عتامة الزجاج المصنفر
يُشير مصطلح عتامة الزجاج المصنفر - في علم الأشعة - إلى مكتشفات غير مخصصة تظهر بالتصوير الشعاعي والتصوير المقطعي المحوسب، وتأخذ هذه العتامة شكل ضبابي وتحجب الرؤية بشكل جزئي عن التراكيب الشُعبية والأوعية الرئوية أسفلها (تماما مثل الزجاج المصنفر الذي يحجب الرؤية بشكل كامل)، وتدل هذه العتامة على الامتلاء الجزئي للفراغات الهوائية (في الرئتين) بالسوائل، وكذلك قد تدل على السماكة الخلالية أو الانهيار الجزئي للحويصلات الهوائية. [1] :95

التشخيص التفريقي
يشمل التشخيص التفريقي لعتامة الزجاج المصنفر عدد من الأسباب منها الوذمة الرئوية، العدوى (والتي تتضمن فيروس كورونا المرتبط بالمتلازمة التنفسية الحادة الشديدة النوع 2،[2] الفيروس المضخم للخلايا والالتهاب الرئوي بالمتكيسة الرئوية)، والمرض الرئوي الخلالي غير المعدي (مثل التهاب فرط التحسس الرئوي والالتهاب الرئوي الخلالي الحاد)، النزف الرئوي، التهاب القصيبات المسد لذات الرئة المنظم والرضة الرئوية. [3]
علامة الهالة المعكوسة
تتكون علامة الهالة المعكوسة من دائرة يتشكل وسطها من عتامة الزجاج المصنفر ويُحيط بها تكثف رئوي يُشكل أكثر من ثلاثة أرباع الدائرة وسماكته 2 مم على الأقل.[4] وهذه العلامة توحي بوجود التهاب القصيبات المسد لذات الرئة المنظم، [5] لكنها لا تظهر إلا في حوالي 20٪ من المصابين، كما يُمكن أن تُشير هذه العلامة إلى احتشاء الرئة (حيث تتكون الهالة بسبب النزف)،[6] أو بعض الأمراض المعدية مثل السل، فطار عفني والرشاشيات، وقد تُشير أيضا إلى فرط الورام الحبيبي والغرناوية. [7]
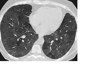
أشعة مقطعية يظهر فيها علامة الهالة المعكوسة بسبب التهاب القصيبات المسد لذات الرئة المنظم.
أشعة مقطعية يظهر فيها علامة الهالة المعكوسة بسبب احتشاء الرئة (السهم الأسود) نتيجة وجود انصمام رئوي مزمن (السهم الأبيض).
انظر أيضًا
المراجع
- Hodler, J.; von Schulthess, G. K.; Zollikofer, C. L. (2007). Diseases of the Heart, Chest & Breast: Diagnostic Imaging and Interventional Techniques. Berlin/Heidelberg: سبرنجر. صفحة 95. ISBN 9788847006331. مؤرشف من الأصل في 10 يونيو 2020. الوسيط
|CitationClass=تم تجاهله (مساعدة) - "Chest CT Findings in Coronavirus Disease-19 (COVID-19): Relationship to Duration of Infection". Radiology: 200463. February 2020. doi:10.1148/radiol.2020200463. PMID 32077789. الوسيط
|CitationClass=تم تجاهله (مساعدة)صيانة CS1: عرض-المؤلفون (link) - Jannette Collins, MD; Eric J. Stern, MD (1998). "Ground glass opacity on CT scanning of the chest: What does it mean?" (PDF). Applied Radiology. مؤرشف من الأصل (PDF) في 18 مايو 2012. اطلع عليه بتاريخ 01 فبراير 2012. الوسيط
|CitationClass=تم تجاهله (مساعدة) - Radswiki; et al. "Reversed halo sign (lungs)". Radiopaedia. مؤرشف من الأصل في 2 مايو 2020. اطلع عليه بتاريخ 02 يناير 2018. الوسيط
|CitationClass=تم تجاهله (مساعدة) - Brett M. Elicker, W. Richard Webb (2012). Fundamentals of High-Resolution Lung CT: Common Findings, Common Patterns, Common Diseases, and Differential Diagnosis. Lippincott Williams & Wilkins. ISBN 9781469824796. الوسيط
|CitationClass=تم تجاهله (مساعدة) - Wu, George; Schmit, Berndt; Arteaga, Veronica; Palacio, Diana (2017). "Medical image of the week: pulmonary infarction- the "reverse halo sign"". Southwest Journal of Pulmonary and Critical Care. 15 (4): 162–163. doi:10.13175/swjpcc124-17. ISSN 2160-6773. الوسيط
|CitationClass=تم تجاهله (مساعدة) - D Karthikeyan (2013). High Resolution Computed Tomography of the Lungs: A Practical Guide. JP Medical Ltd. صفحة 256. ISBN 9789350904084. مؤرشف من الأصل في 10 يونيو 2020. الوسيط
|CitationClass=تم تجاهله (مساعدة)