بزل الصدر
بزل الصدر هو إجراء لإزالة سائل أو هواء من غشاء الجنب لأغراض تشخيصية أو علاجية. هو ادخال قنية، أو إبرة مجوفة، في القفص الصدري، بعد إعطاء تخدير موضعي. وكان أول وصف للإجراء في 1852. الموقع الموصى به يختلف تبعا للمصدر.مع حبس النفس من قبل المريض لتجنب ثقب الرئة. يوصي بعض المصادر خط منتصف الإبط، في الفضاء الضلعي التاسع.
| بزل الصدر | |
|---|---|
| Thoracentesis | |
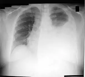
![]() تصوير الصدر بالأشعة السينية showing a left-sided انصباب جنبي (right side of image). This can be treated with thoracentesis. | |
| معلومات عامة | |
| من أنواع | إجراء طبي ، وبزل |

الأدوات المستخدمة في بزل الصدر وأخذ خزعة إبْريَّة (خزعة باستخدام الإبرة).[1]
الاستطباب
يشار إلى هذا الإجراء عندما تتراكم السوائل غير المبررة في تجويف الصدر خارج الرئة. في أكثر من 90 ٪ من الحالات تحليل السائل الجنبي يعطي معلومات مفيدة سريريا. إذا كانت كمية السائل كبيرة، يمكن استخدام هذا الإجراء كعلاجي لإزالة هذا السوائل ولراحة المريض وتحسين وظائف الرئة.
الأسباب الأكثر شيوعا من الانصباب الجنبي هي سرطان، فشل القلب الاحتقاني، الالتهاب الرئوي، وأخيرا جراحيا. في البلدان حيث السل هو شائع يعد أيضا سبب شائع للالانصباب الجنبي.
فعند تعلل القلب والرئة (أي عندما يكون سائل أو هواء في الصدر وتداعياتها على وظيفة القلب والرئتين)، وذلك بسبب الهواء مثل(استرواح الصدر)، السائل (السائل الجنبي) أو الدم (صدر مدمى) خارج الرئة، عادة يتم استبدال هذا الإجراء مع أنبوب فغر الصدر، ووضع أنبوب كبير في الفضاء الجنبي.
موانع
مريض غير متعاون أو جلطات الدم التي لا يمكن تصحيحها. هي موانع مطلقة
موانع نسبية وتشمل الحالات التي يكون فيها موقع الإدراج فيه المرض الفقاعي (مثل نفاخ رئوي)، واستخدام نهاية الزفير الإيجابي الضغط (PEEP، انظر التهوية الميكانيكية) وعمل واحد فقط الرئة (بسبب تناقص احتياطي). وينبغي ألا يتجاوز السحب ليتر واحد حيث هناك خطر من تطور وذمة رئوية.
المضاعفات
المضاعفات الرئيسية هي استرواح الصدر (30-30 ٪)، استرواح الصدر المدمى، نزف، انخفاض ضغط الدم (انخفاض ضغط الدم نتيجة لاستجابة العصب المبهمي) ووذمة رئوية. نتيحة إعادة التوسع
وتشمل مضاعفات طفيفة،دم تحت الجلد أو تورم مصلي، وقلق، وضيق التنفس والسعال (بعد ازالة كمية كبيرة من السوائل).
يمكن استخدام الموجات فوق الصوتية لتوجيه الإبرة وتقليل نسبة المضاعفات.
تفسير تحليل السائل الجنبي
أدوات تشخيص عدة متاحة لتحديد المسببات من السائل الجنبي.
ترشيح ام افراز
أولا السائل هو إما رشحة أو نضحة.
ويعرف بالرشحة عندما تكون نسبة بروتين السائل الجنبي لبروتين المصل الكلي أقل من 0.5 ،و نسبة LDHالسائل الجنبي إلى المصل <0.6، وLDHالسائل الجنبي المطلق <200 وحدة دولية أوLDHالسائل الجنبي <2 / 3 من المصل العادي.
والإفراز هو أي السائل الذي نقل من نظام الدورة الدموية في مناطق الآفات أو الالتهاب. يختلف تكوينه لكنه يشمل عموما الماء والأملاح الذائبة من السوائل في الدورة الدموية الرئيسية، مثل الدم. في حالة الدم: انها سوف تحتوي على بعض أو كل بروتينات البلازما وخلايا الدم البيضاء والصفائح الدموية و(في حالة تلف الأوعية الدموية المحلية) خلايا الدم الحمراء.
الإفرازات
- نزف
- عدوى
- التهاب
- سرطان
- علاجي المنشأ
- مرض النسيج الضام
- اضطرابات الغدد الصماء
- اضطرابات الجهاز اللمفاوي التضييقية التامور
رشحة
- قصور القلب الاحتقاني.
- المتلازمة الكلوية
- نقص ألبومين الدم
- تليف الكبد
- انخماص
- حصر الرئة
- غسيل الكلية
- فخمة انسداد الوريد الأجوف
الأميليز
مستوى الأميليز عالي (ضعف مستوى المصل أو القيمة المطلقة أكبر من 160وحدة) في السائل الجنبي يدل إما التهاب حاد أو مزمن للبنكرياس، كيس البنكرياس كاذب والذي تمزق في مساحة الجنبي، سرطان أو تمزق المريء.
الجلوكوز
وتعتبر هذه القيمة منخفضة إذا الجنبي السائل هو أقل من 50 ٪ من قيمة المصل العادي. والتشخيص التفاضلي لذلك هو:
الرقم الهيدروجيني
الحموضة الطبيعية للسائل الجنبي هو 7,60 تقريبا. درجة حموضة السائل الجنبي 7,30 مع درجة الحموضة في الدم الشرياني طبيعية لديه نفس التشخيص وهو انخفاض السكر السائل الجنبي.
الدهون الثلاثية والكولسترول
الكيلوس في الصدر (السائل من أوعية لمفية قد تسربت إلى التجويف الجنبي) يمكن تحديدها من خلال تحديد مستويات الدهون الثلاثية والكولسترول، والتي تعتبر عالية نسبيا في اللمف. مستوى الدهون الثلاثية أكثر من 110 ملغ / دل وجود كيلومكرونات تشير إلى وجود انصباب كيلوسي. عموما مظهر حليبي ولكن يمكن ان يكون مصل.
السبب الرئيسي لوجود الكيلوس في الصدر هو تمزق في القناة الصدرية، في معظم الأحيان نتيجة صدمة أو سرطان (مثل ليمفوما).
عدد الخلايا والانواع
عدد خلايا الدم البيضاء يمكن أن تعطي مؤشرا للعدوى. يمكن لأنواع فرعية محددة أيضا إعطاء أدلة إلى نوع على العدوى. حيث ان كمية خلايا الدم الحمراء هي إشارة واضحة للنزيف.
الاستنباتات والصباغ
إذا كان السبب في انصباب بواسطة العدوى، فالاستنباتات الميكروبيولوجية قد تسفر عن معرفة الكائن المعدي المسؤول عن الإصابة، وأحيانا غير استنباتات (مثل استنباتات الدم واستنباتات البلغم) تصبح إيجابية. وصباغ غرام قد تعطي مؤشرا تقريبيا للكائن المسبب للمرض. تسيل نلسن قد تحدد السل أو الأمراض الفطرية الأخرى.
علم الخلية
علم الخلايا هو أداة مهمة في تحديد الانصبابات بسبب سرطان. الأسباب الأكثر شيوعا للنصباب الجنبي هي سرطان الرئة، الانبثاث من أماكن أخرى وورم الظهارة المتوسطة هذه الأخيرة غالبا ما يقدم مع انصباب. النتائج الخلايا الطبيعية لا يزيل احنمالية الورم الخبيث، ولكن يجعل التشخيص من الغير المحتمل.
انظر أيضًا
المراجع
- de Menezes Lyra R (1997). "A modified outer cannula can help thoracentesis after pleural biopsy". Chest. 112 (1): 296. doi:10.1378/chest.112.1.296. PMID 9228404. الوسيط
|CitationClass=تم تجاهله (مساعدة)
روابط خارجية
- A photo gallery of thoracentesis showing the procedure step-by-step. V. Dimov, B. Altaqi, Clinical Notes, 2005. A free PDA version.
- بوابة طب
صور وملفات صوتية من كومنز
