجيًا. قد تظهرُ في حوالي 10% من جميع خزعات بطانة الرحم المأخوذة بسبب نزيفٍ غير مُنتظم. تُوجد عددٌ من الكائنات الدقيقة المُسببة، وأكثرها شيوعًا المتدثرة التراخومية (داء المتدثرات)، النيسرية البنية (السيلان)، العقدية اللبنية (عقدية قاطعة للدر)، المفطورة البشرية، السل، وفيروساتٍ مُختلفة. تستطيع مُعظم هذه المُسببات إحداث مرض التهاب الحوض المزمن. قد يكون لدى الأشخاص الذين يعانون من التهاب بطانة الرحم المزمن ورمٌ كامنٌ في عنق الرحم أو بطانة الرحم (كما أنَّ الأسباب المُعدية أكثر شيوعًا). يكون العلاج بالمضادات الحيوية كافيًا للشفاء في معظم الحالات (اعتمادًا على السبب الكامن)، مع اختفاءٍ تامٍ سريع للأعراض خلال 2-3 أيام فقط.
يحدثُ التهاب بطانة الرحم الحبيبي المزمن عادةً بسبب السل. يكون الورم الحبيبي صغيرًا ومتناثرًا ودون تجبنٍ، ويحتاج حوالي أسبوعين للحدوث، وبما أنَّ بطانة الرحم تنفصل كل 4 أسابيع، فإنَّ الورم الحبيبي يكون ضعيف التشكل.
لدى البشري، يُعتبر تقيح الرحم (وهو أيضًا حالةٌ بيطريةٌ هامة) شكلًا من أشكال التهاب بطانة الرحم المُزمن الذي يظهر لدى النساء الكبار في السن، مما يؤدي إلى تضيقٍ في عنق الرحم وتراكم الإفرازات والعدوى. تتضمن أعراض التهاب بطانة الرحم المزمن إفرازاتٍ ملطخةٍ بالدم ولكن في تقيح الرحم يشكو المريض من ألمٍ بطني سفلي.
تقيح الرحم
مقالة مفصلة: تقيح الرحم
يحدثُ في هذه الحالة تجمعٌ للقيح في تجويف الرحم،[17] ويجب أن يكون هُناك عدوًى مع انسدادٍ في عنق الرحم. تتضمن الأعراض والعلامات حدوث ألمٍ بطنيٍ سفلي (ألم فوق العانة) وحمًى ورجفان وغيرها. تُعالج بالمضادات الحيوية، وفقًا لنتائج المستنبت والحساسية.[18]
الهوامش
1. الْتِهابُ بِطانَةِ الرَّحِم (بالإنجليزية: Endometritis)،[ِ 1][ِ 2][ِ 3][ِ 4] ويُسمى أيضًا: التهاب بطانة الرحم بعد الولادة أو التهاب بطانة الرحم التالي الولادة (بالإنجليزية: Postpartum endometritis) أو التهاب بطانة وعضلة الرحم[ِ 5] (بالإنجليزية: endomyometritis).
انظر أيضًا
المراجع
باللغة الإنجليزية
- Dallenbach-Hellweg, Gisela; Schmidt, Dietmar; Dallenbach, Friederike (2010). Atlas of Endometrial Histopathology (باللغة الإنجليزية). Springer Science & Business Media. صفحة 135. ISBN 9783642015410. مؤرشف من الأصل في 12 سبتمبر 2018. الوسيط
|CitationClass=تم تجاهله (مساعدة) - Lobo, Rogerio A.; Gershenson, David M.; Lentz, Gretchen M.; Valea, Fidel A. (2016). Comprehensive Gynecology E-Book (باللغة الإنجليزية). Elsevier Health Sciences. صفحة 548. ISBN 9780323430036. مؤرشف من الأصل في 12 سبتمبر 2018. الوسيط
|CitationClass=تم تجاهله (مساعدة) - "Cover of Hacker & Moore's Essentials of Obstetrics and Gynecology". Hacker & Moore's essentials of obstetrics and gynecology (الطبعة 6). Elsevier Canada. 2015. صفحات 276–290. ISBN 9781455775583. الوسيط
|CitationClass=تم تجاهله (مساعدة) - Ferri, Fred F. (2014). Ferri's Clinical Advisor 2015 E-Book: 5 Books in 1 (باللغة الإنجليزية). Elsevier Health Sciences. صفحة 423. ISBN 9780323084307. مؤرشف من الأصل في 12 سبتمبر 2018. الوسيط
|CitationClass=تم تجاهله (مساعدة) - Gabbe, Steven G. (2012). Obstetrics: Normal and Problem Pregnancies (باللغة الإنجليزية). Elsevier Health Sciences. صفحة 1146. ISBN 978-1437719352. مؤرشف من الأصل في 24 مارس 2020. الوسيط
|CitationClass=تم تجاهله (مساعدة) - Crum, Christopher P.; Lee, Kenneth R.; Nucci, Marisa R. (2011). Diagnostic Gynecologic and Obstetric Pathology E-Book (باللغة الإنجليزية). Elsevier Health Sciences. صفحة 430. ISBN 978-1455708956. مؤرشف من الأصل في 12 سبتمبر 2018. الوسيط
|CitationClass=تم تجاهله (مساعدة) - Arora, Mala; Walavalkar, Rajalaxmi (2013). World Clinics: Obstetrics & Gynecology: Postpartum Hemorrhage (باللغة الإنجليزية). JP Medical Ltd. صفحة 237. ISBN 9789350904244. مؤرشف من الأصل في 12 سبتمبر 2018. الوسيط
|CitationClass=تم تجاهله (مساعدة) - "Sexually Transmitted Diseases & Pelvic Infections". Current diagnosis & treatment : obstetrics & gynecology (الطبعة 11). McGraw-Hill Education. 2012. صفحة Chapter 43. ISBN 978-0071638562. الوسيط
|CitationClass=تم تجاهله (مساعدة) - Mackeen, AD; Packard, RE; Ota, E; Speer, L (2 فبراير 2015). "Antibiotic regimens for postpartum endometritis". The Cochrane Database of Systematic Reviews (2): CD001067. doi:10.1002/14651858.CD001067.pub3. PMID 25922861. الوسيط
|CitationClass=تم تجاهله (مساعدة) - "8". Williams Gynecology (الطبعة 3). McGraw Hill Professional. 2016. ISBN 9780071849081. الوسيط
|CitationClass=تم تجاهله (مساعدة) - Hubert Guedj; Baggish, Michael S.; Valle, Rafael Heliodoro (2007). Hysteroscopy: visual perspectives of uterine anatomy, physiology, and pathology. Hagerstwon, MD: Lippincott Williams & Wilkins. صفحات 488. ISBN 978-0-7817-5532-0. الوسيط
|CitationClass=تم تجاهله (مساعدة) - Noakes, David E. (2009). Arthur's Veterinary Reproduction and Obstetrics E-Book (باللغة الإنجليزية). Elsevier Health Sciences. صفحة 411. ISBN 9780702039904. مؤرشف من الأصل في 24 مارس 2020. الوسيط
|CitationClass=تم تجاهله (مساعدة) - "Endometritis - Pregnancy Articles". pregmed.org. 21 نوفمبر 2013. مؤرشف من الأصل في 2 يونيو 2019. اطلع عليه بتاريخ 11 أبريل 2018. الوسيط
|CitationClass=تم تجاهله (مساعدة) - Chongsomchai, C; Lumbiganon, P; Laopaiboon, M (أكتوبر 20, 2014). "Prophylactic antibiotics for manual removal of retained placenta in vaginal birth". The Cochrane Database of Systematic Reviews. 10 (10): CD004904. doi:10.1002/14651858.CD004904.pub3. PMID 25327508. الوسيط
|CitationClass=تم تجاهله (مساعدة) - Cohen CR, Manhart LE, Bukusi EA, et al. (مارس 2002). "Association between Mycoplasma genitalium and acute endometritis". Lancet. 359 (9308): 765–6. doi:10.1016/S0140-6736(02)07848-0. PMID 11888591. الوسيط
|CitationClass=تم تجاهله (مساعدة) - Ljubin-Sternak, Suncanica; Mestrovic, Tomislav (2014). "Review: Clamydia trachonmatis and Genital Mycoplasmias: Pathogens with an Impact on Human Reproductive Health". Journal of Pathogens. 2014 (183167): 3. doi:10.1155/2014/183167. PMC 4295611. PMID 25614838. الوسيط
|CitationClass=تم تجاهله (مساعدة) - "Pyometra". American College of Veterinary Surgeons. 2004. مؤرشف من الأصل في 21 فبراير 2006. اطلع عليه بتاريخ 14 ديسمبر 2006. الوسيط
|CitationClass=تم تجاهله (مساعدة) - Höglund, Odd Viking; Lövebrant, Johanna; Olsson, Ulf; Höglund, Katja (17 نوفمبر 2016). "Blood pressure and heart rate during ovariohysterectomy in pyometra and control dogs: a preliminary investigation". Acta Veterinaria Scandinavica. 58 (1). doi:10.1186/s13028-016-0263-y. PMC 5112883. PMID 27855712. الوسيط
|CitationClass=تم تجاهله (مساعدة)
باللغة العربيَّة
- يُوسف حِتّي; أحمَد شفيق الخَطيب (2008). قامُوس حِتّي الطِبي للجَيب. بيروت، لبنان: مكتبة لبنان ناشرون. صفحة 142. ISBN 995310235X. الوسيط
|CitationClass=تم تجاهله (مساعدة);|access-date=بحاجة لـ|url=(مساعدة) - "ترجمة (Endometritis) في المعجم الطبي الموحد". مكتبة لبنان ناشرون. مؤرشف من الأصل في 22 مارس 2020. اطلع عليه بتاريخ 23 مارس 2020. الوسيط
|CitationClass=تم تجاهله (مساعدة) - "ترجمة (Endometritis) في معجم مرعشي الطبي الكبير". مكتبة لبنان ناشرون. مؤرشف من الأصل في 22 مارس 2020. اطلع عليه بتاريخ 23 مارس 2020. الوسيط
|CitationClass=تم تجاهله (مساعدة) - "ترجمة (Endometritis) في القاموس". موقع القاموس. مؤرشف من الأصل في 24 مارس 2020. اطلع عليه بتاريخ 23 مارس 2020. الوسيط
|CitationClass=تم تجاهله (مساعدة) - "ترجمة (endomyometritis) في المعجم الطبي الموحد". مكتبة لبنان ناشرون. مؤرشف من الأصل في 22 مارس 2020. اطلع عليه بتاريخ 23 مارس 2020. الوسيط
|CitationClass=تم تجاهله (مساعدة)
صور وملفات صوتية من كومنز
- بوابة طب
