خثار الجيب الوريدي المخي
خثار الجيب الوريدي المخي* هو وجودُ خثرةٍ دموية في الجيوب الوريدية الجافوية التي تعمل على تصريفِ الدم من الدماغ. يَنتجُ عن هذه الحالة عددٌ من الأعراض والتي قد تشمل صداع ورؤية غير الطبيعية،[5] وأيًا من أعراض السكتة مثل النوبات التشنجية وضعف الوجه والأطراف على جانبٍ واحد من الجسم وصعوبةٍ في التحدث،[6] كما قد يحدث في كبار السن تغيراتٌ في الحالة العقلية وانخفاضٌ في مستوى الوعي.[7]
| خثار الجيب الوريدي المخي | |
|---|---|
| Cerebral venous sinus thrombosis | |
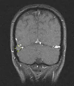
![]() خثار الجيب الوريدي المخي (الإشارات الصفراء) كما يظهر في تصوير بالرنين المغناطيسي خثار الجيب الوريدي المخي (الإشارات الصفراء) كما يظهر في تصوير بالرنين المغناطيسي | |
| تسميات أخرى | خثار الجيب والوريد المخي، خثار الجيب الجافوي، خثار الجيب السهمي (العلوي)، خثار وريدي داخل القحف التهاب الوريد الخثاري المخي |
| معلومات عامة | |
| الاختصاص | طب الجهاز العصبي |
| من أنواع | خثار وريدي ، وخثار داخل القحف |
| الأنواع | خثار وريدي، وخثار داخل القحف |
| الموقع التشريحي | تجويف القحف [1] |
| المظهر السريري | |
| الأعراض | صداع، اختلاج، ضعف |
| الإدارة | |
| التشخيص | التصوير المقطعي المحوسب، والتصوير بالرنين المغناطيسي، التصوير الوعائي الدماغي، الديمر-دي |
| أدوية | |
| المآل | شفاء تام في 57.1% من الحالات[2] |
| الوبائيات | |
| انتشار المرض | |
| الوفيات | 8.3% من الحالات[2] |
يحدثُ خثار الجيب الوريدي المخي بشكلٍ شائع في حالاتٍ مُعينة، والتي تتضمن أهبة التخثر والمتلازمة الكلوية وبعض الأمراض الالتهابية المُزمنة وغيرها، كما قد يحدث الخثار مؤقتًا في الحمل والنفاس.[6] يُشخص خثار الجيب الوريدي المخي عادةً باستعمال التصوير المقطعي المحوسب (CT) أو التصوير بالرنين المغناطيسي (MRI)، حيثُ تساعد هذه التقنيات على إظهار الانسداد في الجيوب الوريدية،[6] كما أنهُ قد تُجرى بعض الاختبارات والفحوصات الأُخرى لمحاولةِ تحديد السبب الأساسي للحالة.[6]
تُعالج الحالة عادةً باستعمال مضادات التخثر (وهي الأدوية التي تعمل على تثبيط تخثر الدم) مثل الهيبارين منخفض الوزن الجزيئي.[8] قد تستعمل أدوية انحلال الخثرة (إتلاف إنزيمي للخثرة الدموية) والي تستعمل نادرًا وفي حالاتٍ معينة. قد يتضاعف المرض بسبب زيادة الضغط داخل القحف، والذي قد يستدعي تدخلًا جراحيًا مثل إنشاء تحويلةٍ دماغية.[6]
من النادر حدوث خثار الجيب الوريدي المخي، حيثُ يُقدر عدد الحالات المُصابة بين البالغين سنويًا بحوالي 3 إلى 4 حالات لكل مليون شخص، ويكون أكثر شيوعًا في العقد الثالث من العمر، وحوالي 75% من الحالات تكون في النساء بسبب استعمال حبوب منع الحمل.[3] أما في الأطفال، فيحدثُ سنويًا بمعدل 6.7 حالة لكل مليون طفل.[4]
يُعتبر الطبيب الفرنسي ريبس أول من وصفَ خثار الجيب الوريدي المخي عام 1825، ولكن هذه الحالة ظلت تُشخص بعد وفاة الأفراد حتى النصف الثاني من القرن العشرين،[9] حيثُ قام الطبيب الإنجليزي تشارلز سيموندز بتقديمٍ تقريرٍ سمحَ بإمكانية التشخيص السريري لخثار الجيب الوريدي المخي، بالاعتماد على علاماتٍ وأعراضٍ مُعينة، بالإضافة إلى نتائجِ البزل القطني.[10]
التسمية
خُثار الجَيب الوَريدِي المُخّي^[11] (بالإنجليزية: Cerebral venous sinus thrombosis) وتُدعى اختصارًا CVST، وتسمى أيضًا:
- خثار الجيب والوريد المخي (Cerebral venous and sinus thrombosis).
- خثار الجيب الجافوي (Dural sinus thrombosis).[12][13]
- خثار الجيب السهمي (العلوي) ((Superior) sagittal sinus thrombosis)).[14]
- خثار وريدي داخل القحف (Intracranial venous thrombosis).
- التهاب الوريد الخثاري المخي (Cerebral thrombophlebitis).
الأعراض والعلامات

يُعاني تسعة من كل عشرةِ أشخاصٍ مُصابين بالخثار الجيبي من الصداع، والذي يزداد سوءًا على مدار عدة أيام، ولكنه قد يتفاقم فجأةً فيما يعرفُ بصداع الرعد.[6] قد يكون الصُداع العرضَ الوحيد لخثار الجيب الوريدي المخي.[5] يُعاني العديد من المرضى من أعراضِ السكتة الدماغية مثل عدم القدرة على تحريك طرفٍ واحدٍ أو أكثر، وضعفٍ في أحد جوانب الوجه، وصعوبةٍ في التحدث، كما أنَّ هذه الأعراض لا تؤثر بالضرورة على جانبٍ واحدٍ من الجسم كما هو شائعٌ في السكتة الدماغية الشريانية.[6]
يُعاني 40% من المرضى من نوباتٍ صرعية، ولكنها أكثر شيوعًا في النساء المُصابات بالخثار الجيبي في الفترة المحيطة بالولادة (قبل أو بعد الولادة)،[3] وهذه النوبات غالبًا تُؤَثر على جزءٍ واحدٍ من الجسم وتكون أحادية الجانب (تحديث في جانبٍ واحدٍ فقط)، ولكن أحيانًا قد تكون النوبات عامة، ونادرًا ما تؤدي لحدوث الحالة الصرعية المتَمثلة في نشاطٍ نوبي مُستمر أو متكرر لفترةٍ طويلة من الزمن.[6]
قد لا تحدث العديد من هذه الأعراض في كبارِ السن، ومن الأعراض الشائعة لكبار السن المُصابين هو حدوثُ تغيُراتٍ غير مُفسّرة في حالتهم العقلية مع انخفاضٍ في مستوى الوعي لديهم.[7]
قد يرتفع الضغط حول الدماغ مسببًا وذمةً في حليمة العصب البصري (انتفاخ في القرص البصري) والتي قد تظهر على شكل اضطراباتٍ بصرية. أما في حالات الازدياد الشديد في الضغط داخل القحف، فإنَّ مستوى الوعي ينخفض، وضغط الدم يرتفع، ويحدثُ بطء في القلب، ويتخذ المريض وضعيةً غير طبيعية.[6]
الإمراض

تُفرغ الأوردة الدماغية السطحية والعميقة محتواها في الجيوب الوريدية الجافوية، والتي بدورها تنقل الدم إلى الوريد الوداجي ومن ثم إلى القلب. في خثار الجيب الوريدي المخي تتكون الخثرات الدموية عادةً في الأوردة الدماغية والجيوب الوريدية. خثار الدم في الأوردة نفسها يُسبب احتشاءً وريديًا، والذي بدوره يؤدي إلى تلفٍ في أنسجة الدماغ بسبب الاحتقان المؤدي لنقص التروية الدموية، مما يؤدي لحدوث وذمةٍ دماغية (وذمة وعائية المنشأ وسامة للخلايا)، كما تؤدي إلى نزيفٍ حبري صغير قد يتحول إلى ورمٍ دمويٍ كبير. يعتبر خثار الجيوب الآلية الرئيسية لحدوث زيادةٍ في الضغط داخل القحف بسبب انخفاض إعادة امتصاص السائل الدماغي الشوكي (CSF)، ولكن على الرغم من ذلك، إلا أنَّ هذه الحالة لا تؤدي إلى حدوث استسقاء الرأس، وذلك لأنه لا يُوجد فرق بالضغط بين أجزاءٍ مختلفة من الدماغ.[6]
تتشكل الخثارات الدموية بسبب خللٍ في التوازن بين التخثير (تكون بروتين الفايبرين الدموي غير القابل للذوبان) وانحلال الفايبرين. هُناك ثلاثُ آلياتٍ رئيسية لهذا الخلل في التوازن، وهي واردة في ثالوث فيرخوف: تغيراتٌ في التدفق الطبيعي الدم، وإصابةٌ في جدار الوعاء الدموي، وتغيراتٌ في مكوناتِ الدم (فرط الخثورية). تحدث معظم حالات خثار الجيب الوريدي المخي بسبب فرط الخثورية.[6]
يُمكن أن تنفصل الخُثرة وتنتقل إلى الرئتين، مسببةً انصمامًا رئوي (انسداد رئوي).[6][3] أظهر تحليلٌ لتقارير حالاتٍ سابقةٍ أنَّ انفصال وانتقال الخُثرة يحدثُ في حوالي 10% من الحالات، ويكون مآل هذه الحالات سيئًا جدًا.[15]
الأسباب
يحدثُ خثار الجيب الوريدي المخي بشكلٍ شائع في حالاتٍ مُعينة، حيثُ أنَّ 85% من المرضى لديهم عامل خطر واحد على الأقل، ومن عوامل الخطر:[6]
- أهبة التخثر، وهي الميلُ لحدوث تخثراتٍ دموية؛ بسبب اضطراباتٍ في التخثر، مثل: العامل الخامس لايدن، نقص بروتين سي أو بروتين إس أو مضاد الثرومبين، أو أيُ حالةٍ مرتبطةٍ بالتخثر.
- المتلازمة الكلوية، وهي اضطرابٌ كلوي يؤدي إلى فقد البروتين في البول.
- الأمراض الالتهابية المُزمنة، مثل داء الأمعاء الالتهابي، الذئبة الحمامية، مرض بهجت.
- الحمل والنفاس (الفترة بعد الولادة).
- بعضُ الاضطرابات الدموية، وخصوصًا كثرة الحمر الحقيقية والبيلة الهيموغلوبينية الليلية الانتيابية.
- استعمال أشكال وسائل تحديد النسل الهرمونية المحتوية على الإستروجين.
- التهاب السحايا وعداوى الأذن والأنف والحنجرة، مثل التهاب النتوء الحلمي والتهاب الجيوب.
- إصابةٌ مباشرة في الجيوب الوريدية.
- إجراءاتٌ طبية في الرأس والرقبة.
- التجفاف، وخصوصًا في الرُضع والأطفال.
- فقر الدم المنجلي.
- البيلة الهوموسيستينية.
التشخيص
قد يُشتبه بحدوث خثار الجيب الوريدي المخي بناءً على الأعراض، فمثلًا عند حدوثِ الصداع مع علامات ارتفاع الضغط داخل القحف واضطراباتٍ عصبية بؤرية، كما أنَّ الأعراض قد تُساعد في استبعادِ اضطراباتٍ أُخرى، مثلًا عند استبعاد الأسباب الأُخرى للصداع والاضطرابات العصبية مثل النزف تحت العنكبوتية.[6]
التصوير الطبي

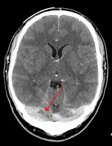
تُوجد العديد من إجراءات التصوير العصبي التي تُساعد في اكتشاف خثار الجيب المخي. قد تكون الوذمة الدماغية والاحتشاء الوريدي ظاهرةً في أي طريقة تصوير، أما للكشف عن الخثرة نفسها، فإنَّ التصوير المقطعي المحوسب (CT) والتصوير بالرنين المغناطيسي (MRI) يُعتبران التقنيات الأكثر شيوعًا لذلك، حيثُ يستخدم كلاهما أنواعًا مختلفة من المواد المظللة لإجراء صورة الوريد، والتي تساعد في إظهار الأوردة حول الدماغ.[6]
يمتلكُ التصوير المقطعي المُحوسب بالمادة المظللة في الطور الوريدي (التصوير الوريدي المقطعي المحوسب) معدلَ اكتشافٍ للحالات يتجاوز التصوير بالرنين المغناطيسي في بعض الأحيان. يجرى الفحص عبر حقن مادةٍ مُشعةٍ معتمة في وريد (غالبًا في الذراع)، ثُم يترك لبعضِ الوقت كي يتسنى لمجرى الدم حمل المادة إلى الأُوردة الدماغية، وعند هذه اللحظة يُجرى التصوير. تبلغ حساسية التصوير حوالي 75-100% (أي يكشف عن 75-100% من الخثرات الموجودة)، كما أنَّ نوعيته حوالي 81-100% (أي يكون إيجابيًا زائفًا في 0-19% من الحالات). في أول أسبوعين، يُمكن ملاحظة علامة دلتا الفارغة (Empty delta sign) والتي قد تختفي في المراحل المُتأخرة.[16]
يَستخدم تصوير الأوردة بالرنين المغناطيسي نفس الأُسس، ولكن التصوير بالرنين المغناطيسي يُستعمل كطريقةٍ للمسح. يمتلك التصوير بالرنين المغناطيسي ميزةً بأنهُ أفضل في اكتشاف الأضرار التي لحقت بالدماغ نفسه نتيجةً للضغط المُتزايد على الأوردة المسدودة، ولكنه غير متوافرٍ بسهولة في العديد من المُستشفيات، كما أنَّ تفسير نتائجه عادةً ما يكون صعبًا.[16]
قد يُساعد التصوير الوعائي الدماغي على إظهار الخُثرات الصغيرة والتي قد لا تظهر في التصوير المقطعي المحوسب أو التصوير بالرنين المغناطيسي، كما أنَّ الأوردة المسدودة قد تظهر بمظهر لولبي (كلولب أو مبرام انتزاع سدادة الفلين)،[6] وعلى الرغم من هذا، إلا أنَّ التصوير الوعائي الدماغي يتطلب ثقب الشريان الفخذي ثم دفع أنبوبٍ رفيعٍ في داخله عبر الأوعية الدموية حتى يصل الدماغ، حيثُ تُحقن مادة مظللة قبل إجراء التصوير بالأشعة السينية، ولذلك فإنَّ التصوير الوعائي الدماغي يُجرى فقط في حال كانت نتائج جميع الفحوصات الأُخرى غير واضحة أو عندما يكون هُناك حاجة لإعطاء علاجات أُخرى خلال نفس الإجراء.

الديمر-دي
هناك علاقةٌ بين اختبار الدم ديمر-دي وخثار الجيب الوريدي المخي،[17] ولكن هذه العلاقة ليست قوية بما يكفي لاستبعاد التشخيص من خلالها،[17] حيثُ أشارت دراسةٌ أجريت عام 2004، أنَّ اختبار ديمر-دي والذي يُستخدم في تشخيصِ أشكالٍ أُخرى من الخثار، أظهر سلوكًا غير طبيعيٍ (فوق 500 ميكروغرام/لتر) عند استخدامه في تشخيص 34 مريضًا مُصابًا بخثار الجيب الوريدي المخي من أصل 35 مريضًا، كما أنه يُظهر حساسية حوالي 97.1%، ونوعية حوالي 91.2%، ولكن القيمة التكهنية السلبية حوالي 99.6% مُقابل قيمة تكهنية إيجابية 55.7%، وأيضًا يرتبط مستوى ديمر-دي مع مدى تخثر الدم.[18] أظهرت دراسةٌ لاحقة أنَّ 10% من المرضى المؤكد إصابتهم بالخثار كان لديهم مستوًى طبيعي من ديمر-دي.[19]
فحوصاتٍ أخرى
في معظمِ المرضى يكون السبب المباشر لخثار الجيب الوريدي المخي ليس واضحًا بسهولة. تحديد مصدر العدوى أمر بالغٌ في الأهمية، ومن الشائع إجراء فحصٍ للأشكال المختلفة من أهبة التخثر (الإستعداد لتشكيل خثرات دموية).[6]
العلاج

أُجريت دراساتٌ مُتعددة للتحقق من استعمال مضادات التخثر لإيقاف تكون الخثرات الدموية في خثار الجيب الوريدي المخي. قبل إجراء هذه التجارب، كان هُناك قلقٌ أنَّ استعمالها قد يؤدي إلى زيادة النزيف في مناطقٍ صغيرة بالدماغ، إلا أنَّ الدراسات أظهرت أنَّ هذا الأمر لا أساس له من الصحة.[20] تُوصي إرشادات الممارسة السريرية الآن باستعمال الهيبارين أو الهيبارين منخفض الوزن الجزيئي في العلاج الأولي للحالة، ثُم يليه الوارفارين، بشرط أن لا يكون هُناك أي مخاطر نزفية أُخرى قد تجعل هذه العلاجات غير مُناسبة.[3][21][22] لا يُشجع بعض الخبراء على استعمال مضادات التخثر إذا كان هُناك نزيفُ واسع، حيثُ يوصى في هذه الحالة بتكرار التصوير الطبي بعد 7 إلى 10 أيام، فإذا انخفض حجم النزيف، يُمكن البدء باستعمال مضادات التخثر، أما إذا لم ينخفض فإنهُ لا يمكن استعمال مضادات التخثر.[23]

تعتمدُ مدة العلاج بالوارفارين على الظروف والأسباب الكامنة للحالة. إذا كان حدوث الخُثار مرتبطًا بظروفٍ مؤقتة (مثل الحمل)، فإنَّ استعماله لمدة 3 شهور يكون كافيًا، أما إذا كانت الحالة غير مُبررة ولكن لا أسباب واضحة لها أو يوجد شيءٌ طفيف من أهبة التخثر، فإنهُ ينصح باستمرار العلاج من 6 إلى 12 شهرًا. إذا كان هُناك اضطرابٌ شديدُ كامن خلف الخثار، فإنَّ العلاج بالوارفارين قد يستمر إلى أجلٍ غير مُحدد.[3]
قد يُوصف استعمال انحلال الخثرة (إزالة الخثرة الدموية باستعمال أدوية مُفكِكَة للخثرة)، ويكون استعمالها إما جهازيًا بحقنةٍ في الوريد أو مباشرةً إلى الخُثرة خلال التصوير الوعائي. أَوصت إرشادات 2006 للاتحاد الأوروبي للجمعيات العصبية أنَّ انحلال الخثرة يُستعمل فقط في المرضى الذين تسوء حالتهم على الرغم من استعمال العلاج المُناسب والكافي معهم، وفي نفس الوقت تم تقييمهم للتأكد من عدم وجود أسبابٍ أُخرى تؤدي إلى تدهور حالتهم. لا يُوجد أيُ إرشادٍ واضح أنَّ أي الأدوية أو طرق إعطاء الدواء أكثر فعالية عند الاستعمال. يُعتبر النزيف نحو الدماغ أو المناطق الأُخرى في الجسم مصدر القلق الأكبر حول استخدام انحلال الخثرة.[3] لا تُقدم الإرشادات الأمريكية أي توصياتٍ حول استعمال انحلال الخثرة، مما يُشير أنَّ الأمر يحتاج إلى المزيد من البحث.[22]
قد تكونُ هناك حاجةٌ لعلاج الارتفاع في الضغط داخل القحف، فإذا كان شديدًا أو يُضعف الرؤية، فإنه قد يحتاج لبزلٍ قطني (إزالة الكمية الزائدة من السائل الدماغي الشوكي)، أو لأدويةٍ مثل الأسيتازولاميد، أو لتدخلٍ جراحيٍ عصبي مثل نَوفَذَةِ غمد العصب البصري أو إجراءِ تحويلةٍ دماغية.[6] قد تُستعمل مضادات الاختلاج في حالاتٍ مُعينة لمنع حدوث النوبات التشنجية،[3] وهذه الحالات تتضمن المشاكل العصبية البؤرية (مثل عدم القدرة على تحريك أحد الأطراف) والتغيُرات البؤرية في نسيجِ الدماغ والتي تظهر بالأشعة المقطعية المحوسبة أو التصوير بالرنين المغناطيسي. لا تُوجد أدلةٌ كافية لدعم أو تفنيد استعمال مضادات الاختلاج كتدبيرٍ وقائي.[24]
مآل المرض
أُبلغ في عام 2004 عن أول دراسةٍ شاملة واسعة النطاق حول التاريخ الطبيعي والمآل طويل الأمد لهذا المرض، حيثُ أظهرت أنَّ 16 شهرًا من المُتابعة أدت إلى الشفاء التام في 57.1% من المرضى، أما 29.5%/2.9%/2.2% على الترتيب كان لديهم عللُ أو أعراضٌ طفيفة/متوسطة/شديدة، كما أنهُ توفيَ 8.3% من المرضى. أظهرت الدراسة أيضًا أنَّ العلل الشديدة أو الوفاة حدثت بنسبةٍ أكبر في الأشخاص الذكور، والذين تزيدُ أعمارهم عن 37 عامًا، والمُصابين بغيبوبة أو اضطرابٍ في الحالة النفسية أو نزيفٍ داخل المخ أو خثارٍ في الجهاز الوريدي المخي العميق أو عدوى في الجهاز العصبي المركزي أو لديهم سرطان.[2] في عام 2006 أُجريت مراجعةٌ منهجية لتسع عشرة دراسة، حيثُ أظهرت أنَّ معدل الوفاة يكون حوالي 5.6% خلال العلاج في المستشفيات من أصل مجموع 9.4%، كما أنَّ 88% من الناجين يتعافون كليًا أو شبه كلي. بعد عدة أشهر يحدث إعادة استقناء (recanalization) للخثرة في ثلثي الحالات. مُعدل تكرار حدوث الحالة مُنخفض (حوالي 2.8%).[25]
يكون مُعدل الوفاة مرتفعًا في الأطفال المُصابين بخثار الجيب الوريدي المخي،[26] كما أنَّ مآل المرض يكون سيئًا في حال حدوث نوباتٍ تشنجية أو وجودٍ دليلٍ تصويري على حدوث احتشاءٍ وريدي.[4]
الانتشار
حسب علم الوبائيات، فإنهُ من النادر حدوث خثار الجيب الوريدي المخي، حيثُ يُقدر عدد الحالات المُصابة بين البالغين سنويًا بحوالي 3 إلى 4 حالات لكل مليون شخص. يحدث خثار الجيب الوريدي المخي في جميع الفئات العمرية، إلا أنَّه يزداد شيوعًا في العقد الثالث من العمر، كما أنَّ 75% من الحالات تكون في الإناث،[3] أي أنَّ النساء تتأثر أكثر من الرجال بنسبة 1:3.[27] على الرغم أنَّ دراساتٍ قديمة ذكرت عدم وجودِ فرقٍ في معدل الإصابة بين الرجال والنساء، إلا أنَّ الدراسات اقترحت أنَّ استعمال حبوب منع الحمل في النساء يؤدي إلى حدوث اختلاف في معدل الإصابة بين الجنسين.[6] وجدَ تقريرٌ في عام 1995 من السعودية أنَّ ضعف معدل الإصابة قد يحدث، بما نسبته 7 حالات لكل 100,000 شخص؛ بسبب انتشار مرض بهجت في الشرق الأوسط، والذي يزيد من خطر حدوث خثار الجيب الوريدي المخي.[28]
أظهر تقريرٌ في عام 1973 أنَّ خثار الجيب الوريدي المخي يُمكن العثور عليه في 9% من جميع الحالات أثناء تشريح الجثة (فحص الجسم بعد الموت)، كما أنَّ العديد من هذه الحالات تكون لأشخاصٍ كبارٍ في السن ولديهم أعراضٌ عصبية في الفترة التي سبقت وفاتهم، وأيضًا الكثيرُ منهم كانوا يعانون من قصورٍ قلبي مُصاحب.[29]
أشارت دراسةٌ كندية في عام 2001 أنَّ خثار الجيب الوريدي المخي في الأطفال يحدث سنويًا بمعدل 6.7 حالة لكل مليون طفل، كما أنَّ 43% تحدث في حديثي الولادة (أقل من شهرٍ واحد)، و10% في السنة الأولى من عمر الطفل. 84% من حديثي الولادة يكونون مرضى بالفعل، معظمهم لديهم جفاف أو مضاعفات ما بعد الولادة.[4]
التاريخ
يُنسب أولُ وصفٍ لخثار الجيوب والأوردة الدماغية إلى الطبيب الفرنسي ريبس، والذي في عام 1825 لاحظ خثارًا في الجيوب السهمية والأوردة الدماغية في رجلٍ كان لديه نوباتٍ تشنجية وهذيان.[30] ظلَّ خثار الجيب الوريدي المخي من الحالات التي تُشخص بعد الوفاة حتى النصف الثاني من القرن العشرين،[9] ففي أربَعينات القرن العشرين، قدم الطبيب الإنجليزي تشارلز سيموندز وآخرون تقريرًا سمحَ بإمكانية التشخيص السريري لخثار الجيب الوريدي المخي، بالاعتماد على علاماتٍ وأعراضٍ مُعينة، بالإضافة إلى نتائجِ البزل القطني.[10][31]
حدثت تطوراتٌ على تشخيص خثار الجيب الوريدي المخي في الأشخاص الأحياء مع دخولُ التصوير الوريدي عام 1951،[32] والتي ساعدت أيضًا في تمييز خثار الجيب الوريدي المخي عن فرط الضغط داخل القحف مجهول السبب،[33] والذي يمتلك علاماتٍ وأعراضٍ مشابهة في كثيرٍ من الحالات.[9]
يعودُ الفضل إلى طبيب النساء البريطاني ستانسفيلد في إدخال مضاد التخثر الهيبارين عام 1942، والذي أصبح يُستعمل مؤخرًا في علاج خثار الجيب الوريدي المخي.[9][10] أُجريت تجاربٌ سريرية في تسعينيات القرن العشرين ساعدت على إنهاء القلق السائد حول استعمال مضادات التخثر في معظم حالات خثار الجيب الوريدي المخي.[3]
حالات ملحوظة
في 29 سبتمبر 1950، تُوفي الطيار البريطان جيرالد لوكسلي نتيجةً لإصابته بحالةٍ شديدة من خثار الجيب الوريدي المُخي.[34]
في 30 ديسمبر 2012، نُقلت هيلاري كلينتون (وزير الخارجية الأمريكية السابع والستين) إلى المُستشفى، لإجراء علاجٍ لها بمضادات التخثر، وذلك لإصابتها بخثارٍ وريدي في الجيب المستعرض الأيمن، والذي يقع عند قاعدة الدماغ. اكتُشفت النوبة الخثارية في هيلاري كلينتون عند إجراء تصوير بالرنين المغناطيسي لمتابعة حالة ارتجاج الدماغ التي أصابتها قبل أسبوعين ونصف عند سقوطها على إثر معاناتها من التهابٍ معدي معوي.[35]
انظر أيضًا
المراجع
- معرف أنطولوجية المرض: http://www.disease-ontology.org/?id=DOID:3572 — تاريخ الاطلاع: 15 مايو 2019 — الرخصة: CC0
- Ferro JM, Canhão P, Stam J, Bousser MG, Barinagarrementeria F (2004). "Prognosis of cerebral vein and dural sinus thrombosis: results of the International Study on Cerebral Vein and Dural Sinus Thrombosis (ISCVT)". Stroke. 35 (3): 664–70. doi:10.1161/01.STR.0000117571.76197.26. PMID 14976332. مؤرشف من الأصل في 2 فبراير 2009. الوسيط
|CitationClass=تم تجاهله (مساعدة) - Einhäupl K, Bousser MG, de Bruijn SF, et al. (2006). "EFNS guideline on the treatment of cerebral venous and sinus thrombosis". Eur. J. Neurol. 13 (6): 553–9. doi:10.1111/j.1468-1331.2006.01398.x. PMID 16796579. الوسيط
|CitationClass=تم تجاهله (مساعدة) - deVeber G, Andrew M, Adams C, et al. (أغسطس 2001). "Cerebral sinovenous thrombosis in children". N. Engl. J. Med. 345 (6): 417–23. doi:10.1056/NEJM200108093450604. PMID 11496852. الوسيط
|CitationClass=تم تجاهله (مساعدة) - Cumurciuc R, Crassard I, Sarov M, Valade D, Bousser MG (2005). "Headache as the only neurological sign of cerebral venous thrombosis: a series of 17 cases". J. Neurol. Neurosurg. Psychiatry. 76 (8): 1084–7. doi:10.1136/jnnp.2004.056275. PMC 1739763. PMID 16024884. مؤرشف من الأصل في 3 فبراير 2009. الوسيط
|CitationClass=تم تجاهله (مساعدة) - Stam J (2005). "Thrombosis of the cerebral veins and sinuses". N. Engl. J. Med. 352 (17): 1791–8. doi:10.1056/NEJMra042354. PMID 15858188. مؤرشف من الأصل في 14 فبراير 2020. الوسيط
|CitationClass=تم تجاهله (مساعدة) - Ferro JM, Canhão P, Bousser MG, Stam J, Barinagarrementeria F (2005). "Cerebral vein and dural sinus thrombosis in elderly patients". Stroke. 36 (9): 1927–32. doi:10.1161/01.STR.0000177894.05495.54. PMID 16100024. الوسيط
|CitationClass=تم تجاهله (مساعدة) - Al Rawahi, B; Almegren, M; Carrier, M (September 2018). "The efficacy and safety of anticoagulation in cerebral vein thrombosis: A systematic review and meta-analysis". Thrombosis Research. 169: 135–139. doi:10.1016/j.thromres.2018.07.023. PMID 30056293. الوسيط
|CitationClass=تم تجاهله (مساعدة) - Bousser MG, Chiras J, Bories J, Castaigne P (1 مارس 1985). "Cerebral venous thrombosis--a review of 38 cases". Stroke. 16 (2): 199–213. doi:10.1161/01.str.16.2.199. PMID 3975957. مؤرشف من الأصل (PDF) في 8 نوفمبر 2010. الوسيط
|CitationClass=تم تجاهله (مساعدة) - Stansfield FR (أبريل 1942). "Puerperal cerebral thrombophlebitis treated by heparin". Br. Med. J. 1 (4239): 436–438. doi:10.1136/bmj.1.4239.436. PMC 2164893. PMID 20784169. الوسيط
|CitationClass=تم تجاهله (مساعدة) - "التظاهرات الرئيسية لمرض الجهاز العصبي-السبات". www.mediall1.com. مؤرشف من الأصل في 8 أغسطس 2017. اطلع عليه بتاريخ 29 أبريل 2019. الوسيط
|CitationClass=تم تجاهله (مساعدة) - "ترجمة (Dural sinus thrombosis) على موقع القاموس". www.alqamoos.org. مؤرشف من الأصل في 14 أبريل 2020. اطلع عليه بتاريخ 29 أبريل 2019. الوسيط
|CitationClass=تم تجاهله (مساعدة) - "مقاربة علاجية لخثار الجيب الكهفي، إيفارمابيديا". epharmapedia.com. مؤرشف من الأصل في 11 يناير 2020. اطلع عليه بتاريخ 29 أبريل 2019. الوسيط
|CitationClass=تم تجاهله (مساعدة) - &field_magal=All "ترجمة (superior sagittal sinus thrombosis) على موقع القاموس" تحقق من قيمة
|مسار أرشيف=(مساعدة). www.alqamoos.org. مؤرشف من الأصل في 14 فبراير 2020. اطلع عليه بتاريخ 29 أبريل 2019. الوسيط|CitationClass=تم تجاهله (مساعدة); horizontal tab character في|مسار أرشيف=على وضع 119 (مساعدة) - Diaz JM, Schiffman JS, Urban ES, Maccario M (1992). "Superior sagittal sinus thrombosis and pulmonary embolism: a syndrome rediscovered". Acta Neurol. Scand. 86 (4): 390–6. doi:10.1111/j.1600-0404.1992.tb05106.x. PMID 1455986. الوسيط
|CitationClass=تم تجاهله (مساعدة) - Smith R, Hourihan MD (2007). "Investigating suspected cerebral venous thrombosis". BMJ. 334 (7597): 794–5. doi:10.1136/bmj.39154.636968.47. PMC 1852020. PMID 17431266. مؤرشف من الأصل في 4 فبراير 2009. الوسيط
|CitationClass=تم تجاهله (مساعدة) - Smith, E; Kumar, V (يونيو 2018). "BET 1: Does a normal D-dimer rule out cerebral venous sinus thrombosis (CVST)?". Emergency Medicine Journal. 35 (6): 396–397. doi:10.1136/emermed-2018-207777.1. PMID 29784833. الوسيط
|CitationClass=تم تجاهله (مساعدة) - Kosinski CM, Mull M, Schwarz M (2004). "Do normal D-dimer levels reliably exclude cerebral sinus thrombosis?". Stroke. 35 (12): 2820–5. doi:10.1161/01.STR.0000147045.71923.18. PMID 15514174. مؤرشف من الأصل في 16 مارس 2010. الوسيط
|CitationClass=تم تجاهله (مساعدة) - Crassard I, Soria C, Tzourio C (2005). "A negative D-dimer assay does not rule out cerebral venous thrombosis: a series of seventy-three patients". Stroke. 36 (8): 1716–9. doi:10.1161/01.STR.0000173401.76085.98. PMID 16020765. مؤرشف من الأصل في 18 نوفمبر 2009. الوسيط
|CitationClass=تم تجاهله (مساعدة) - Coutinho, Jonathan; de Bruijn, Sebastiaan Ftm; Deveber, Gabrielle; Stam, Jan (2011-08-10). "Anticoagulation for cerebral venous sinus thrombosis". Cochrane Database of Systematic Reviews (8): CD002005. doi:10.1002/14651858.CD002005.pub2. ISSN 1469-493X. PMID 21833941. الوسيط
|CitationClass=تم تجاهله (مساعدة) - المعهد الوطني للصحة وتفوق الرعاية. Clinical guideline 68: Stroke. London, 2008.
- Sacco RL, Adams R, Albers G, et al. (مارس 2006). "Guidelines for prevention of stroke in patients with ischemic stroke or transient ischemic attack: a statement for healthcare professionals from the American Heart Association/American Stroke Association Council on Stroke: co-sponsored by the Council on Cardiovascular Radiology and Intervention: the American Academy of Neurology affirms the value of this guideline". Circulation. 113 (10): e409–49. doi:10.1161/01.STR.0000199147.30016.74. PMID 16534023. مؤرشف من الأصل في 8 يونيو 2011. الوسيط
|CitationClass=تم تجاهله (مساعدة) - Martinelli I, Franchini M, Mannucci PM (سبتمبر 2008). "How I treat rare venous thromboses". Blood. 112 (13): 4818–23. doi:10.1182/blood-2008-07-165969. PMID 18805965. الوسيط
|CitationClass=تم تجاهله (مساعدة) - Price, Michelle; Günther, Albrecht; Kwan, Joseph SK (21 أبريل 2016). "Antiepileptic drugs for the primary and secondary prevention of seizures after intracranial venous thrombosis". Cochrane Database of Systematic Reviews. 4: CD005501. doi:10.1002/14651858.cd005501.pub4. PMID 27098266. الوسيط
|CitationClass=تم تجاهله (مساعدة) - Dentali F, Gianni M, Crowther MA, Ageno W (2006). "Natural history of cerebral vein thrombosis: a systematic review". Blood. 108 (4): 1129–34. doi:10.1182/blood-2005-12-4795. PMID 16609071. الوسيط
|CitationClass=تم تجاهله (مساعدة) - Jackson, BF; Porcher, FK; Zapton, DT; Losek, JD (سبتمبر 2011). "Cerebral sinovenous thrombosis in children: diagnosis and treatment". Pediatr. Emerg. Care. 27 (9): 874–80, quiz 881–3. doi:10.1097/PEC.0b013e31822c9ccc. PMID 21926891. الوسيط
|CitationClass=تم تجاهله (مساعدة) - W. Hacke: Neurologie. 13. Auflage. Springer-Verlag, 2010, ISBN 978-3-642-12381-8, S. 240 ff.
- Daif A, Awada A, al-Rajeh S, et al. (1 يوليو 1995). "Cerebral venous thrombosis in adults. A study of 40 cases from Saudi Arabia". Stroke. 26 (7): 1193–5. doi:10.1161/01.str.26.7.1193. PMID 7604412. مؤرشف من الأصل في 10 أكتوبر 2010. الوسيط
|CitationClass=تم تجاهله (مساعدة) - Towbin A (1 مايو 1973). "The syndrome of latent cerebral venous thrombosis: its frequency and relation to age and congestive heart failure". Stroke. 4 (3): 419–30. doi:10.1161/01.str.4.3.419. PMID 4713031. مؤرشف من الأصل (PDF) في 2 فبراير 2009. الوسيط
|CitationClass=تم تجاهله (مساعدة) - Ribes MF (1825). "Des recherches faites sur la phlebite". Rev. Med. Fr. Etrang. 3: 5–41. الوسيط
|CitationClass=تم تجاهله (مساعدة) - Symonds CP (سبتمبر 1940). "Cerebral thrombophlebitis". Br. Med. J. 2 (4158): 348–52. doi:10.1136/bmj.2.4158.348. PMC 2179068. PMID 20783290. الوسيط
|CitationClass=تم تجاهله (مساعدة) - Ray BS, Dunbar HS, Dotter CT (يناير 1951). "Dural sinus venography as an aid to diagnosis in intracranial disease". J. Neurosurg. 8 (1): 23–37. doi:10.3171/jns.1951.8.1.0023. PMID 14804146. الوسيط
|CitationClass=تم تجاهله (مساعدة) - Ray BS, Dunbar HS (سبتمبر 1951). "Thrombosis of the dural venous sinuses as a cause of pseudotumor cerebri". Ann. Surg. 134 (3): 376–86. doi:10.1097/00000658-195113430-00009. PMC 1802934. PMID 14869026. الوسيط
|CitationClass=تم تجاهله (مساعدة) - "www.thegazette.co.uk" (PDF). مؤرشف من الأصل (PDF) في 2 فبراير 2017. الوسيط
|CitationClass=تم تجاهله (مساعدة) - Paul Richter. "Hillary Clinton expected to make full recovery from blood clot". Los Angeles Times. مؤرشف من الأصل في 24 يناير 2013. اطلع عليه بتاريخ 1 يناير 2013. الوسيط
|CitationClass=تم تجاهله (مساعدة)
روابط خارجية
- "خثار وريدي داخل القحف على موقع Patient UK". مؤرشف من الأصل في 29 يوليو 2012. الوسيط
|CitationClass=تم تجاهله (مساعدة) - مؤسسة يو.سي.اتش (UCH) للأطفال Health. "الدليل السريري لخثار الجيب الوريدي المخي في الأطفال". الوسيط
|CitationClass=تم تجاهله (مساعدة)
- بوابة علوم عصبية
- بوابة طب
صور وملفات صوتية من كومنز
