بطامة
البَطامَة[1] (بالانجليزية:putamen) هي بنية دائرية في قاعدة الدماغ الأمامي. البطامة والنواة الذنبية تكونان معا المخطط الظهري وهي تعتبر أيضا أحد الهياكل التي تحتويها العقد القاعدية. تتصل البطامة بالمادة السوداء والكرة الشاحبة من خلال مسارات مختلفة. الوظيفة الرئيسية للبطامة هي تنظيم الحركة والتحكم في أنواع متنوعة من التعلم. توظف البطانة كلا من الغابا، الأستيل كولين والإنكيفالين لأداء وظائفهم. وتلعب دورا في الأمراض التنكسية العصبية مثل الشلل الرعاشي.
| بَطامَة | |
|---|---|
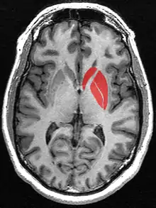
![]() البطامة، النواة المذنبة، اللوزة = أرجواني
المهاد= برتقالي | |
![]() بطامة | |
| تفاصيل | |
| جزء من | المخطط الظهري |
| معرفات | |
| غرايز | ص |
| ترمينولوجيا أناتوميكا | 14.1.09.507 |
| FMA | 61834 |
| UBERON ID | 0001874 |
| ن.ف.م.ط. | D011699 |
| دورلاند/إلزيفير | 12681480 |
التاريخ
كلمة بطامة مشتقة من اللاتينية وتعني ليفكر أو ليعتبر.[2]
حتى وقت قريب، عدد قليل من الدراسات هي التي كانت تركز بشكل خاص على البطامة ومع ذلك، فقد تم عمل العديد من الدراسات على العقد القاعدية والتفاعلات بين البنى المختلفة التي تحتويها. في عام 1970 تم عمل أول تسجيل لوحدة واحدة على القرود لرصد نشاط الخلايا العصبية للكرة الشاحبة ذات الصلة بالحركة.
التشريح

تشكل البطامة والنواة المذنبة معا المخطط الظهري. وتحتوي كلا من البطامة والنواة المذنبة على نفس أنواع الخلايا العصبية والدارات. العديد من علماء التشريح المختصين بالجهاز العصبي يعتبرون المخطط الظهري بنية واحدة ينقسم إلى جزئين بالمحفظة الغائرة التي تمر في المنتصف. البطامة والكرة الشاحبة يشكلان معا النواة العدسية. البطامة هي الجزء الخارجي من العقد القاعدية وهي مجموعة من نوى الدماغ التي تترابط مع القشرة الدماغية، المهاد وجذع الدماغ. تتكون العقد القاعدية من الجسم المخطط، المادة السوداء، النواة المتكئة ونواة تحت المهاد. ترتبط العقد القاعدية في الثدييات بالتحكم في الحركة، الإدراك، العواطف، والتعلم. وتقع العقد القاعدية على الجانبين الأيمن والأيسر من الدماغ، وتنقسم إلى قسمين، منقاري وذيلي . تقع البطامة في القسم المنقاري كجزء من المخطط. تستقبل العقد القاعدية المدخلات من القشرة الدماغية، عبر المخطط.
ترتبط البطامة مع الهياكل التالية:

النواة المذنية
تعمل النواة المذنبة مع البطامة على استقبال المدخلات من القشرة الدماغية. من المكن اعتبارهما بأنهما مدخل العقد القاعدية. أما النواة المتكئة والجزء الإنسي من النواة الذنبية فيستقبلان المدخلات من القشرة الدماغية الجبهية والجهاز النطاقي.
المادة السوداء
تنقسم المادة السوداء إلى قسمين: المادة السوداء المكتنزة (SNpc) والمادة السوداء الشبكية (SNpr). و تحصل SNpc على مدخلات من البطانة والمذنبة، وترسل المعلومات مرة أخرى. كما يحصل SNpr على مدخلات من البطامة والمذنبة. ومع ذلك، فإنه يرسل المدخلات خارج العقد القاعدية للتحكم في حركات الرأس والعين. تنتج SNpc الدوبامين، وهو أمر حاسم بالنسبة للحركات. وSNpc هو الجزء الذي ينتكس أثناء مرض باركنسون.[3]
الكرة الشاحبة
تحتوي الكرة الشاحبة على جزئين: الكرة الشاحبة الظاهرة (GPe) والكرة الشاحبة الباطنة (GPi). كلا الجزئين يكتسبان مدخلات من المذنبة والبطامة ويتواصلان مع نواة تحت المهاد.مع ذلك، يبعث GPi مخرجات مثبطة من العقد القاعدية للمهاد. يرسل GPi زوائد قليلة لأجزاء من الدماغ الأوسط والذي كان يفنرض أن يتحكم في الهيئة.[3]
الفسيولوجي
أنواع المسارات
يجب أن تتفاعل البطامه مع الهياكل الأخرى التي تشكل العقد القاعدية من أجل السيطرة على الحركة. وهذه تشمل، النواة المذنبة والكرة الشاحبة. هذان الاثنان بجانب البطامة تتفاعل من خلال سلسلة من المسارات المثبطة المباشرة وغير المباشرة. المسار المباشر يتكون من مساران مثبطان من البطامة لكلِ من المادة السوداء والجزء الغائر من الكرة الشاحبة. هذا المسار يتسخدم الناقلات العصبية: الدوبامين، الغابا والمادة P. اما المسار غير المباشر فيتكون من ثلاث مسارات مثبطة تذهب من البطامة والمذنبة للجزء الخارجي من الكرة الشاحبة. يستخدم هذا المسار الدوبامين، الغابا والإتكيفالين. عندما يحدث تفاعل بين المسارات المباشرة والغير مباشرة تنتج الحركات اللاإرادية.
الدوبامين
الدوبامين هو أحد النواقل العصبية الرئيسية التي يتم تنظيمها عن طريق البطامة.
النواقل العصبية الأخرى
تلعب البطامة دور في تعديل النواقل العصبية الأخرى. فهي تفرز الغابا، الإنكيفالين، المادةP، والأستيل كولين. وتستقبل السيروتونين وحمض الجلوتاميك. الغالبية العظمى من هذه النواقل تلعب دوراً في التحكم الحركي.[4][مبهم]
دورها في المتحولين جنسياً
وجد أن البطامة تمتلك كميات أكبر من المادة الرمادية في الأشخاص المتحولين جنسياً من ذكور لإناث مقاونة بالذكور ال"cisgender" أي المتوافق نوع الجنس لديهم أو الجنوسة مع الجنس الذي ولدوا به. وهذا ربما يشير إلى وجود اختلاف أساسي في التركيب الدماغي بين الرجال المتحولين جنسياً لنساء وبين الذكر النموذجي.[5]
دورها في "دائرة الكُره"
أجريت دراسة حديثة في لندن بواسطة قسم الخلايا بكلية لندن الجامعية، تم اجراء التصوير بالرنين المغناطيسي الوظيفي على مرضى وعرضوا عليهم صور الأشخاص الذين يكرهونهم والأشخاص المحايدين. أثناء التجربة تم تسجيل درجة الكراهية لكل صورة.
في الحيوانات الأُخرى
تتشابه البطامة تركيبياً ووظيفياً مع نظيرتها في الحيوانات الأخرى. ولذلك، قالعديد من الدراسات على البطامة تم إجراؤها على الحيوانات (كالقرود، الفئران.. إلخ) فضلاً عن البشر.
المَراجع
- المعجم الطبي. نسخة محفوظة 12 نوفمبر 2016 على موقع واي باك مشين.
- Latin Definitions for: putare (Latin Search) - Latin Dictionary and Grammar Resources - Latdict نسخة محفوظة 24 ديسمبر 2017 على موقع واي باك مشين.
- Alexander GE; Crutcher MD (July 1990). "Functional architecture of basal ganglia circuits: neural substrates of parallel processing". Trends in Neurosciences. 13 (7): 266–71. doi:10.1016/0166-2236(90)90107-L. PMID 1695401. الوسيط
|CitationClass=تم تجاهله (مساعدة) - Crutcher, Michael D. Telephone Interview. 19 November 2008.
- Regional gray matter variation in male-to-female transsexualism نسخة محفوظة 11 يوليو 2017 على موقع واي باك مشين.
- بوابة طب
- بوابة تشريح
- بوابة علوم عصبية

