التهاب فرط التحسس الرئوي
و يسمى أيضا التهاب الحويصلات الهوائية الخارجي, هو التهاب للحويصلات الهوائية الموجودة في الرئة بسبب الحساسية الزائدة لغبار المواد العضوية. الذين يعانون منه هم بالاغلب قد تعرضوا لهذه الاغبرة أثناء عملهم أو ممارستهم لهواياتهم.
| التهاب الحساسية الزائدة الرئوي | |
|---|---|
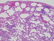
![]() صورة مجهرية بتكبير عالٍ تظهر عينة من رئة مريض مصاب التهاب الحساسية الزائدة المزمن، يلاحظ وجود توسع طفيف في جدار الحويصلات بفعل الخلايا اللمفاوية. وجود خلية عملاقة متعددة الأنوية في النسيج الخلالي يعد أحد الظواهر التي تؤكد على صحة التشخيص
. صورة مجهرية بتكبير عالٍ تظهر عينة من رئة مريض مصاب التهاب الحساسية الزائدة المزمن، يلاحظ وجود توسع طفيف في جدار الحويصلات بفعل الخلايا اللمفاوية. وجود خلية عملاقة متعددة الأنوية في النسيج الخلالي يعد أحد الظواهر التي تؤكد على صحة التشخيص
. | |
| معلومات عامة | |
| الاختصاص | طب الرئة |
| من أنواع | مرض مهني ، ومرض رئوي خلالي ، وحساسية |
| المظهر السريري | |
| الأعراض | نفضان [1]، وفقدان الوزن [1] |
الفيزيولوجيا المرضية
التهاب الحساسية الزائدة التهاب رئوي يشمل استنشاق مولدات الضد. وهذا يؤدي إلى استجابة مناعية مبالغ فيها (فرط الحساسية). النوع الثالث من الحساسية الزائدة والنوع الرابع من الحساسية الزائدة تحدثان في التهاب الحساسية الزائدة الرئوي.
الأعراض
يصنف التهاب الحساسية الزائدة الرئوي أنه: حاد، دون الحاد، والمزمن على أساس مدة المرض.[2]
النوع حاد
في النوع الحاد من التهاب الحساسية الزائدة الرئوي، تتطور الاعراض خلال 4-6 ساعات بعد التعرض بشكل كبير لمولد الضد المثير. وتشمل الاعراض الحمى، القشعريرة، والشعور بالضيق، والسعال، وضيق الصدر، وضيق التنفس، والطفح الجلدي، والتورم والصداع. وتزول الاعراض في غضون 12 ساعة إلى عدة أيام عند وقف التعرض لمولد الضد المثير.[3]
يتميز النوع الحاد من التهاب الحساسية الزائدة الرئوي بالتكوين السيء للحبيبات البينية غير الجبنية ودخول الخليات وحيدة النواة في المناطق المحيطة بالقصبة مع تواجد للخلايا العملاقة.[3]
في الصور الشعاعية للصدر، يمكن ملاحظة ان المظهر العام هو انتشارالعقد البينية الصغيرة (في بعض الأحيان مع كثافة زجاجية- أرضية في مناطق الرئة الدنيا والمتوسطة) . النتائج طبيعية في حوالي 10٪ من المرضى ". وفي صور الأشعة المقطعية ذات الدقة العالية ، عتامة زجاجية-أرضية أو زيادة في انتشار الكثافات الراديوية قد تكون موجودة. اختبارات وظائف الرئة تظهر انخفاض سعة اتساع الرئتين لأول أكسيد الكربون. كثير من المرضى لديهم تشبع الأكسجين عند الراحة، وجميع المرضى يعانون نقص الاكسجين عند ممارسة الرياضة.[3]
النوع دون الحاد
المرضى الذين يعانون من النوع دون الحاد من التهاب الحساسية الزائدة الرئوي يتطور لديهم تدريجيا سعال منتج ، وضيق التنفس، والتعب، وفقدان الشهية، وفقدان الوزن، التهاب الغشاء المحيط بالرئة. الأعراض مشابهة للنوع الحاد من المرض، ولكنها أقل حدة وتستمر لفترة أطول. في الصور الشعاعية الصدر، العقد البينية الصغيرة والعتامات الشبكية منتشرة بكثرة في مناطق منتصف إلى أدنى الرئة.[3] قد تكون النتائج موجودة في المرضى الذين عانوا من تكرار الهجمات الحادة.[3]
النوع دون الحاد، أو المتقطع، يشكل نتاجات أكثر تناسقا من الحبيبات البينية غير الجبنية، والتهاب قصيبات مع أو بدون التهاب رئوي منتظم، وتليف الوسط البيني.[3]
النوع المزمن
في التهاب الحساسية الزائدة الرئوي المزمن، المرضى غالبا ما يفترقون بتاريخ من النوبات الحادة. لديهم بداية غير متوقعه من السعال وضيق التنفس التدريجي، والتعب، وفقدان الوزن. ويرتبط عودة كلية أو جزئية، لكن تدريجية لوضع ما قبل المرض. يوصى بتجنب أي تعرض للمزيد من مسببات المرض. يلاحظ تقوس الاضافر في 50٪ من المرضى. تسارع النفس، ضيق التنفس، الخشخشة أثناء الشهيق في المناطق الدنيا للرئة موجودة في كثير من الأحيان.[3]
في الصور الشعاعية للصدر، تغيرات تليفية متواصلة مع نقص في حجم الرئة تؤثر بشكل خاص الفص العلوي. العقد أو العتامات الأرضية-الزجاجية غير موجودة. تم العثور على ميزات مرض انتفاخ الرئة على أفلام الصدر المتخصصه والأشعة المقطعية.[3]
الأشكال المزمنة من التهاب الحساسية الزائدة الرئوي تكشف ادلة إضافية على التهاب الوسط البيني المزمن وتدمير الحويصلات ( قرص عسل ) مترافقة بتليف كثيف. توجد انشقاقات كولسترول أو اجسام كويكبية داخل أو خارج الحبيبات الرئوية.[3]
وبالإضافة إلى ذلك كثير من المرضى لديهم نقص في الأكسجين عند الراحة، وجميع المرضى يعانون نقص الاكسجين عند ممارسة الرياضة.
التشخيص
ويستند التشخيص على تاريخ الأعراض بعد التعرض لمسببات الحساسية والاختبارات السريرية. قد يحتاج الطبيب لاختبارات الدم، البحث عن علامات الالتهاب، تصوير الصدر بالأشعة السينية وفحص وظائف الرئة. يظهر المريض خسارة مقيدة في وظائف الرئة.
الأجسام المضادة ج ضد الفطريات أو مولدات الضد المنتجة من الطيور يمكن الكشف عنها في المختبر باستخدام طريقة أوخترلوني التقليدية حيث تتشكل خطوط 'مترسبة' على لوحة الأجار لكن تكنولوجيا سي أي بي المناعية حلت محل هذه الطريقة التي تستغرق وقتا وجهدا طويلا، لذا بفحوصات سي أي بي الرقمية، وفحوصات الانزيمات المناعية المشعة أصبح بالإمكان اكتشاف الاجسام المضادة البكتيريا الرشاشية فوميجاتوس (مرض رئة المزارع ) أو مولدات الضد طيرية المنشأ (مرض رئة مربي الطيور).[4]
على الرغم من التداخل في كثير من الحالات، يمكن التمييز بين التهاب الحساسية الزائدة الرئوي و الربو المهني من حيث أن التهاب الحساسية الزائدة الرئوي لا يقتصر على التعرض المهني فقط، وأن الربو وتصنف عموما باعتباره فرط الحساسية من النوع الأول. .[5][6] وعلى عكس الربو، الاتهاب الرئوي مفرط الحساسية يستهدف الحويصلات الهوائية بدلا من الشعب الهوائية في الرئة..[7]
خزعة الرئة

يمكن لخزعات الرئة ان تكون تشخيصية في حالات التهاب الحساسية الزائدة المزمن، أو قد تساعد على اقتراح التشخيص أو تؤدي لاكتشاف أو تكثف البحث لاكتشاف المادة مثيرة للحساسية. والميزة الرئيسية لالتهاب الحساسية الزائدة المزمن في الخزعات الرئوية هو التوسع في النسيج الخلالي بواسطة الخلايا الليمفاوية مترافقه مع الخلايا العملاقة متعددة النوى عرضية أو الناتج بسبب الورم الحبيبي السائب..[8][9]
عندما يتطور التليف في التهاب الحساسية الزائدة المزمن، يشمل التشخيص التفريقي في الخزعات الرئة الالتهابات الرئوية الخلالية مجهول السبب.[10] وتشمل هذه المجموعة من الأمراض الالتهاب الرئوي الخلالي المعتاد، والالتهاب الرئوي الخلالي غير المحدد والالتهاب الرئوي مجهول السبب المنظم، بالإضافة لغير ذلك من الامراض.[8][9]
بعض الالتهابات الرئوية الخلالية مجهولة السبب، على سبيل المثال الالتهاب الرئوي الخلالي المعتاد (أي التليف الرئوي مجهول السبب)، يكون تشخيصها صعبا والعلاجات تقدم القليل من المساعدة للمريض. وهذا يعاكس التشخيص (والعلاج) لالتهاب الحساسية الزائدة الرئوي، والذي هو عادة جيدة التشخيص والعلاج إلى حد ما إذا تم التعرف على مسببات الحساسية وخفض التعرض لها بدرجة كبيرة أو توقف. وهكذا، فإن خزعة الرئة، في بعض الحالات، قد تحدث فرقا حاسما.
أنواعه
و يمكن أيضا أن يسمى التهاب زيادة الحساسية الرئوي بالعديد من الأسماء المختلفة، استنادا إلى مولد الضد المستفز. وتشمل هذه:
| نوع الحساسية | مولد الضد | المواد التي يتعرض لها بكثرة | |
|---|---|---|---|
| رئة مربي الطيور [الإنجليزية]
كما تدعا الرئة مربي الحمام، ورئة عامل الدواجن |
بروتينات الطيور | الريش وفضلات الطيور | |
| سحار ثفلي [الإنجليزية] | [الفطريات الشعاعية الحرارة [الإنجليزية]] | تفل قصب السكر متعفن (قصب السكر) | |
| رأسية الأبواغ | رأسية الأبواغ | اقبية ملوثة (من مياه الصرف الصحي) | |
| رئة منظفي الاجبان | Penicillum المجبنة أو P. roqueforti [الإنجليزية] | أغلفة الجبن | |
| رئة العامل الكيمائي - أيزوسيانيت | الدي إيزوسيانات التولوين [الإنجليزية] (TDI)، الدي إيزوسيانات [الإنجليزية] (Hexamethylene (HDI، أو الميثيلين إسوسيانات [الإنجليزية] (bisphenyl (MDI | الدهانات والراتنجات، ورغاوي البولي يوريثان | |
| رئة العامل الكيميائي في انهيدرا | أنهيدريدTrimellitic | البلاستيك والراتنجات، والدهانات | |
| رئة عامل القهوة | بروتين فول القهوة | غبار حبة البن | |
| رئة السماد | الرشاشيات | سماد | |
| مرض عامل المنظفات | مرض عامل المنظفات الانيمات العصوية الرقيقة | منظف | |
| مرض الحساسية الزائدة الوراثي أو يسمى المحلي | العصوية الرقيقة، جراثيم البافبول | الجدران الملوثة | |
| رئة المزارع | القوالب
|
القش المتعفن | |
| رئة الحوض الساخن | المتفطرة الطيرية [الإنجليزية] | ضباب من أحواض المياه الساخنة | |
| رئة المرطب | الشعيات الحرارية المبيضات
الفطريات والاميبات
|
ضباب التي تم إنشاؤها بواسطة آلة من المياه الراكدة | |
| حساسية البيت الصيفي اليابانية | شعرية الأبواغ الجلدية | خشب رطبة والحصير | |
| رئة عامل المختبر | الفئران الذكور، بروتين البول | فئران التجارب | |
| داء الغوشنيات [الإنجليزية] | جراثيم البافبول | الغبار، بوغ من جراثيم البافبول الناضجة [11] | |
| رئة عامل الشعير | الرشاشيات المقرعية [الإنجليزية] | الشعير متعفن | |
| مرض القيقب | خفية السدى القشرية | لحاء القيقب المتعفن | |
| مرض سوائل التعدين | المتفطرات اللاسلية | ضباب من سوائل تشغيل المعادن | |
| رئة ميلر | سوسة Granaries (سوسة القمح) | الملوثة غبار الحبوب | |
| حساسية قشرة الرخويات | بروتينات الحيوانية المائية | الغبار، الرخويات | |
| رئة عامل الفطر | الفطريات الشعاعية للحرارة | سماد الفطر | |
| رئة عامل الطحالب | Sp. Monocillium والبنسليوم citreonigrum | الطحالب | |
| مرض مستنشقي ادوية الغدة النخامية | السعوط الغدة النخامية | دواء (مرض السكري الكاذب) | |
| رئة عامل الساونا | ذهبية الدعامات، فطر النيابة | المياه الملوثة، ساونا | |
| داء السيكوية | ذهبية الدعامات، Graphium النيابة | نشارة الخشب | |
| حساسية البكتيريا السبحية | البص السبحية [الإنجليزية] | الأسمدة الملوثة | |
| داء السحار الفليني [الإنجليزية] | glabrum بنسليوم [الإنجليزية] (المعروف سابقا باسم frequentans بنسليوم) | الفلين المتعفن | |
| حساسية صنبور الماء | غير معروف | مياه الصنبور الملوثة | |
| مرض سقف القش | Saccharomonospora البلدي | العشب المجفف | |
| رئة عامل التبغ | الرشاشيات النيابة | التبغ متعفن | |
| رئة لاعب الترومبون (رئة لاعب النحاس) | المتفطرة chelonae | مختلف الصكوك داخل المتفطرات[12] | [13] |
| رئة مزارع النبيذ | المعنقدة السنجابية العفن | العنب متعفن | |
| رئة النجار | النوباء، البنسليوم النيابة | لب الخشب والغبار |
من هذه الأنواع، رئة المزارعين والرئة مربي الطيور هي الأكثر شيوعا. "وثيقة الدراسات 8-540 حالة لكل 100.000 شخص سنويا للمزارعين و6000-21.000 حالة لكل100.000 شخص سنويا لمربي الحمام. نسب عالية في الهجوم تم توثيقها في موجات تفشي متفرقة. الانتشار يختلف حسب المنطقة، والمناخ، والممارسات الزراعية. تؤثر هذه الحساسية على 0.4-7% من السكان المزارعين، ويقدر انتشار الحالات المبلغ عنها بين مربي الطيور بأن تكون 20-20.000 حالة لكل 100.000 شخص معرض لخطر الإصابة ".[3]
العلاج
أفضل علاج هو تجنب مسببات الحساسية، فالتعرض المزمن يمكن أن يسبب ضرر دائم. الستيرويدات القشرية مثل بريدنيزولون قد يساعد في السيطرة على الأعراض ولكن قد تنتج بعض من الآثار الجانبية. .[14]
صور اضافية
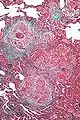
صورة مجهرية عالية التكبير من التهاب الحساسية الزائدة الرئوي يظهر الالتهاب الحبيبي. صبغة ثلاثية الألوان .
المراجع
- معرف أنطولوجية المرض: http://www.disease-ontology.org/?id=DOID:841 — تاريخ الاطلاع: 30 نوفمبر 2020 — الرخصة: CC0
- signs and symptoms نسخة محفوظة 13 أكتوبر 2010 على موقع واي باك مشين.
- Sharma, Sat. Hypersensitivity Pneumonitis. eMedicine, June 1, 2006. نسخة محفوظة 17 أكتوبر 2008 على موقع واي باك مشين.
- Making the case for using the Aspergillus immunoglobulin G enzyme linked immunoassay than the precipitin test in the diagnosis of allergic bronchopulmonary aspergillosis Khan ... نسخة محفوظة 26 أغسطس 2017 على موقع واي باك مشين.
- "Lecture 14: Hypersensitivity". مؤرشف من الأصل في 21 يوليو 2009. اطلع عليه بتاريخ 18 سبتمبر 2008. الوسيط
|CitationClass=تم تجاهله (مساعدة) - "Allergy & Asthma Disease Management Center: Ask the Expert". مؤرشف من الأصل في 15 فبراير 2009. اطلع عليه بتاريخ 18 سبتمبر 2008. الوسيط
|CitationClass=تم تجاهله (مساعدة) - Page 503 in: Mitchell, Richard Sheppard; Kumar, Vinay; Abbas, Abul K.; Fausto, Nelson (2007). Robbins Basic Pathology (الطبعة 8th). Philadelphia: Saunders. ISBN 1-4160-2973-7. الوسيط
|CitationClass=تم تجاهله (مساعدة)صيانة CS1: أسماء متعددة: قائمة المؤلفون (link) - Mukhopadhyay, Sanjay. "Pathology of Hypersensitivity Pneumonitis", Retrieved on 3 May 2013. نسخة محفوظة 20 يوليو 2017 على موقع واي باك مشين.
- Mukhopadhyay S, Gal AA. (2010). "Granulomatous lung disease: an approach to the differential diagnosis". Archives of Pathology and Laboratory Medicine. 134 (5): 669–690. doi:10.1043/1543-2165-134.5.667. PMID 20441499. الوسيط
|CitationClass=تم تجاهله (مساعدة) - Ohtani Y, Saiki S, Kitaichi M, et al. (August 2005). "Chronic bird fancier's lung: histopathological and clinical correlation. An application of the 2002 ATS/ERS consensus classification of the idiopathic interstitial pneumonias". Thorax. 60 (8): 665–71. doi:10.1136/thx.2004.027326. PMC 1747497. PMID 16061708. مؤرشف من الأصل في 11 ديسمبر 2019. الوسيط
|CitationClass=تم تجاهله (مساعدة) - Munson EL, Panko DM, Fink JG. (1997). "Lycoperdonosis: Report of two cases and discussion of the disease". Clinical Microbiology Newsletter. 19 (3): 17–24. doi:10.1016/S0196-4399(97)89413-5. الوسيط
|CitationClass=تم تجاهله (مساعدة)صيانة CS1: أسماء متعددة: قائمة المؤلفون (link) - CHEST Publications | Article نسخة محفوظة 26 فبراير 2015 على موقع واي باك مشين.
- Study: Brass Wind Instruments Can Cause Allergic Lung Disease - ABC News نسخة محفوظة 04 مارس 2016 على موقع واي باك مشين.
- Hypersensitivity Pneumonitis Treatment | Conditions & Treatments | UCSF Medical Center نسخة محفوظة 26 سبتمبر 2010 على موقع واي باك مشين.
- بوابة طب
صور وملفات صوتية من كومنز
