سكتة منطقة المهطل
سكتة منطقة المهطل أو سكتة منطقة الحافة هي سكتة دماغية إفقارية تصيب منطقة المهطل (حواف الأنسجة التي تحصل على إمداد دموي من أكثر من مصدر)، وتشكل سكتة منطقة المهطل ما يقترب من 10٪ من إجمالي السكتات الدماغية الإقفارية،[1] وذلك لكون هذه المناطق أكثر عرضة للإفقار وأكثر تأثرا بنقص التروية الدماغية بسبب طبيعة موقعها البعيد عن الأوعية الدموية.
| إفقار الدماغ | |
|---|---|
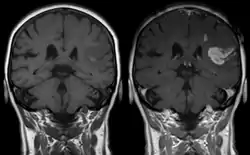
![]() تصوير بالرنين المغناطيسي لسكتة دماغية إفقارية (اليسرى بالصبغة، واليمنى بدون صبغة) تصوير بالرنين المغناطيسي لسكتة دماغية إفقارية (اليسرى بالصبغة، واليمنى بدون صبغة) | |
| تسميات أخرى | سكتة المهطل |
| معلومات عامة | |
| الاختصاص | طب الجهاز العصبي |
| من أنواع | احتشاء |
تتمركز سكتة منطقة المهطل في منطقتين أساسيتين من الدماغ، ومن ثَم يُمكن تسميتها -بحسب مكانها- سكتة منطقة المهطل القشرية وسكتة منطقة المهطل الداخلية،[2] وتختلف الأعراض الناتجة بناءً على المنطقة المصابة، وتزداد نسب الإصابة بها في المرضى الذين يعانون من أمراض القلب الوعائية والذين لديهم احتمالية أكبر للإصابة بجلطات وتوقف تدفق الدم إليها.
يُستخدم التصوير المقطعي المحوسب والتصوير بالرنين المغناطيسي لتشخيص سكتة منطقة المهطل، ومن ثَم يتوفر عدد من خيارات العلاج، منها علاج التصلب العصيديوتوسيع الأوعية الدموية المسدودة، بجانب العلاج التأهيلي والوقاية المستقبلية من السكتات الدماغية.
العلامات والأعراض
تأخد الأعراض الأولية لسكتة منطقة المهطل تسلسل FAST، والذي يتضمن ضعف بالوجه، أو ضعف بالذراع أو الرجل، أو صعوبة في الكلام، وعليه فإن حدوث أي من هذه الأعراض يُعتبر دليلا على حدوث سكتة دماغية إلى أن يثبت العكس، وبالنظر إلى أن جميع السكتات الدماغية تُعتبر حالة طبية طارئة، فإن الأمر يستدعى السعي الفوري للحصول على الخدمة الطبية.[3] حيث أن التشخيص المبكر يؤثر في القرار المُتخذ، كما أنه يساعد في التقليل من شدة السكتة الدماغية.
بعد الأعراض الأولية فإن هناك أعراض أخرى تعتمد على المنطقة المصابة من الدماغ، وعلى المسار العصبي المتأثر.
فمثلا قد يؤدي تلف القشرة الدماغية إلى فقدان القدرة على الكلام، كما قد يؤدي تلف المخيخ إلى حدوث رنح مخيخي المنشأ. [4]
الأسباب
تحدث سكتة منطقة المهطل بسبب نقص تدفق الدم إلى الدماغ.[1] بسبب الانسداد الوعائي وتصلب الشرايين، كما تزداد أحتمالية حدوثها في الأشخاص الذين يعانون من أمراض القلب الوعائية، وتشمل أهم الأسباب ما يلي:
- قصور القلب الاحتقاني، والذي يمكن أن يؤدي إلى عدم القدرة على ضخ كميات كافية من الدم إلى الدماغ.
- تصلب الشرايين، والذي يمكن أن يتسبب فيه تراكم الكوليسترول في الأوعية الدموية، وبالتالي ضيق تجويف الوعاء ونقص حجم الدم المتدفق عبره إلى الدماغ [2]
- اعتلال الأوعية الدموية[5]
- انخفاض ضغط الدم المفاجئ، والذي قد يصاحبه نقص الدم المطلوب وصوله للدماغ[1]
- ارتفاع ضغط الدم[6]
- فرط شحميات الدم
- فقر الدم المنجلي، والذي يمكن أن يؤدي إلى تشوه خلايا الدم الحمراء، مما يؤدي إلى انسداد الأوعية الدموية وإعاقة تدفق الدم [7]
- تضيق الشريان السباتي، والذي يمكن أن يقلل من حجم تدفق الدم إلى الدماغ
طريقة تطور المرض
على الرغم من استخدام العديد من تقنيات التصوير لتوثيق سكتة منطقة المهطل، إلا أن مسبباتها تظل مثيرة للجدل، ويظهر أنها تشمل آليات مختلفة
التشريح

يتمركز هذا النوع من السكتات في منطقتين أساسيتين في الدماغ:
- السكتات القشرية، وتقع بين المناطق القشرية التابعة للشريان المخي الأمامي والأوسط والخلفي.[2]
- السكتات الداخلية، وتقع في المادة البيضاء على طول البطين الجانبي أو فوقه بقليل، أو تقع بين النظامين العميق والسطحي للشريان المخية.
انخفاض ضغط الدم
يُمثل الانخفاض الحاد في ضغط الدم السبب الأكثر شيوعًا لسكتة منطقة المهطل، وغالبا ما تكون في المنطقة الواقعة بين الشريان الدماغي الأمامي والأوسط، وهذا الانخفاض لا يتسبب عادة تمزق الأوعية الدموية. [1]
انسداد الشريان السباتي الداخلي
قد تُسبب جلطات الشريان السباتي الداخلي في الرقبة سكتة منطقة المهطل والتي تصيب حواف المناطق التي يُغذيها الشريان الدماغي الأمامي والأوسط (كل منهما فرع من فروع الشريان السباتي الأمامي)، وتُعتبر هذه السكتات -في الغالب- ناتجة عن انخفاض تدفق الدم إلى المخ، على غرار انخفاض ضغط الدم [1] تشير دراسات التصوير لأمراض الشريان السباتي الداخلي الحادة إلى أن نسبة حدوث سكتة منطقة المهطل تتراوح من 19٪ إلى 64٪.[2]
التشخيص
يبدأ تشخيص السكتات بشكل عام بإجراء فحص عصبي عام يساعد على تحديد المنطقة المصابة، يليه إجراء تصوير مقطعي محوسب للدماغ لاستبعاد وجود أي نزيف دماغي. لاحقا يمكن إجراء التصوير بالرنين المغناطيسي (باستخدام تتابع خاص)، ويعتبر الرنين المغناطيسي شديد الحساسية في تحديد المنطقة المصابة.
يتضمن التشخيص أيضا تقييم حالة الأوعية الدموية الموجودة في الرقبة (والتي تغذي المخ)، وذلك باستخدام الموجات فوق الصوتية (دوبلر-دوبليكس)، أو تصوير الأوعية بالرنين المغناطيسي أو بالتصوير المقطعي المحوسب، بجانب إجراء مخطط صدى القلب للبحث عن مصدر الانسدادت الوعائية، كما يمكن أيضًا طلب بعض فحوصات الدم لتحديد وجود بعض عوامل الخطر، بما في ذلك مستويات الكوليسترول ومستويات الدهون الثلاثية ومستويات الهوموسيستين واختبارات تخثر الدم.
العلاج
استئصال باطنة الشريان السباتي
غالبًا ما يُعتبر استئصال باطنة الشريان السباتي أحد أكثر الطرق أمانًا لعلاج تضيق الشريان السباتي المصحوب بوجود أعراض، وهو إجراء يقوم من خلاله الجراح بإزالة اللويحة المتصلبة من الشريان، مما يؤدي إلى عودة تدفق الدم إلى الدماغ.
علاج تضيق الشريان السباتي عبر الجلد
في هذا النوع من الإجراءات يتم توسيع الوعاء الدموي الضيق عن طريق رأب الأوعية أو تركيب دعامة فيه، حيث يتم إدخال قسطرة رقيقة عبر أحد الأوعية الكبير (الشريان الفخذي)، وعادة ما يتطلب هذا الإجراء تخديرا موضعيا فقط، لكن لا يزال استئصال باطنة الشريان أكثر أمانًا، لأن العلاج عبر الجلد يمكن أن يؤدي إلى إزاحة الويحات المتصلبة أو حتى تمزق الشريان. [8]
المراجع
- Torvik, A. (1984). "The pathogenesis of watershed infarcts in the brain". Stroke. 15 (2): 221–3. doi:10.1161/01.STR.15.2.221. PMID 6701929. الوسيط
|CitationClass=تم تجاهله (مساعدة) - Momjian-Mayor, I; Baron, J.C. (2005). "The Pathophysiology of Watershed Infarction in Internal Carotid Artery Disease: Review of Cerebral Perfusion Studies". Stroke. 36 (3): 567–77. doi:10.1161/01.STR.0000155727.82242.e1. PMID 15692123. الوسيط
|CitationClass=تم تجاهله (مساعدة) - Harbison, J.; Massey, A.; Barnett, L.; Hodge, D.; Ford, G. A. (1999). "Rapid ambulance protocol for acute stroke". The Lancet. 353 (9168): 1935. doi:10.1016/S0140-6736(99)00966-6. PMID 10371574. الوسيط
|CitationClass=تم تجاهله (مساعدة) - Martini, F, Nath, J, Bartholomew, E 2012. "Fundamentals of Anatomy & Physiology.", p. 742-43. Pearson Education Inc, San Francisco. (ردمك 9780321709332).
- Miklossy, J. (2003). "Cerebral hypoperfusion induces cortical watershed microinfarcts which may further aggravate cognitive decline in Alzheimer's disease". Neurological Research. 25 (6): 605–10. doi:10.1179/016164103101202048. PMID 14503014. الوسيط
|CitationClass=تم تجاهله (مساعدة) - Donnan, G.A.; Fisher, M; MacLeod, M.; Davis, S. M. (2008). "Stroke". The Lancet. 371 (9624): 1612–23. doi:10.1016/S0140-6736(08)60694-7. PMID 18468545. الوسيط
|CitationClass=تم تجاهله (مساعدة) - Verduzco, L. A.; Nathan, D. G. (2009). "Sickle cell disease and stroke". Blood. 114 (25): 5117–25. doi:10.1182/blood-2009-05-220921. PMID 19797523. الوسيط
|CitationClass=تم تجاهله (مساعدة) - Mathews, Marlon S.; Sharma, J.; Snyder, K. V.; Natarajan, S. K.; Siddiqui, A. H.; Hopkins, L. N.; Levy, E. I. (2009). "Safety, Effectiveness, and Practicality of Endovascular Therapy Within the First 3 Hours of Acute Ischemic Stroke Onset". Neurosurgery. 65 (5): 860–5, discussion 865. doi:10.1227/01.NEU.0000358953.19069.E5. PMID 19834397. الوسيط
|CitationClass=تم تجاهله (مساعدة)
- بوابة طب
