صدر
الصدر[1] (بالإنجليزية: Thorax) هو جزء من تشريح الإنسان والعديد من الحيوانات الأخرى. يقع بين الرقبة والبطن.[2][3] يشمل الصدر التجويف الصدري والجدار الصدري. يحتوي على القلب، الرئتين والغدة الزعترية، بالإضافة إلى العضلات وغيرها من الهياكل الداخلية الأخرى. قد تؤثر العديد من الأمراض على الصدر، ويعد ألم الصدر أكثر الأعراض شيوعًا.
| صدر | |
|---|---|
| الاسم اللاتيني thorax | |
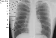
![]() صورة بالأشعة السينية للصدر توضح التشريح الداخلي للقفص الصدري، الرئتين و القلب، وكذلك الحدود الصدرية السفلية المكونة من الحجاب الحاجز. | |
![]() المساقط السطحيّة لأعضاء الجذع، مع رؤية الصدر أو منطقة الصدر ممتدة حتى نهاية شق الرئة المائل تقريبًا من الأمام، ولكن بشكل أعمق يتوافق مع الحد الأدنى الحد العلوي من الكبد. المساقط السطحيّة لأعضاء الجذع، مع رؤية الصدر أو منطقة الصدر ممتدة حتى نهاية شق الرئة المائل تقريبًا من الأمام، ولكن بشكل أعمق يتوافق مع الحد الأدنى الحد العلوي من الكبد. | |
| تفاصيل | |
| الاسم الإغريقي | θώραξ |
| نوع من | صدر |
| جزء من | صدر |
| معرفات | |
| ترمينولوجيا أناتوميكا | 01.1.00.014 |
| FMA | 9576 |
| UBERON ID | 0001443 |

البنية
في البشر وغيرهم، يطلق اسم الصدر على المنطقة في الجسم بين الرقبة والبطن، إلى جانب الأعضاء الداخلية ومحتويات أخرى. غالبًا ما تتم حمايته بواسطة القفص الصدري والعمود الفقري وحزام الكتف.
المحتويات
يحتوي الصدر على القلب والرئتين (والغدة الزعترية)؛ والعضلات (عضلات الصدر الكبرى والصغرى، عضلات شبه المنحرف وعضلة الرقبة)؛ والهياكل الداخلية مثل الحجاب الحاجز، المريء، القصبة الهوائية وجزء من عظم القص المعروف باسم الناتئ الرهابي (بالإنجليزية: Xiphoid process). كما تحتوي شرايين وأوردة - (الأبهر، الوريد الأجوف العلوي والسفلي والجذع الرئوي)؛ العظام (مقبس الكتف يحتوي على الجزء العلوي من العضد، الكتف، القص، الفقرات الصدرية، الترقوة، القفص الصدري والضلوع العائمة).
الصدر
في جسم الإنسان، تطلق تسمية الصدر على المنطقة الواقعة بين الرقبة والحجاب الحاجز في الجزء الأمامي من الجسم. ويمكن أيضا أن يشار إليها أيضًا في المنطقة المقابلة في الحيوان.
العظام
تعد عظام الصدر، والتي تسمى "الهيكل العظمي الصدري" أحد مكونات الهيكل العظمي المحوري.
يتكون من أضلاع وعظام. يتم ترقيم أضلاع الصدر بترتيب تصاعدي من 1-12. تُعرف 11 و 12 باسم الأضلاع العائمة نظرًا لعدم وجود نقطة ربط أمامية خاصةً للغضاريف المرتبطة بالقص، كما هو الحال في 1-7. في حين أن الأضلاع 8-10 تسمى أضلاع كاذبة، حيث يتضح الغضروف الضلعي مع الغضاريف الضلعية أعلاه.
العلامات التشريحية
باستخدام العلامات التشريحية، يمكن أيضًا وصف تشريح الصدر. تقع الحلمة في الذكر أمام الضلع الرابع أو أسفله بقليل؛ عموديًا تقع خارج الخط المرسوم من منتصف الترقوة قليلا؛ في الأنثى ليست ثابتة جدًا. يوجد أسفلها الحد الأدنى للعضلة الصدرية العظيمة الذي يتجه صعودًا وإلى الخارج نحو الإبط. في الأنثى يحجبها الثدي، والذي يمتد من الضلع الثاني إلى الضلع السادس عموديًا ومن حافة عظم القص إلى خط منتصف الإبط أفقيا. تحاط حلمة الأنثى بمسافة نصف بوصة بقرص قليل أو كثير الصباغ، تسمى هالة. تقع قمة القلب الطبيعي في الحيز الوربي الخامس الأيسر، على بعد حوالي ثلاث بوصات ونصف من منتصف الخط.
الوظيفة
التنفس
هو أحد أهم وظائف الصدر، حيث لا يضم الرئتين فقط، بل يوفر الآلية اللازمة لقيامهما بعملها على أفضل وجه مع الحجاب الحاجز وجدار الصدر والضلوع بتحريك الهواء إلى الرئتين ومنهما؛ حيث إن صعود ونزول الحجاب الحاجز والتغيرات في الأبعاد الأمامية والوحشية في الجدار الصدري، الناجمة عن تحرك الأضلاع، تغير من حجم التجويف الصدري وهذا من أسس التنفس.
حماية الأعضاء الحيوية
يضم الصدر القلب والرئتين والأوعية الكبرى ويوفر الحماية لها، وبسبب الهيئة المقببة للحجاب الحاجز؛ فإن الجدار الصدري يوفر الحماية لبعض الأحشاء البطنية أيضًا؛ فمعظم كتلة الكبد تقع تحت القبة اليمنى من الحجاب الحاجز، بينما تقع المعدة والطحال تحت القبة اليسرى. والوجهان الخلفيان للقطبين العلويين للكليتين يقعان تحت الحجاب الحاجز، وتقع الكلية اليمنى أمام الضلع الثاني عشر، بينما تقع الكلية اليسرى أمام الضلعين الحادي عشر والثاني عشر.
مجرى
حيث يمر المريء والعصب المبهم والقناة الصدرية في المنصف بين الرقبة والبطن. كذلك يمر العصبان الحجابيان من الرقبة عبر المنصف ليخترقا الحجاب الحاجز فيعصّبانه. كذلك الأمر بالنسبة للأبهر الصدري والوريد الأجوف العلوي من القلب والرئتين وإليها.
الأهمية السريرية
تؤثر أنواع مختلفة من الأمراض أو الحالات على الصدر، وتشمل التهاب الجنبة (بالإنجليزية: Pleurisy)، الصدر السائب (بالإنجليزية: Flail chest) وهمود الرئة. ويعد ألم الصدر الحالة الأكثر شيوعًا. قد تكون هذه الحالات وراثية أو ناجمة عن عيوب خلقية أو إصابة. تعد أي حالة تقلل من القدرة على التنفس بعمق أو السعال مرضًا أو حالة في الصدر.
الإصابة
تؤدي إصابات الصدر في الولايات المتحدة إلى حدوث ما يصل إلى ربع جميع الوفيات الناجمة عن الصدمة.[4]
تتضمن الفيزيولوجيا المرضية الرئيسية التي تواجهها الصدمة الحادة في الصدر إلى حدوث اختلالات في تدفق الهواء أو الدم أو كليهما معًا. تعفن الدم بسبب تسرب محتويات القناة الهضمية، كما هو الحال في ثقوب المريء التي يجب أخذها أيضًا بعين الاعتبار. تؤدي الصدمة الحادة عادة إلى إصابات في جدار الصدر (على سبيل المثال، كسور الأضلاع). يمكن أن يجعل الألم المصاحب لهذه الإصابات التنفس صعبًا، وقد يؤدي ذلك إلى تهديد التهوية. كثيرًا ما ترتبط إصابات الرئة المباشرة، مثل الرضات الرئوية، بصدمة كبيرة في الصدر وقد تضعف التهوية.
الألم
قد يكون ألم الصدر نتيجة لمشاكل متعددة، بما في ذلك مشاكل في الجهاز التنفسي أو الهضمي ومضاعفات الجهاز العضلي الهيكلي. قد يكون أيضًا نتيجة مشاكل في القلب، حيث لا ينبغي تناول الموضوع بسهولة. تختلف الأعراض تبعًا لمسبب الألم.[5] في حالات مشاكل القلب، تسبب شعور مفاجئ بضغط على الصدر أو ألم السحق في الظهر، الرقبة والذراعين، إلا أن الألم الذي يشعر به بسبب مشاكل غير قلبية يعطي شعورًا حارقًا على طول الجهاز الهضمي أو الألم عند محاولة التنفس العميق. يختلف شعور الأشخاص بالألم لنفس الحالة. وحده المريض يعلم حقًا ما إذا كانت الأعراض خفيفة أم خطيرة.
قد يكون ألم الصدر أحد أعراض النوبة القلبية. إذا وجدت هذه الحالة في الجسم، سيشعر المريض بعدم الراحة في الصدر الذي يشبه الوزن الثقيل الموجود على الجسم، بالإضافة إلى التعرق، ضيق النفس، الدوار واضطراب نظم القلب. إذا حدثت نوبة قلبية، فإن الجزء الأكبر من الضرر يحدث خلال الساعات الست الأولى، لذلك من المهم الحصول على العلاج المناسب في أسرع وقت ممكن. قد لا يعاني بعض الأشخاص، خاصةً كبار السن أو المصابين بمرض السكري، من ألم صدري نمطي ولكن قد يكون لديهم العديد من الأعراض الأخرى للنوبة القلبية. من المهم أن يكون لدى هؤلاء المرضى ومقدمي الرعاية لديهم فهم جيد لأعراض الأزمة القلبية.
أسباب ألم الصدر غير القلبية
لا يعني بالضرورة كل ألم صدري حالة مرضية في القلب. يمكن الشعور بألم في جدار الصدر بعد زيادة في النشاط. عمومًا، يشعر الأشخاص الذين يضيفون التمارين إلى روتينهم اليومي بهذا النوع من الألم في البداية. من المهم مراقبة الألم للتأكد من أنه ليس علامة على شيء أكثر خطورة. يمكن أيضًا أن يحدث الألم عند الأشخاص المصابين بالتهاب الجهاز التنفسي العلوي. ويرافق هذا الفيروس أيضًا الحمى والسعال. الحزام الناري هو عدوى فيروسية أخرى يمكن أن تعطي أعراض ألم في الصدر أو الضلع قبل ظهور الطفح الجلدي. تعد إصابات القفص الصدري أو عظم القص سببًا شائعًا لألم الصدر. يتم الشعور به بشكل عام عند أخذ نفسا عميقا أو أثناء السعال.
همود الرئة
أحد أسباب ألم الصدر غير القلبية. وهي حالة تحدث عندما ينهار جزء من الرئة لخلوه من الهواء. عند انسداد أنابيب الشعب الهوائية، تتطور هذه الحالة وتتسبب في شعور المريض بضيق في النفس. يعد السبب الأكثر شيوعًا لهمود الرئة هو عدم امتداد الشعب الهوائية نتيجة انسدادها وحدوث مصيدة هواء. قد يحدث الانسداد بسبب شيء داخل الشعبة الهوائية، مثل سدادة مخاطية أو ورم أو جسم غريب مستنشق مثل: قطعة نقود أو قطعة طعام أو لعبة.[6] من الممكن أن يتسبب الانسداد نتيجة شيء ما خارج الشعبة الهوائية.
استرواح الصدر
حالة يمكن أن يتراكم فيها الهواء أو الغاز في الفضاء الجنبي. يمكن أن تحدث دون سبب معروف أو كنتيجة لمرض الرئة أو إصابة الرئة الحادة.[7] يتغير حجم استرواح الصدر مع تراكم الهواء أو الغاز، لذلك يمكن للإجراء الطبي تخفيف الضغط باستخدام إبرة. إذا لم يتم علاجه، فقد يتوقف تدفق الدم مما يسبب انخفاضًا في ضغط الدم يعرف باسم استرواح الصدر الضاغط. من الممكن للحالات الصغيرة أن تشفى من تلقاء نفسها. غالبًا تظهر أعراض هذه الحالة على جانب واحد من الرئة أو كضيق في النفس.
حيوانات أخرى
رباعيات الأطراف
في الثدييات، يعد الصدر منطقة الجسم التي تشكلها عظم القص، الفقرة الصدرية والأضلاع. تمتد من الرقبة حتى الحجاب الحاجز، ولا تشمل الأطراف العلوية. يوجد القلب والرئتان في التجويف الصدري، وكذلك العديد من الأوعية الدموية. تحمى الأعضاء الداخلية بواسطة القفص الصدري وعظم القص. تتميز الفقرات الصدريّة بوجودها أيضًا بالطيور، وليس بالزواحف.
صور إضافية
تقديم عرض تصوير مقطعي عالي الدقة للصدر. تم إزالة الجدار الصدري الأمامي والممرات الهوائية والأوعية الرئوية الأمامية لجذر الرئة رقميًا لتصور المستويات المختلفة للدورة الرئوية.
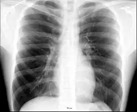
الصدر، عرض أمامي.
الصدر، عرض أمامي.
المراجع
- "Al-Qamoos القاموس - English Arabic dictionary / قاموس إنجليزي عربي". www.alqamoos.org. مؤرشف من الأصل في 05 ديسمبر 2017. اطلع عليه بتاريخ 4 ديسمبر 2017. الوسيط
|CitationClass=تم تجاهله (مساعدة); تحقق من التاريخ في:|تاريخ أرشيف=(مساعدة) - "thorax" في معجم دورلاند الطبي
- Thorax في المَكتبة الوَطنية الأمريكية للطب نظام فهرسة المواضيع الطبية (MeSH).
- Shahani, Rohit, MD. (2005). Penetrating Chest Trauma. eMedicine. Retrieved 2005-02-05. نسخة محفوظة 02 ديسمبر 2008 على موقع واي باك مشين.
- Chest Diseases Retrieved on 2010-1-26 نسخة محفوظة 03 2يناير8 على موقع واي باك مشين.
- Atelectasis Lung and Airway Disorders. Retrieved on 2010-1-26 نسخة محفوظة 27 أكتوبر 2010 على موقع واي باك مشين.
- Pleurisy Lung Diseases. Retrieved on 2010-1-26 نسخة محفوظة 16 أغسطس 2011 على موقع واي باك مشين.
وصلات خارجية
- سام جون الثالث، دليل عن مفصليات ثلاثية الفصوص.
صور وملفات صوتية من كومنز
- بوابة تشريح
- بوابة طب
- بوابة علم الحيوان


