فشل كبدي حاد
القصور الكبدي الحاد أو الفشل الكبدي الحاد (بالإنجليزية: Acute liver failure) هو ظهور مضاعفات شديدة سريعًا بعد البوادر الأولى لمرض الكبد (مثل اليرقان)، ويشير إلى تعرُّض الكبد لأضرار جسيمة (فقدان وظائف 80-90٪ من خلايا الكبد). المضاعفات هي اعتلال الدماغ الكبدي، نقص تصنيع البروتين (حيث تُقاس مستويات الألبيومين في الدم ووقت البروثرومبين في الدم). يحدِّد تصنيف 1993 أن فرط الحدة يكون خلال أسبوع، الحاد خلال 8-28 يوم، وتحت الحاد خلال4-12 أسبوع.[1] وهو يعكس حقيقة أن وتيرة حدوث المرض تؤثر تأثيرًا قويًا على تقدُّم الحالة المرضية. كما أن المسببات وراء ذلك هي المحدد الهام الآخر للنتيجة.[2]
| فشل كبدي حاد | |
|---|---|
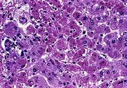
![]() الفشل الكبدي الحاد نتيحة لفيروس ماربورغ، وهو سبب نادر. لاحظ النخر (الموت الموضعي) للخلايا الكبدية والنزف شبه الجيبي. الفشل الكبدي الحاد نتيحة لفيروس ماربورغ، وهو سبب نادر. لاحظ النخر (الموت الموضعي) للخلايا الكبدية والنزف شبه الجيبي. | |
| معلومات عامة | |
| الاختصاص | طب الجهاز الهضمي ، وطب الكبد ، وطب حرج |
| من أنواع | فشل الكبد |
التعريف
يتم تعريف الفشل الكبدي الحاد ب "التطور السريع لضعف خلايا الكبد، وتحديدًا حدوث أمراض تجلط الدم وتغيرات الحالة العقلية (اعتلال الدماغ) في المريض دون سابق معرفة للإصابة بأمراض الكبد".[3]صفحة 1557
ويستند تشخيص الفشل الكبدي الحاد على الفحص السريري، والنتائج المعملية، والتاريخ المَرَضي، والتاريخ الطبي السابق في تحديد تغيرات الحالة العقلية، أمراض تجلط الدم، سرعة الحدوث، وعدم وجود أمراض سابقة بالكبد.[4]
العلامات والأعراض
الوذمة الدماغية واعتلال الدماغ
في الفشل الكبدي الحاد، تؤدي الوذمة الدماغية إلى اعتلال الدماغ الكبدي، غيبوبة، فتق الدماغ والموت في النهاية. الكشف عن اعتلال الدماغ أمر أساسي لتشخيص المرض. قد تتراوح الآثار من خلل بسيط في وظائف المراكز العليا بالمخ (مثل الحالة المزاجية والتركيز في الدرجة 1) إلى غيبوبة عميقة (الدرجة 4). المرضى الذين يعانون من الفشل الكبدي الحاد ومفرط الحدة مُعرَّضون لخطر أكبر لتطوير الوذمة الدماغية والدرجة 4 من اعتلال الدماغ. لازال مسار المرض غير واضح، ولكن من المُرجّح أن يكون نتيجة لعدة ظواهر. هناك تراكم المواد السامة مثل الأمونيا، مركبتان، البنزوديازيبينات الذاتية، والسيروتونين / التربتوفان في الدماغ. ويؤثر هذا على مستوى الناقلات العصبية وتفعيل المستقبلات العصبية. يضعف التنظيم الذاتي لتدفق الدم في الدماغ، ويرتبط مع التحلل اللاهوائي والأكسدة. تتعرض الخلايا العصبية النجمية لهذه التغيرات، فتنتفخ، مما يؤدي إلى زيادة الضغط داخل الجمجمة. يلعب وسطاء الالتهابات أيضًا دورًا هامًا.[2][5][6]
لسوء الحظ، لا يمكن الاعتماد على علامات ارتفاع الضغط داخل الجمجمة، مثل وذمة العصب البصري وفقدان المنعكس الحدقي، وتحدث في وقت متأخر من المرض. أيضًا التصوير المقطعي للدماغ غير مفيد في الكشف المبكر عن الوذمة الدماغية، ولكن غالبًا ما يتم إجراءه لاستبعاد النزيف داخل المخ. يُوصَى بتخفيف الضغط داخل الجمجمة من خلال طريق تحت الجافية. ومع ذلك، يجب مقارنة خطر حدوث مضاعفات بالفائدة الممكنة (نزيف مميت 1٪) [7] والهدف من ذلك هو الحفاظ على الضغط داخل الجمجمة أقل من 25 ملم زئبق، وضغط التروية الدماغية أكثر من 50 ملم زئبق.
تجلط الدم
تجلط الدم هو ميزة أساسية أخرى للفشل الكبدي الحاد. الكبد له دور أساسي في تخليق عوامل التخثر كلها تقريبًا وبعض مُثبّطات التخثُّر وانحلال الفيبرين. يؤدي نخر خلايا الكبد إلى ضعف تصنيع العديد من عوامل التخثر والمثبطات الخاصة بهم. ينتُج عن ذلك إطالة وقت البروثرومبين الذي يُستخدم على نطاق واسع لرصد شدة الإصابة الكبدية. ويحدث خلل كبير في الصفائح الدموية (كمًا ونوعًا) يزيد من خطر النزيف داخل المخ.
الفشل الكلوي
حدوث الفشل الكلوي أمر شائع فهو موجود في أكثر من 50٪ من مرضى الفشل الكبدي الحاد، قد يكون إما نتيجة للسبب الأصلي مثل الباراسيتامول الذي يؤدي إلى نخر أنبوبي حاد أو من فرط حركة الدورة الدموية مما يؤدي إلى المتلازمة الكبدية الكلوية أو الفشل الكلوي الوظيفي. وبسبب ضعف إنتاج اليوريا؛ لا تُمثّل اليوريا في الدم درجة من القصور الكلوي.
الالتهاب والعدوى
تحدث معايير المتلازمة الالتهابية الجهازية في حوالي 60٪ من جميع مرضى الفشل الكبدي الحاد بغض النظر عن وجود أو عدم وجود عدوى.[8] وغالبا ما يُسهِم في فشل أعضاء عديدة. يزيد خطر التسمم بشكل كبير نتيجة ضعف الجهاز المناعي لدى المريض، وذلك بسبب ضعف الانجذاب الكيميائي وضعف القتل داخل الخلايا. لُوحِظ التسمم البكتيري والفطري في ما يصل إلى 80٪ و 30٪ من المرضى، على التوالي.[9]
خلل التمثيل الغذائي
يكاد يكون نقص صوديوم الدم هو الاستنتاج العالمي، ويعود إلى احتباس الماء والتحول في نقل الصوديوم داخل الخلايا نتيجة تثبيط صوديوم/ بوتاسيوم أتباز. يحدث أيضًا نقص سكر الدم (بسبب نضب مخازن الجليكوجين في الكبد وفرط الإنسولين)، نقص بوتاسيوم الدم، نقص فوسفات الدم والقلاء الاستقلابي (الأيضي). يحدث الحماض اللبني غالبًا في حالات الجرعات الزائدة من الباراسيتامول (المعروف أيضا باسم أسيتامينوفين).
تدهوُر ديناميكا الدم والقلب والجهاز التنفسي
يؤدي فرط حركة الدورة الدموية، مع توسُّع الأوعية المحيطية نتيجة انخفاض المقاومة الوعائية الجهازية، إلى انخفاض ضغط الدم. ويكون هناك زيادة تعويضية في النتاج القلبي. تم توثيق قصور الغدة الكظرية في 60٪ من الحالات، ومن المُرجّح أن تساهم في تدهور ديناميكا الدم. وهناك أيضا النقل الغير طبيعي للأكسجين، فعلى الرغم من إيصال الأكسجين إلى الأنسجة بشكل كاف، هناك انخفاض في امتصاص الأوكسجين بواسطة الأنسجة، مما يؤدي إلى نقص الأكسجة والحماض اللبني.[10][11]
تحدث مضاعفات رئوية في ما يصل إلى 50٪ من المرضى.[12] تؤدي الإصابة لشديدة في الرئة ونقص الأكسجة إلى ارتفاع معدل الوفيات. يُسهِم النزف الرئوي، الانصباب الجنبي، والانخماص أيضًا في صعوبة التنفس.
أواخر الحمل
في أواخر فترة الحمل تنخفض وظائف الكبد بشكل كبير، والتي يمكن رصدها بسهولة عن طريق اختبارات الدم. تشمل المظاهر السريرية في وقت مبكر للفشل الكبدي الحاد في أواخر فترة الحمل: انخفاض في الشهية، البول الداكن، اليرقان العميق، الغثيان، التقيؤ، وانتفاخ البطن.[13] وتحدث غالبية الوفيات في هذه الفئة في حالات الولادة عن طريق المهبل.[14]
الأسباب
الأسباب الشائعة لفشل الكبد الحاد هي الجرعة الزائدة من الباراسيتامول (أسيتامينوفين)، الاستجابة العكسية للأدوية (مثل التتراسيكلين)، واستهلاك الكحول المفرط (التهاب الكبد الكحولي الحاد)، والتهاب الكبد الفيروسي (التهاب الكبد أ أو ب -غير شائع للغاية في التهاب الكبد ج)، الكبد الدهني الحاد في الحمل، ومجهول السبب (دون سبب واضح). متلازمة راي هي فشل الكبد الحاد في الأطفال الذين يعانون من العدوى الفيروسية (مثل جدري الماء)؛ قد يلعب استخدام الأسبرين دورًا هامًا. يمكن أن يؤدي داء ويلسون (تراكم النحاس- مرض وراثي) إلى فشل الكبد الحاد.
الفيسيولوجيا المرضية

في الغالبية العظمى من الفشل الكبدي الحاد، هناك على نطاق واسع نخر في خلايا الكبد يبدأ في الانتشار من المناطق المركزية نحو السبيل البابي. تختلف درجة الالتهاب المتني وتتناسب مع مدة المرض.[9][15]
- المنطقة 1 (محيطة بالوريد البابي) تحدث إصابتها في التسمم بالفسفور أو تسمم الحمل.
- المنطقة 2 وإن كانت إصابتها نادرة، تحدث في الحمى الصفراء.
- منطقة 3 تحدث مع الإصابة الدماغية، والسموم، والتعرض لرابع كلوريد الكربون، أو ابتلاع الكلوروفورم. عند أخذ جرعة زائدة من عقار أسيتامينوفين، يحدث تسمم، ومعظمه في المنطقة الثالثة التي لديها أعلى مستوى من الإنزيمات الحية الدقيقة P450. تساعد هذه الحقيقة جنبًا إلى جنب مع انخفاض المنطقة الثالثة في مستوى الأكسجين على شرح السبب في أنها واحدة من أكثر المواقع الأولية للأضرار.
التقييم
يجب أن يخضع جميع المرضى الذين يعانون من الأدلة السريرية أو نتائج اختبارات إيجابية لالتهاب الكبد الحاد للقياس الفوري لوقت البروثرومبين وتقييم دقيق للحالة العقلية. إذا طال وقت البروثرومبين ≈ 4-6 ثوان أو أكثر (INR ≥ 1.5)، ووُجد دليل على تغيُّر الحالة العقلية، فإنه يجب الاشتباه بقوة في الفشل الكبدي الحاد، ويكون دخول المستشفى إلزاميًا. يجب أن يكون الفحص المعملى الأوَّلي واسع النطاق من أجل تقييم كل من المسببات المرضية وشدة الحالة.[16]
التحاليل المختبرية الأولية
- وقت البروثرومبين / INR
- فحص دم شامل
- كيميائيات
- اختبارات وظائف الكبد: AST، ALT، الفوسفاتيز القلوي، GGT، البيليروبين الكُلّي، الألبيومين،
- الكرياتينين، اليوريا / النيتروجين الناتج من اليوريا في الدم، الصوديوم والبوتاسيوم والكلوريد والبيكربونات والكالسيوم والمغنيسيوم والفوسفات
- جلوكوز
- الأميليز والليباز
- غازات الدم الشرياني
- فصيلة الدم
- مستوى الباراسيتامول (أسيتامينوفين)، فحص السموم
- فحص الأجسام المضادة في التهاب الكبد الفيروسي: الغلوبولين المناعي المضاد لـHBSAg،الغلوبولين المناعي المضاد لـHAV، الغلوبيولين المناعي المضاد لفيروس (سي)
- علامات المناعة الذاتية: ANA، ASMA، LKMA، ومستويات الغلوبولين المناعي
- مستوى سيرولوبلازمين (عند الاشتباه بمرض ويلسون)
- اختبار الحمل (للإناث)
- الأمونيا (في الشرايين إن أمكن)
- فيروس نقص المناعة البشرية
ينبغي أن يشمل أخذ التاريخ المَرَضي مراجعة دقيقة من التعرض المحتمل للعدوى والأدوية الفيروسية أو غيرها من السموم. من التاريخ المرضي والفحص السريري، ينبغي معرفة احتمال الإصابة بالأمراض المزمنة لأنها قد تتطلب علاجًا مختلفًأ.
يتم القيام بخزعة الكبد عبر طريق الوريد الوداجي. مع استمرار التقييم، يجب أن يتم تحديد ماإذا كان المريض سيُنقل إلى وحدة العناية المركزة، أو إلى مركز زراعة الأعضاء. يجب أن يتم ذلك سريعًا نظرًا لإمكانية التقدم السريع للفشل الكبدي الحاد.
العلاج
| معايير مستشفى كينجز كوليدج لزراعة الكبد في الفشل الكبدي الحاد[17] |
| المرضى المصابين بتسمم الباراسيتامول درجة الحموضة <7.3 أو |
| المرضى الآخرين وقت البروثرومبين> 100 ثانية أو
|
الاهتمام العام
غالبا ما ينطوي الفشل الكبدي الحاد على التدهور السريع في الحالة العقلية واحتمال فشل أعضاء متعددة، لذا ينبغي أن يُعالَج المرضى في وحدة العناية المركزة[18]، أو في مركز زرع. قد يمنع الترياق أو العلاج المحدد مبكرًا الحاجة لزرع الكبد ويقلل من احتمالات النتائج السيئة.[19]
علاج المضاعفات العصبية
يجب أن يُنقل المرضى الذين يعانون من الدرجة الأولى والثانية من اعتلال الدماغ إلى مركز لزراعة الكبد. إجراء التصوير المقطعي للدماغ (CT) لاستبعاد الأسباب الأخرى لتغيير الحالة العقلية أو الإعاقة. يمكن علاج الانفعالات بواسطة البنزوديازيبينات قصيرة المفعول في جرعات صغيرة. ويمكن إعطاء لاكتولوز في هذه المرحلة. أشار تقرير أوّلي من ALFSG على 117 مريض إلى أن استخدام لاكتولوز خلال الأسبوع الأول يرتبط بزيادة طفيفة في وقت البقاء على قيد الحياة، ولكن مع عدم وجود اختلاف في شدة التهاب الدماغ أو في النتيجة الإجمالية. بالنسبة لمرضى اعتلال الدماغ الدرجة الثالثة والرابعة، فيجب عمل التنبيب لحماية مجرى الهواء. تستخدم العديد من المراكز البروبوفول للتخدير لأنه قد يقلل من الدم إلى المخ. يجب أن تكون الرأس مرتفعة على السرير إلى 30 درجة، ويجب رصد الشوارد، وغازات الدم والجلوكوز، والحالة العقلية باستمرار.[20][21]
علاج مضاعفات القلب والأوعية الدموية
زيادة النتاج القلبي وانخفاض المقاومة الوعائية هي سمة من سمات الفشل الكبدي الحاد. وينبغي عمل قسطرة للشريان الرئوي. يُعالَج انخفاض ضغط الدم بشكل تفضيلي مع السوائل، ولكن إذا فشلت فينبغي استخدام رافعات الضغط مثل الأدرينالين، نورأدرينالين، أو الدوبامين، للحفاظ على متوسط الضغط الشرياني من 50-60 ملم زئبق. وينبغي تجنب العوامل المُضيّقة للأوعية (خاصةً الفازوبريسين).[22]
علاج المضاعفات الرئوية
تحدث الوذمة الرئوية والتهابات الرئة بشكل شائع في المرضى الذين يعانون من الفشل الكبدي الحاد. وقد تكون هناك حاجة للتنفس الصناعي. لكن يُمكن أن يسبب ضغط نهاية الزفير الإيجابي تفاقُم الوذمة الدماغية.[23]
علاج تجلط الدم والنزيف المعوي
يُعد ضعف تصنيع عوامل التخثر من الكبد، انحلال الفيبرين بدرجة منخفضة، وتجلط الدم داخل الأوعية الدموية نموذجيًا لفشل الكبد الحاد، نقص الصفيحات أمر شائع أيضًا. من المُستحسن العلاج التعويضي فقط في حالات النزف أو قبل إجراء الجراحة. يمكن إعطاء فيتامين K لعلاج وقت البروثرومبين غير الطبيعي، بغض النظر عن ما إذا كان هناك سوء للحالة التغذوية. يُفضّل استخدام العلاج الوقائي لنزيف الجهاز الهضمي مثل مانع الهستامين 2 (H2) ، مُثبّط مضخة البروتون، أو سوكرالفات.[24]
التغذية، والكهارل، وخلل التمثيل الغذائي
في المرضى الذين يعانون من الدرجة الأولى أو الثانية من اعتلال الدماغ، ينبغي أن تبدأ التغذية المعوية في وقت مبكر. وينبغي استخدام التغذية الوريدية فقط إذا وَجَب منع التغذية المعوية حيث أنها تزيد من خطر العدوى. التقييد الشديد لتناول البروتين ليس مفيدًا، 60 غ / يوم من البروتين مناسب. يُفضّل استبدال السوائل مع الغروي (مثل الألبيومين) بدلًا من البلوراني (مثل المحلول الملحي). وينبغي أن تتضمن جميع الطرق دكستروز للحفاظ على مستوى سكر طبيعي بالدم. اختلال الكهارل أمر شائع في المرض. تصحيح نقص بوتاسيوم الدم ضروري حيث أن نقص بوتاسيوم الدم يزيد من إنتاج الكلى للأمونيا، فيتفاقم اعتلال الدماغ. نقص فوسفات الدم شائع خاصة في المرضى الذين يعانون من فشل كبدي حاد يسببه الأسيتامينوفين. يحدث نقص السكر في الدم في كثير من المرضى الذين يعانون من الفشل الكبدي الحاد وغالبًا ما يكون نتيجة لنضوب مخازن الجليكوجين في الكبد وضعف تصنيع السكر.[25]
علاج العدوى
تشيع العدوى البكتيرية والفطرية في الفشل الكبدي الحاد، في حوالي 80٪ من المرضى. وذلك نتيجة خلل المناعة الخلوية والخلطية وكذلك القسطرة، والغيبوبة، والمضادات الحيوية واسعة المدى، والأدوية التي تثبط المناعة. غالبًا مالاتظهر أعراض العدوى مثل الحمى والبلغم، وتكون الدلائل الوحيدة للعدوى هي تفاقم التهاب الدماغ أو وظائف الكلى. يجب أن يتم الحصول على مزارع متكررة (الدم والبول، والبلغم)، الأشعة على الصدر، والبزل. كثيرًا ما تكون البكتيريا التي تدخل عن طريق الجلد هي العقديات والمكورات العنقودية. وجود الفطريات المنتشرة في الدم هو علامة على سوء الحالة.[26]
زرع الكبد
أدى ظهور زرع الكبد إلى تغيير معدل البقاء على قيد الحياة من ما يصل إلى 15٪ إلى أكثر من 60٪ اليوم. ويمكن تحقيق معدلات البقاء على قيد الحياة من 56-90٪. يمثل الشفاء التلقائي حوالي 40٪. يبقى تطبيق زرع الكبد بين المرضى الذين يعانون من الفشل الكبدي منخفضًا، مما يشير إلى أن الإمكانات الكاملة لهذه الطريقة قد لا تتحقق. توفُّر في الوقت المناسب للزرع هو أحد العوامل الرئيسية التي تحدد نتائج الزرع. في أكبر دراسة أمريكية، تلقى 29٪ فقط من المرضى زراعة الكبد، في حين توفي 10٪ من المجموعة الشاملة (ربع المرضى المُدرَجة للزرع) على قائمة الانتظار. وذكرت سلسلة أخرى أن معدلات الوفيات تصل إلى 40٪، معدل البقاء على قيد الحياة نتيجة للأسباب المختلفة تقريبًا متساوي في جميع الفئات: أسيتامينوفين، 73٪، الأدوية 70٪، مجموعة غير محددة، 64٪، وغيرها من الأسباب، 61٪. وتضمنت أسباب الوفاة لـ101 مريض الذين لقوا حتفهم في غضون فترة 3 أسابيع: الوذمة الدماغية، فشل أعضاء متعددة، وتسمم الدم، عدم انتظام ضربات القلب أو توقفه وفشل في الجهاز التنفسي. وكان متوسط الوقت قبل الموت بعد دخول المستشفى 5 أيام.
أسيتيل سيستسين
وُجد أن حقن الأسيتيل سيستين بالوريد مفيد في كلٍّ من سُمّية الأسيتامينوفين وحتى فشل الكبد الحاد بدون صلة للأسيتامينوفين.[27]
تقدُّم المرض
تاريخًيا كان معدل الوفيات عال، ما يزيد على 80٪.[28] في السنوات الأخيرة نتيجة ظهور زراعة الكبد وتعدد تخصصات دعم العناية المركزة تحسَّنت فرص البقاء على قيد الحياة بشكل كبير. في الوقت الحاضر البقاء على قيد الحياة على المدى القصير مع الزرع أكثر من 65٪.[29]
وقد وُضعت عدة أنظمة تهدف للتنبؤ بالوفيات وتحديد الحاجة لعملية زرع كبد في وقت مبكر. وتشمل: معايير مستشفى كينجز كوليدج، ومعايير كليشي.
التسمية
حتى الآن، لا توجد تسمية مُعتمَدة عالميًا. قدَّم تري وديفيدسون عبارة فشل كبدي مداهم في عام 1970، التي وصفوها بأنها "حالة قابلة للشفاء، نتيجة لإصابة شديدة للكبد، مع بداية اعتلال الدماغ في غضون 8 أسابيع من ظهور الأعراض الأولى وفي غياب أمراض مُسبّقة بالكبد".[30] وفي وقت لاحق، اقتُرح أن يكون لفظ مداهم مقتصرًا على المرضى الذين يصابون باليرقان إلى التهاب الدماغ في حدود أسبوعين.[31][32] وقد صاغ عبارة الفشل الكبدي شبه المداهم وأواخر الفشل الكبدي بين أسبوعبن إلى 3 أشهر ولمدة 8 أسابيع إلى 24 أسبوع، على التوالي. واقتُرحت عبارة فشل الكبد الحاد من قِبل مجموعة كلية الملك. ومن المفارقات، أن أفضل تقدُّم للمرض يكون في الحالات مُفرِطة الحدّة[33]
انظر أيضًا
مصادر
- O'Grady JG, Schalm SW, Williams R (1993). "Acute liver failure: redefining the syndromes". Lancet. 342 (8866): 273–5. doi:10.1016/0140-6736(93)91818-7. PMID 8101303. مؤرشف من الأصل في 5 يونيو 2019. الوسيط
|CitationClass=تم تجاهله (مساعدة) - O'Grady JG (2005). "Acute liver failure". Postgraduate Medical Journal. 81 (953): 148–54. doi:10.1136/pgmj.2004.026005. PMC 1743234. PMID 15749789. الوسيط
|CitationClass=تم تجاهله (مساعدة) - Sleisenger, edited by Mark Feldman, Lawrence S. Friedman, Lawrence J. Brandt; consulting editor, Marvin H. (2009). Sleisenger & Fordtran's gastrointestinal and liver disease pathophysiology, diagnosis, management (PDF) (الطبعة 9th). St. Louis, Mo.: MD Consult. ISBN 978-1-4160-6189-2. مؤرشف من الأصل (PDF) في 3 مارس 2016. الوسيط
|CitationClass=تم تجاهله (مساعدة)صيانة CS1: نص إضافي: قائمة المؤلفون (link) - Sood, Gagan K. "Acute Liver Failure". Mescape. مؤرشف من الأصل في 10 مايو 2019. اطلع عليه بتاريخ 14 ديسمبر 2011. الوسيط
|CitationClass=تم تجاهله (مساعدة) - Hazell, Alan S.; Butterworth, Roger F. (1999). "Hepatic encephalopathy: An update of pathophysiologic mechanisms". Proc. Soc. Exp. Biol. Med. 222 (2): 99–112. doi:10.1046/j.1525-1373.1999.d01-120.x. PMID 10564534. الوسيط
|CitationClass=تم تجاهله (مساعدة) - Larsen FS, Wendon J (2002). "Brain edema in liver failure: basic physiologic principles and management". Liver Transpl. 8 (11): 983–9. doi:10.1053/jlts.2002.35779. PMID 12424710. الوسيط
|CitationClass=تم تجاهله (مساعدة) - Armstrong IR, Pollok A, Lee A (1993). "Complications of intracranial pressure monitoring in fulminant hepatic failure". Lancet. 341 (8846): 690–1. doi:10.1016/0140-6736(93)90458-S. PMID 8095592. الوسيط
|CitationClass=تم تجاهله (مساعدة) - Schmidt LE, Larsen FS (2006). "Prognostic implications of حمض اللبنيك, multiple organ failure, and systemic inflammatory response syndrome in patients with acetaminophen-induced acute liver failure". Crit. Care Med. 34 (2): 337–43. doi:10.1097/01.CCM.0000194724.70031.B6. PMID 16424712. الوسيط
|CitationClass=تم تجاهله (مساعدة) - Gimson AE (1996). "Fulminant and late onset hepatic failure". British journal of anaesthesia. 77 (1): 90–8. doi:10.1093/bja/77.1.90. PMID 8703634. الوسيط
|CitationClass=تم تجاهله (مساعدة) - Harry R, Auzinger G, Wendon J (2002). "The clinical importance of adrenal insufficiency in acute hepatic dysfunction". Hepatology. 36 (2): 395–402. doi:10.1053/jhep.2002.34514. PMID 12143048. الوسيط
|CitationClass=تم تجاهله (مساعدة) - Bihari D, Gimson AE, Waterson M, Williams R (1985). "Tissue hypoxia during fulminant hepatic failure". Crit. Care Med. 13 (12): 1034–9. doi:10.1097/00003246-198512000-00010. PMID 3933911. الوسيط
|CitationClass=تم تجاهله (مساعدة) - Trewby PN, Warren R, Contini S, et al. (1978). "Incidence and pathophysiology of pulmonary edema in fulminant hepatic failure". Gastroenterology. 74 (5 Pt 1): 859–65. PMID 346431. الوسيط
|CitationClass=تم تجاهله (مساعدة) - Li XM, Ma L, Yang YB, Shi ZJ, Zhou SS (2005). "Clinical characteristics of fulminant hepatitis in pregnancy". World J Gastroenterol. 11 (29): 4600–3. PMID 16052697. الوسيط
|CitationClass=تم تجاهله (مساعدة) - Li XM, Ma L, Yang YB, Shi ZJ, Zhou SS (2005). "Prognostic factors of fulminant hepatitis in pregnancy". Chin Med J (Engl). 118 (20): 1754–7. PMID 16313765. الوسيط
|CitationClass=تم تجاهله (مساعدة) - Boyer JL, Klatskin G (1970). "Pattern of necrosis in acute viral hepatitis. Prognostic value of bridging (subacute hepatic necrosis)". N. Engl. J. Med. 283 (20): 1063–71. doi:10.1056/NEJM197011122832001. PMID 4319402. الوسيط
|CitationClass=تم تجاهله (مساعدة) - Polson J, Lee WM (2005). "AASLD position paper: the management of acute liver failure". Hepatology. 41 (5): 1179–97. doi:10.1002/hep.20703. PMID 15841455. الوسيط
|CitationClass=تم تجاهله (مساعدة) - O'Grady JG, Alexander GJ, Hayllar KM, Williams R (1989). "Early indicators of prognosis in fulminant hepatic failure". Gastroenterology. 97 (2): 439–45. PMID 2490426. الوسيط
|CitationClass=تم تجاهله (مساعدة) - Jalan, R (2005). "Acute liver failure: current management and future prospects". Journal of hepatology. 42 Suppl (1): S115-23. doi:10.1016/j.jhep.2004.11.010. PMID 15777566. الوسيط
|CitationClass=تم تجاهله (مساعدة) - Polson, J; Lee, WM; American Association for the Study of Liver, Disease (May 2005). "AASLD position paper: the management of acute liver failure". Hepatology (Baltimore, Md.). 41 (5): 1179–97. doi:10.1002/hep.20703. PMID 15841455. الوسيط
|CitationClass=تم تجاهله (مساعدة) - Jalan, R (August 2003). "Intracranial hypertension in acute liver failure: pathophysiological basis of rational management". Seminars in liver disease. 23 (3): 271–82. doi:10.1055/s-2003-42645. PMID 14523680. الوسيط
|CitationClass=تم تجاهله (مساعدة) - Jalan, R; Olde Damink, SW; Deutz, NE; Davies, NA; Garden, OJ; Madhavan, KK; Hayes, PC; Lee, A (27 June 2003). "Moderate hypothermia prevents cerebral hyperemia and increase in intracranial pressure in patients undergoing liver transplantation for acute liver failure". Transplantation. 75 (12): 2034–9. doi:10.1097/01.tp.0000066240.42113.ff. PMID 12829907. الوسيط
|CitationClass=تم تجاهله (مساعدة) - Murphy, N; Auzinger, G; Bernel, W; Wendon, J (February 2004). "The effect of hypertonic sodium chloride on intracranial pressure in patients with acute liver failure". Hepatology (Baltimore, Md.). 39 (2): 464–70. doi:10.1002/hep.20056. PMID 14767999. الوسيط
|CitationClass=تم تجاهله (مساعدة) - Wijdicks, EF; Nyberg, SL (June 2002). "Propofol to control intracranial pressure in fulminant hepatic failure". Transplantation proceedings. 34 (4): 1220–2. doi:10.1016/s0041-1345(02)02804-x. PMID 12072321. الوسيط
|CitationClass=تم تجاهله (مساعدة) - Shami, VM; Caldwell, SH; Hespenheide, EE; Arseneau, KO; Bickston, SJ; Macik, BG (February 2003). "Recombinant activated factor VII for coagulopathy in fulminant hepatic failure compared with conventional therapy". Liver transplantation : official publication of the American Association for the Study of Liver Diseases and the International Liver Transplantation Society. 9 (2): 138–43. doi:10.1053/jlts.2003.50017. PMID 12548507. الوسيط
|CitationClass=تم تجاهله (مساعدة) - Brown RS, Jr; Russo, MW; Lai, M; Shiffman, ML; Richardson, MC; Everhart, JE; Hoofnagle, JH (27 February 2003). "A survey of liver transplantation from living adult donors in the United States". The New England Journal of Medicine. 348 (9): 818–25. doi:10.1056/nejmsa021345. PMID 12606737. الوسيط
|CitationClass=تم تجاهله (مساعدة) - Farmer, DG; Anselmo, DM; Ghobrial, RM; Yersiz, H; McDiarmid, SV; Cao, C; Weaver, M; Figueroa, J; Khan, K; Vargas, J; Saab, S; Han, S; Durazo, F; Goldstein, L; Holt, C; Busuttil, RW (May 2003). "Liver transplantation for fulminant hepatic failure: experience with more than 200 patients over a 17-year period". Annals of Surgery. 237 (5): 666–75, discussion 675–6. doi:10.1097/01.sla.0000064365.54197.9e. PMID 12724633. الوسيط
|CitationClass=تم تجاهله (مساعدة) - Lee WM, Hynan LS, Rossaro L, et al. (September 2009). "Intravenous N-acetylcysteine improves transplant-free survival in early stage non-acetaminophen acute liver failure". Gastroenterology. 137 (3): 856–64, 864.e1. doi:10.1053/j.gastro.2009.06.006. PMC 3189485. PMID 19524577. الوسيط
|CitationClass=تم تجاهله (مساعدة) - Rakela J, Lange SM, Ludwig J, Baldus WP (1985). "Fulminant hepatitis: Mayo Clinic experience with 34 cases". Mayo Clin. Proc. 60 (5): 289–92. doi:10.1016/s0025-6196(12)60534-5. PMID 3921780. الوسيط
|CitationClass=تم تجاهله (مساعدة) - Ostapowicz G, Fontana RJ, Schiødt FV, et al. (2002). "Results of a prospective study of acute liver failure at 17 tertiary care centers in the United States". Ann. Intern. Med. 137 (12): 947–54. doi:10.7326/0003-4819-137-12-200212170-00007. PMID 12484709. الوسيط
|CitationClass=تم تجاهله (مساعدة) - Trey C, Davidson CS (1970). "The management of fulminant hepatic failure". Progress in liver diseases. 3: 282–98. PMID 4908702. الوسيط
|CitationClass=تم تجاهله (مساعدة) - Bernuau J, Goudeau A, Poynard T, et al. (1986). "Multivariate analysis of prognostic factors in fulminant hepatitis B". Hepatology. 6 (4): 648–51. doi:10.1002/hep.1840060417. PMID 3732998. الوسيط
|CitationClass=تم تجاهله (مساعدة) - Gimson AE, O'Grady J, Ede RJ, Portmann B, Williams R (1986). "Late onset hepatic failure: clinical, serological and histological features". Hepatology. 6 (2): 288–94. doi:10.1002/hep.1840060222. PMID 3082735. الوسيط
|CitationClass=تم تجاهله (مساعدة) - Sass DA, Shakil AO (2005). "Fulminant hepatic failure". Liver Transpl. 11 (6): 594–605. doi:10.1002/lt.20435. PMID 15915484. الوسيط
|CitationClass=تم تجاهله (مساعدة)
